Suppr超能文献

较差的身体状况与两种饲养系统中成年产蛋鸡较低的海马体可塑性和较高的肠道产甲烷菌丰度相关。

Poor body condition is associated with lower hippocampal plasticity and higher gut methanogen abundance in adult laying hens from two housing systems.

机构信息

Centre for Behaviour and Evolution, Newcastle University, Newcastle upon Tyne, UK.

Biosciences Institute, Newcastle University, Newcastle upon Tyne, UK.

出版信息

Sci Rep. 2022 Sep 15;12(1):15505. doi: 10.1038/s41598-022-18504-1.

Abstract

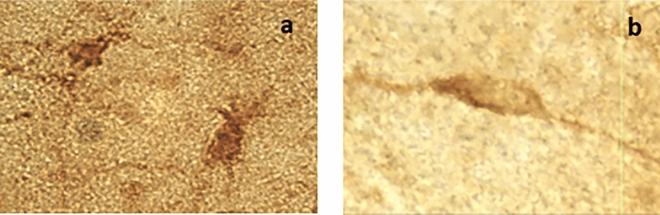
It is still unclear which commercial housing system provides the best quality of life for laying hens. In addition, there are large individual differences in stress levels within a system. Hippocampal neurogenesis or plasticity may provide an integrated biomarker of the stressors experienced by an individual. We selected 12 adult hens each with good and poor body condition (based on body size, degree of feather cover and redness of the comb) from a multi-tier free range system containing H&N strain hens, and from an enriched cage system containing Hy-Line hens (n = 48 total). Immature neurons expressing doublecortin (DCX) were quantified in the hippocampus, contents of the caecal microbiome were sequenced, and expression of inflammatory cytokines was measured in the spleen. DCX cell densities did not differ between the housing systems. In both systems, poor condition hens had lower DCX cell densities, exhibited elevated splenic expression of interleukin-6 (IL6) mRNA, and had a higher relative caecal abundance of methanogenic archea Methanomethylophilaceae. The findings suggest poor body condition is an indicator that individual hens have experienced a comparatively greater degree of cumulative chronic stress, and that a survey of the proportion of hens with poor body conditions might be one way to evaluate the impact of housing systems on hen welfare.

摘要

哪种商业住房系统能为蛋鸡提供最佳的生活质量尚不清楚。此外,在一个系统内,个体的应激水平存在很大差异。海马神经发生或可塑性可能为个体所经历的应激源提供一个综合的生物标志物。我们从一个包含 H&N 品系母鸡的多层自由放养系统和一个包含海兰品系母鸡的丰富笼养系统中,各选择了 12 只身体状况良好和较差的成年母鸡(根据身体大小、羽毛覆盖率和鸡冠的红润程度判断)(总共 48 只)。在海马体中定量了表达双皮质素 (DCX) 的未成熟神经元,对盲肠微生物组的内容进行了测序,并测量了脾脏中炎症细胞因子的表达。两种饲养系统之间的 DCX 细胞密度没有差异。在这两个系统中,身体状况较差的母鸡的 DCX 细胞密度较低,脾脏中白细胞介素 6 (IL6) mRNA 的表达升高,盲肠中产甲烷古菌甲烷甲基单胞菌的相对丰度更高。这些发现表明,身体状况较差是个体母鸡经历了相对较大程度的累积慢性应激的一个指标,而对身体状况较差的母鸡比例进行调查可能是评估住房系统对母鸡福利影响的一种方法。

https://cdn.ncbi.nlm.nih.gov/pmc/blobs/ad1b/9477867/fff0e8cdec1f/41598_2022_18504_Fig1_HTML.jpg

文献AI研究员

20分钟写一篇综述,助力文献阅读效率提升50倍。

立即体验

用中文搜PubMed

大模型驱动的PubMed中文搜索引擎

马上搜索

文档翻译

学术文献翻译模型,支持多种主流文档格式。

立即体验