Department of Health Management Center, The First Affiliated Hospital of Chongqing Medical University, China.
Department of Gynecology, The First Affiliated Hospital of Chongqing Medical University, China.
Biomed Res Int. 2022 Sep 12;2022:8338874. doi: 10.1155/2022/8338874. eCollection 2022.
The mechanism of atypical hyperplasia of the ovarian epithelium and ectopic endometrium caused by iron overload remains unclear. Accordingly, we investigated possible effects on the human ovarian ectopic endometrium and ovarian epithelium by producing a high-iron environment with rat ovaries.
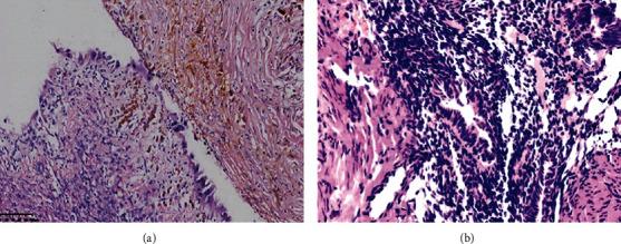
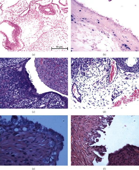
Human ovarian ectopic endometrium with atypical hyperplasia was collected, and the correlation between transferrin receptor GPR30 and Pi3K protein expression was studied by immunohistochemistry staining. Twenty SPF Sprague-Dawley female rats were microinjected with iron into one side of the ovary once a month, and the other ovary was used as the control. After 10 months of microinjection, the iron histological analysis was examined by Prussian blue staining, and ovarian endometrium morphology was assessed by HE staining. Abnormal lesion changes were measured by Pi3K staining. Evaluation of GPR30 was performed using reverse transcription PCR (RT-PCR) and western blotting, and the interrelationship between GPR30 and Pi3K was also assayed.
GPR30 was significantly increased and correlated with the transferrin receptor and Pi3K in atypical human ovarian ectopic endometrium. Iron overload was confirmed in the 20 microinjected ovary cortexes, epithelial hyperplasia was observed in 12 ovaries, and papillary atypical hyperplasia was noted in eight ovaries. The RNA and protein levels of GPR30 were significantly increased in atypical hyperplasia compared to hyperplasia tissue samples. A positive relationship between GPR30 and Pi3K was found ( = 0.001).
The results suggest that persistent iron exposure may be a potential stimulus for ovarian endometriosis with atypical changes, and the abnormal increase in the new estrogen receptor GPR30 is closely related to this process.
铁过载导致卵巢上皮非典型增生和异位子宫内膜的机制尚不清楚。因此,我们通过建立大鼠卵巢高铁环境来研究其对人卵巢异位子宫内膜和卵巢上皮的可能影响。
收集人卵巢异位子宫内膜非典型增生组织,通过免疫组织化学染色研究转铁蛋白受体 GPR30 与 Pi3K 蛋白表达的相关性。将 20 只 SPF 级 Sprague-Dawley 雌性大鼠一侧卵巢每月微注射铁一次,另一侧卵巢作为对照。微注射 10 个月后,采用普鲁士蓝染色法进行铁组织学分析,采用 HE 染色法评估卵巢子宫内膜形态。采用 Pi3K 染色法测量异常病变变化。采用逆转录 PCR(RT-PCR)和 Western blot 法评估 GPR30,还检测了 GPR30 与 Pi3K 之间的相互关系。
GPR30 在人卵巢异位子宫内膜非典型增生组织中显著增加,并与转铁蛋白受体和 Pi3K 相关。在 20 个微注射卵巢皮质中证实了铁过载,12 个卵巢中观察到上皮增生,8 个卵巢中观察到乳头状非典型增生。与增生组织样本相比,非典型增生组织中 GPR30 的 RNA 和蛋白水平显著增加。发现 GPR30 与 Pi3K 之间存在正相关(=0.001)。
这些结果表明,持续的铁暴露可能是卵巢子宫内膜异位症伴非典型改变的潜在刺激因素,新的雌激素受体 GPR30 的异常增加与这一过程密切相关。