Suppr超能文献

白藜芦醇对乙型肝炎病毒复制的影响:体外和体内实验。

Effects of Resveratrol on Hepatitis B Virus Replication: In vitro and in vivo Experiments.

机构信息

Department of Infectious Disease, The First People's Hospital of Wenling, Wenling, China.

The First Department of Internal Medicine, Taizhou Cancer Hospital, Taizhou, China.

出版信息

Intervirology. 2022;65(4):206-214. doi: 10.1159/000525807. Epub 2022 Sep 9.

Abstract

INTRODUCTION

Hepatitis B virus (HBV) infection is a disease with high incidence and lack of effective treatment. In this study, we further explored the mechanism of resveratrol (RVT) in the inhibition of HBV replication. The effects of RVT on HBV replication were verified using in vitro and in vivo experiments.

METHODS

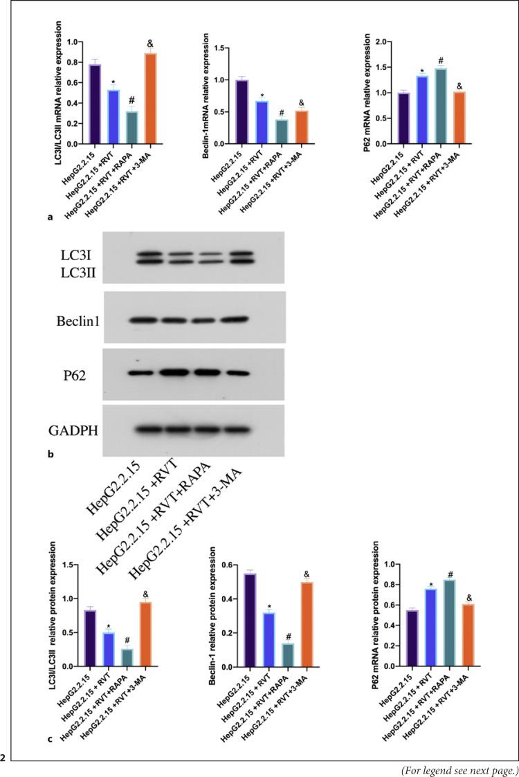
HepG2 and HepG2.2.15 cell lines were cultured in vitro, and different concentrations of RVT were used to determine its effect on the proliferation of the two cell lines. Autophagy agonists and inhibitors were given, and whether RVT exerts its effect on the proliferation of HepG2 and HepG2.2.15 cells through autophagy was determined. Reverse transcription-quantitative polymerase chain reaction and Western blot were used to detect changes in autophagy-related factors LC3-II, LC3-I, Beclin 1, and p62. Through transfection of pmiR-155, shmiR-155, and the corresponding control group, the relevant mechanism of RVT in inhibiting the proliferation of HepG2 and HepG2.2.15 cells was analyzed. RVT inhibited the toxicity for HepG2.2.15 cells and reduced HBV replication in vitro (p < 0.05). This effect of RVT was enhanced by rapamycin (RAPA; autophagy activator; p < 0.05) but was partially reversed by 3-MA (autophagy inhibitor; p < 0.05). In addition, our results showed that miR-155 expression was higher in HepG2.2.15 cells than in HepG cells (p < 0.05). miR-155 expression in the RVT treatment group was significantly reduced (p < 0.05). We designed an miR-155 overexpression plasmid, low miR-155 expression plasmid, and the corresponding negative control for transfection and found that transfection of pmiR-155 can partially reverse the effect of RVT (p < 0.05), while transfection with shmiR-155 can enhance the effect of RVT (p < 0.05).

DISCUSSION

RVT inhibits miR-155, activates autophagy, inhibits the toxicity for HepG2.2.15 cells, and reduces HBV replication, providing a new research direction for the treatment of HBV infection.

摘要

简介

乙型肝炎病毒(HBV)感染是一种发病率高且缺乏有效治疗方法的疾病。在本研究中,我们进一步探讨了白藜芦醇(RVT)抑制 HBV 复制的机制。通过体外和体内实验验证了 RVT 对 HBV 复制的影响。

方法

体外培养 HepG2 和 HepG2.2.15 细胞系,用不同浓度的 RVT 确定其对两种细胞系增殖的影响。给予自噬激动剂和抑制剂,确定 RVT 是否通过自噬发挥对 HepG2 和 HepG2.2.15 细胞增殖的作用。采用逆转录-定量聚合酶链反应和 Western blot 检测自噬相关因子 LC3-II、LC3-I、Beclin 1 和 p62 的变化。通过转染 pmiR-155、shmiR-155 和相应的对照组,分析 RVT 抑制 HepG2 和 HepG2.2.15 细胞增殖的相关机制。RVT 抑制 HepG2.2.15 细胞的毒性并降低体外 HBV 复制(p<0.05)。RVT 的这种作用通过雷帕霉素(RAPA;自噬激活剂;p<0.05)增强,但被 3-MA(自噬抑制剂;p<0.05)部分逆转。此外,我们的结果表明,miR-155 在 HepG2.2.15 细胞中的表达高于 HepG 细胞(p<0.05)。RVT 处理组的 miR-155 表达明显降低(p<0.05)。我们设计了一个 miR-155 过表达质粒、低 miR-155 表达质粒和相应的阴性对照进行转染,发现转染 pmiR-155 可以部分逆转 RVT 的作用(p<0.05),而转染 shmiR-155 可以增强 RVT 的作用(p<0.05)。

讨论

RVT 抑制 miR-155,激活自噬,抑制 HepG2.2.15 细胞的毒性,降低 HBV 复制,为治疗 HBV 感染提供了新的研究方向。

https://cdn.ncbi.nlm.nih.gov/pmc/blobs/795e/9677841/d191f6012222/int-0065-0206-g01.jpg

文献检索

告别复杂PubMed语法,用中文像聊天一样搜索,搜遍4000万医学文献。AI智能推荐,让科研检索更轻松。

立即免费搜索

文件翻译

保留排版,准确专业,支持PDF/Word/PPT等文件格式,支持 12+语言互译。

免费翻译文档

深度研究

AI帮你快速写综述,25分钟生成高质量综述,智能提取关键信息,辅助科研写作。

立即免费体验