Suppr超能文献

结节切除后肉芽肿性多血管炎仅缓解。

Remission of Granulomatosis with Polyangiitis Only After Resection of a Pulmonary Nodule.

机构信息

The First Department of Internal Medicine, School of Medicine, University of Occupational and Environmental Health, Japan.

The Department of Rheumatology, Kawasaki Medical School, Japan.

出版信息

Intern Med. 2022;61(18):2803-2808. doi: 10.2169/internalmedicine.8447-21. Epub 2022 Sep 15.

Abstract

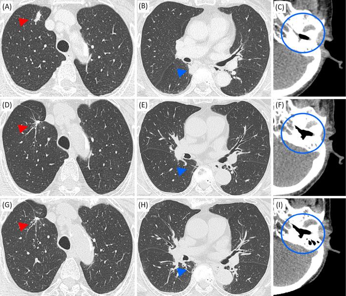
Granulomatosis with polyangiitis (GPA) is characterized by necrotizing granulomatous lesions and is classified as ANCA-associated vasculitis (AAV). We herein report a case of GPA that was remitted by resection of a pulmonary lesion without immunosuppressive therapy. We detected activated neutrophils and neutrophil extracellular traps (NET) formation in resected lung tissue by immunofluorescence. Activated neutrophils and NETs might be involved in the pathophysiology of AAV and induce the vicious cycle of ANCAs and NETs. In cases of GPA with no other severe lesions, the reevaluation of the disease activity after diagnostic resection is crucial for considering the need for immunosuppressive therapy.

摘要

肉芽肿性多血管炎(GPA)的特征为坏死性肉芽肿性病变,属于抗中性粒细胞胞质抗体相关性血管炎(AAV)。本文报告了一例 GPA 患者,其肺部病变通过手术切除后无需免疫抑制治疗即可缓解。我们通过免疫荧光检测到切除的肺组织中存在活化的中性粒细胞和中性粒细胞胞外诱捕网(NET)的形成。活化的中性粒细胞和 NET 可能参与 AAV 的病理生理学,并诱导 ANCAs 和 NETs 的恶性循环。对于无其他严重病变的 GPA 病例,在诊断性切除后重新评估疾病活动度对于考虑是否需要免疫抑制治疗至关重要。

https://cdn.ncbi.nlm.nih.gov/pmc/blobs/692a/9556222/e40c5f13a288/1349-7235-61-2803-g001.jpg

文献检索

告别复杂PubMed语法,用中文像聊天一样搜索,搜遍4000万医学文献。AI智能推荐,让科研检索更轻松。

立即免费搜索

文件翻译

保留排版,准确专业,支持PDF/Word/PPT等文件格式,支持 12+语言互译。

免费翻译文档

深度研究

AI帮你快速写综述,25分钟生成高质量综述,智能提取关键信息,辅助科研写作。

立即免费体验