• 文献检索
  • 文档翻译
  • 深度研究
  • 学术资讯
  • Suppr Zotero 插件Zotero 插件
  • 邀请有礼
  • 套餐&价格
  • 历史记录
应用&插件
Suppr Zotero 插件Zotero 插件浏览器插件Mac 客户端Windows 客户端微信小程序
定价
高级版会员购买积分包购买API积分包
服务
文献检索文档翻译深度研究API 文档MCP 服务
关于我们
关于 Suppr公司介绍联系我们用户协议隐私条款
关注我们

Suppr 超能文献

核心技术专利:CN118964589B侵权必究
粤ICP备2023148730 号-1Suppr @ 2026

文献检索

告别复杂PubMed语法,用中文像聊天一样搜索,搜遍4000万医学文献。AI智能推荐,让科研检索更轻松。

立即免费搜索

文件翻译

保留排版,准确专业,支持PDF/Word/PPT等文件格式,支持 12+语言互译。

免费翻译文档

深度研究

AI帮你快速写综述,25分钟生成高质量综述,智能提取关键信息,辅助科研写作。

立即免费体验

儿童坏死性肺炎:胸部计算机断层扫描与肺部超声检查的对比

Necrotizing pneumonia in children: Chest computed tomography vs. lung ultrasound.

作者信息

Carrard Johann, Bacher Sebastien, Rochat-Guignard Isabelle, Knebel Jean-François, Alamo Leonor, Meuwly Jean-Yves, Tenisch Estelle

机构信息

Department of Radiology, Riviera-Chablais Hospital, Rennaz, and University of Lausanne, Lausanne, Switzerland.

Department of Radiology and Interventional Radiology, Lausanne University Hospital and University of Lausanne, Lausanne, Switzerland.

出版信息

Front Pediatr. 2022 Aug 26;10:898402. doi: 10.3389/fped.2022.898402. eCollection 2022.

DOI:10.3389/fped.2022.898402
PMID:36090566
原文链接:https://pmc.ncbi.nlm.nih.gov/articles/PMC9461715/
Abstract

BACKGROUND

The utilization of contrast-enhanced computed tomography (CT) of the chest for the diagnosis of necrotizing pneumonia (NP), a complication of community-acquired pneumonia, is controversial because of the inherent ionizing radiation involved. Over the past few years, the growing availability of bedside Lung Ultrasound (LUS) devices has led to increased use of this nonionizing imaging method for diagnosing thoracic pathology, including pneumonia.

OBJECTIVE

The objectives of this study were as follows: first, to compare the performance of LUS vs. CT in the identification of certain radiological signs of NP, and second, to determine whether LUS could replace CT in the diagnosis of NP.

MATERIALS AND METHODS

We compared retrospectively the CT and LUS images of 41 patients between 2005 and 2018 in whom at least one contrast-injected chest CT scan and one LUS had been undertaken fewer than 7 days apart.

RESULTS

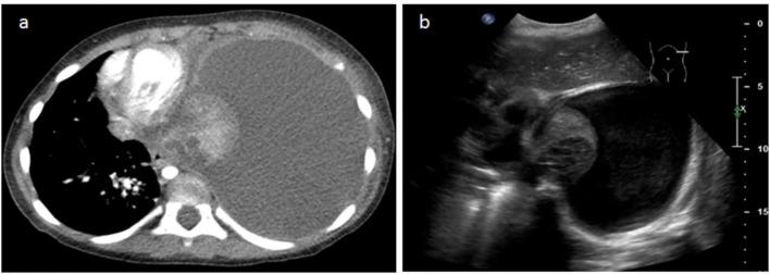
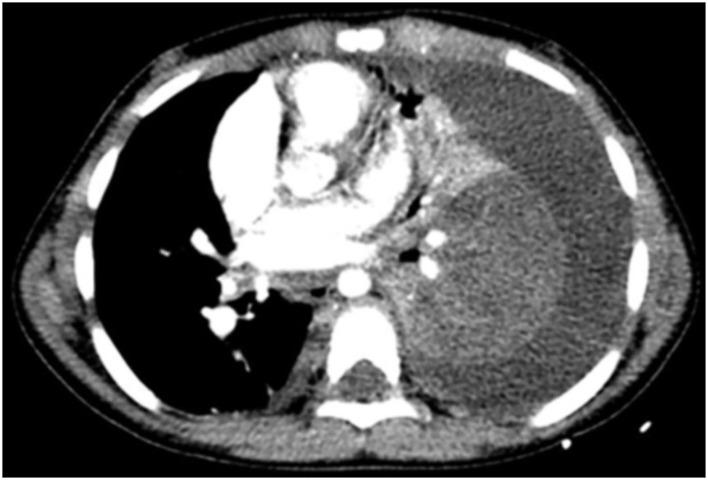
Pleural effusions were demonstrated almost systematically (100% on CT vs. 95.8% on LUS). Visualization of septations in pleural effusions was clearly superior on LUS (20.4% on CT vs 62.5% on LUS). Concerning the detection of necrosis, we observed a strong correlation between LUS and the gold-standard CT (95.8% on LUS vs. 93.7% on CT). Parenchymal cavities were more easily detected on CT than on LUS (79.1 vs. 35.4%).

CONCLUSION

LUS has shown to be as effective as CT in the diagnosis of NP. The use of CT in patients with NP could be limited to the detection of complications such as bronchopleural fistulae in unfavorably evolving diseases.

摘要

背景

胸部对比增强计算机断层扫描(CT)用于诊断社区获得性肺炎的并发症坏死性肺炎(NP)存在争议,因为其涉及电离辐射。在过去几年中,床边肺部超声(LUS)设备的日益普及导致这种非电离成像方法在诊断包括肺炎在内的胸部病变中的使用增加。

目的

本研究的目的如下:第一,比较LUS与CT在识别NP某些放射学征象方面的性能;第二,确定LUS在NP诊断中是否可以替代CT。

材料与方法

我们回顾性比较了2005年至2018年间41例患者的CT和LUS图像,这些患者在间隔不到7天的时间内至少进行了一次胸部增强CT扫描和一次LUS检查。

结果

几乎所有患者均显示有胸腔积液(CT显示率为100%,LUS显示率为95.8%)。LUS对胸腔积液中分隔的显示明显优于CT(CT显示率为20.4%,LUS显示率为62.5%)。关于坏死的检测,我们观察到LUS与金标准CT之间有很强的相关性(LUS显示率为95.8%,CT显示率为93.7%)。CT比LUS更容易检测到实质空洞(分别为79.1%和35.4%)。

结论

LUS在NP诊断中已显示出与CT同样有效。NP患者使用CT可能仅限于检测病情进展不利时的并发症,如支气管胸膜瘘。

https://cdn.ncbi.nlm.nih.gov/pmc/blobs/e93d/9461715/f67b6716f6d1/fped-10-898402-g0004.jpg
https://cdn.ncbi.nlm.nih.gov/pmc/blobs/e93d/9461715/f581a2006832/fped-10-898402-g0001.jpg
https://cdn.ncbi.nlm.nih.gov/pmc/blobs/e93d/9461715/15b6c1746ba2/fped-10-898402-g0002.jpg
https://cdn.ncbi.nlm.nih.gov/pmc/blobs/e93d/9461715/af4b27b06b58/fped-10-898402-g0003.jpg
https://cdn.ncbi.nlm.nih.gov/pmc/blobs/e93d/9461715/f67b6716f6d1/fped-10-898402-g0004.jpg
https://cdn.ncbi.nlm.nih.gov/pmc/blobs/e93d/9461715/f581a2006832/fped-10-898402-g0001.jpg
https://cdn.ncbi.nlm.nih.gov/pmc/blobs/e93d/9461715/15b6c1746ba2/fped-10-898402-g0002.jpg
https://cdn.ncbi.nlm.nih.gov/pmc/blobs/e93d/9461715/af4b27b06b58/fped-10-898402-g0003.jpg
https://cdn.ncbi.nlm.nih.gov/pmc/blobs/e93d/9461715/f67b6716f6d1/fped-10-898402-g0004.jpg

相似文献

1
Necrotizing pneumonia in children: Chest computed tomography vs. lung ultrasound.儿童坏死性肺炎:胸部计算机断层扫描与肺部超声检查的对比
Front Pediatr. 2022 Aug 26;10:898402. doi: 10.3389/fped.2022.898402. eCollection 2022.
2
Lung Ultrasound in COVID-19 Pneumonia: Correlations with Chest CT on Hospital admission.COVID-19 肺炎的肺部超声:与入院时胸部 CT 的相关性。
Respiration. 2020;99(7):617-624. doi: 10.1159/000509223. Epub 2020 Jun 22.
3
Comparative study of lung ultrasound and chest computed tomography scan in the assessment of severity of confirmed COVID-19 pneumonia.肺超声与胸部 CT 扫描在评估确诊 COVID-19 肺炎严重程度中的对比研究。
Intensive Care Med. 2020 Sep;46(9):1707-1713. doi: 10.1007/s00134-020-06186-0. Epub 2020 Jul 29.
4
Lung Ultrasound in Patients With SARS-COV-2 Pneumonia: Correlations With Chest Computed Tomography, Respiratory Impairment, and Inflammatory Cascade.新型冠状病毒肺炎患者肺部超声:与胸部计算机断层扫描、呼吸障碍和炎症级联的相关性。
J Ultrasound Med. 2022 Jun;41(6):1465-1473. doi: 10.1002/jum.15831. Epub 2021 Sep 17.
5
Lung Ultrasonography: A Viable Alternative to Chest Radiography in Children with Suspected Pneumonia?肺部超声检查:对于疑似肺炎的儿童,它是胸部X线摄影的可行替代方法吗?
J Pediatr. 2016 Sep;176:93-98.e7. doi: 10.1016/j.jpeds.2016.05.033. Epub 2016 Jun 16.
6
Usefulness of lung ultrasound in the diagnosis of community-acquired pneumonia in children.肺部超声在儿童社区获得性肺炎诊断中的应用价值
Pediatr Neonatol. 2015 Feb;56(1):40-5. doi: 10.1016/j.pedneo.2014.03.007. Epub 2014 Jul 15.
7
[Chest CT features and outcome of necrotizing pneumonia caused by Mycoplasma pneumoniae in children (report of 30 cases)].[儿童支原体肺炎致坏死性肺炎的胸部CT特征及预后(附30例报告)]
Zhonghua Er Ke Za Zhi. 2013 Mar;51(3):211-5.
8
Lung Ultrasound May Support Diagnosis and Monitoring of COVID-19 Pneumonia.肺部超声检查可能有助于 COVID-19 肺炎的诊断和监测。
Ultrasound Med Biol. 2020 Nov;46(11):2908-2917. doi: 10.1016/j.ultrasmedbio.2020.07.018. Epub 2020 Jul 20.
9
A single-center comparative study of lung ultrasound versus chest computed tomography during the COVID-19 era.COVID-19 大流行期间肺部超声与胸部计算机断层扫描的单中心对比研究
Multidiscip Respir Med. 2021 Jul 21;16(1):766. doi: 10.4081/mrm.2021.766. eCollection 2021 Jan 15.
10
Low Sensitivity of Admission Lung US Compared to Chest CT for Diagnosis of Lung Involvement in a Cohort of 82 Patients with COVID-19 Pneumonia.在82例新冠肺炎患者队列中,与胸部CT相比,入院时肺部超声对诊断肺部受累的敏感性较低。
Medicina (Kaunas). 2021 Mar 4;57(3):236. doi: 10.3390/medicina57030236.

引用本文的文献

1
Childhood necrotising pneumonia, empyema and complicated parapneumonic effusion secondary to community acquired pneumonia: report of 158 cases from a tertiary hospital in Egypt.儿童坏死性肺炎、脓胸及社区获得性肺炎继发的复杂性肺炎旁积液:埃及一家三级医院158例报告
Respir Res. 2025 Jul 2;26(1):235. doi: 10.1186/s12931-025-03291-w.
2
Ventilator-Associated Pneumonia: An Update on the Role of Lung Ultrasound in Adult, Pediatric, and Neonatal ICU Practice.呼吸机相关性肺炎:成人、儿科和新生儿重症监护病房实践中肺部超声作用的最新进展
Ther Adv Pulm Crit Care Med. 2025 Jun 12;20:29768675251349632. doi: 10.1177/29768675251349632. eCollection 2025 Jan-Dec.
3

本文引用的文献

1
Complicated pneumonia in children.儿童复杂性肺炎。
Lancet. 2020 Sep 12;396(10253):786-798. doi: 10.1016/S0140-6736(20)31550-6.
2
Ultrasound of the pediatric chest.小儿胸部超声检查
Br J Radiol. 2019 Aug;92(1100):20190058. doi: 10.1259/bjr.20190058. Epub 2019 May 16.
3
Lung ultrasound for the diagnosis of community-acquired pneumonia in children.肺部超声用于儿童社区获得性肺炎的诊断。
Ultrasonography Compared to Computed Tomography in Pediatric Complicated Pneumonia: Beyond Radiation.
小儿复杂性肺炎中超声检查与计算机断层扫描的比较:超越辐射
Cureus. 2025 Jan 8;17(1):e77158. doi: 10.7759/cureus.77158. eCollection 2025 Jan.
4
A complex case of necrotizing pneumonia and parapneumonic effusion in a healthy 20-month-old child: Successful management with video-assisted thoracoscopic surgery and chest tube placement.一名20个月大健康儿童的坏死性肺炎和类肺炎性胸腔积液复杂病例:通过电视辅助胸腔镜手术和胸腔置管成功治疗
Radiol Case Rep. 2024 Feb 26;19(5):1917-1925. doi: 10.1016/j.radcr.2024.02.005. eCollection 2024 May.
5
Necrotizing Pneumonia in Children: Early Recognition and Management.儿童坏死性肺炎:早期识别与管理
J Clin Med. 2023 Mar 14;12(6):2256. doi: 10.3390/jcm12062256.
Pediatr Radiol. 2017 Oct;47(11):1412-1419. doi: 10.1007/s00247-017-3910-1. Epub 2017 Sep 21.
4
Necrotizing pneumonia: an emerging problem in children?坏死性肺炎:儿童中一个新出现的问题?
Pneumonia (Nathan). 2017 Jul 25;9:11. doi: 10.1186/s41479-017-0035-0. eCollection 2017.
5
The rising incidence of pediatric empyema with fistula.小儿脓胸伴瘘管的发病率上升。
Pediatr Surg Int. 2016 Mar;32(3):215-20. doi: 10.1007/s00383-015-3834-5. Epub 2015 Oct 31.
6
Value of Lung Ultrasonography in the Diagnosis and Outcome Prediction of Pediatric Community-Acquired Pneumonia with Necrotizing Change.肺部超声检查在小儿社区获得性肺炎伴坏死性改变的诊断及预后预测中的价值
PLoS One. 2015 Jun 18;10(6):e0130082. doi: 10.1371/journal.pone.0130082. eCollection 2015.
7
Lung ultrasound for the diagnosis of pneumonia in children: a meta-analysis.肺部超声诊断儿童肺炎:一项荟萃分析。
Pediatrics. 2015 Apr;135(4):714-22. doi: 10.1542/peds.2014-2833. Epub 2015 Mar 16.
8
Potential of ultrasound in the pediatric chest.超声在儿科胸部的应用潜力。
Eur J Radiol. 2014 Sep;83(9):1507-18. doi: 10.1016/j.ejrad.2014.04.011. Epub 2014 Apr 26.
9
Necrotising pneumonia in children.儿童坏死性肺炎
Paediatr Respir Rev. 2014 Sep;15(3):240-5; quiz 245. doi: 10.1016/j.prrv.2013.10.001. Epub 2013 Oct 23.
10
Prospective evaluation of point-of-care ultrasonography for the diagnosis of pneumonia in children and young adults.儿童和青年人群中即时超声诊断肺炎的前瞻性评估。
JAMA Pediatr. 2013 Feb;167(2):119-25. doi: 10.1001/2013.jamapediatrics.107.