Suppr超能文献

电休克治疗对伴有抑郁和自杀观念的青少年低频波动的局部一致性和振幅的影响。

Altered Regional Homogeneity and Amplitude of Low-Frequency Fluctuations Induced by Electroconvulsive Therapy for Adolescents with Depression and Suicidal Ideation.

作者信息

Li Xiao, Chen Xiaolu, Zhou Yi, Dai Linqi, Cui Long-Biao, Yu Renqiang, Ai Ming, Huang Qian, Tian Yu, Ming Mei, Kuang Li

机构信息

Department of Psychiatry, The First Affiliated Hospital of Chongqing Medical University, Chongqing 400016, China.

The First Branch, The First Affiliated Hospital of Chongqing Medical University, Chongqing 400015, China.

出版信息

Brain Sci. 2022 Aug 24;12(9):1121. doi: 10.3390/brainsci12091121.

Abstract

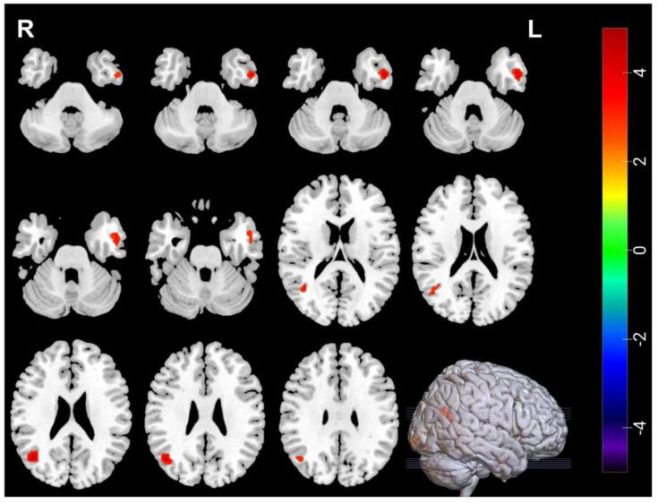
Resting-state functional magnetic resonance imaging (rs-fMRI) was used to investigate the effects of electroconvulsive therapy (ECT) causing brain function changes in adolescents who suffered from depression and suicidal ideation (SI). A total of 30 patients (MDDs) and 25 healthy controls (HCs) matched by gender, age, and education level were enrolled. The amplitude of low-frequency fluctuations (ALFF) and regional homogeneity (ReHo) were used to compare differences between HCs and MDDs at baseline, and differences in ALFF and ReHo pre/post ECT in MDDs. Pearson correlation analysis was used to evaluate the relationship between altered brain function and clinical symptoms. At baseline, MDDs showed decreased ALFF in the left inferior temporal gyrus and right amygdala, decreased ReHo in left inferior temporal gyrus, and increased ReHo in the right inferior frontal gyrus, opercular part and left middle occipital gyrus. After ECT, MDDs showed increased ALFF in the right middle occipital gyrus, decreased ALFF in left temporal pole, left inferior frontal gyrus, opercular part, and right frontal middle gyrus, increased ReHo in the right middle occipital gyrus, and left inferior temporal gyrus. Pearson correlation found HAMD scores at baseline were negatively correlated with ALFF in the left inferior temporal gyrus, and HAMD and BSSI scores after ECT were negatively correlated with ALFF in the right middle occipital gyrus. The abnormal activities of amygdala, inferior temporal gyrus and middle occipital gyrus might be related to depressive and suicidal symptoms in adolescents.

摘要

静息态功能磁共振成像(rs-fMRI)被用于研究电休克治疗(ECT)对患有抑郁症和自杀观念(SI)的青少年脑功能变化的影响。共纳入了30例患者(重度抑郁症患者)和25名健康对照者(HCs),他们在性别、年龄和教育水平上相匹配。采用低频振幅(ALFF)和局部一致性(ReHo)来比较HCs和重度抑郁症患者在基线时的差异,以及重度抑郁症患者在ECT治疗前后ALFF和ReHo的差异。采用Pearson相关分析来评估脑功能改变与临床症状之间的关系。在基线时,重度抑郁症患者左侧颞下回和右侧杏仁核的ALFF降低,左侧颞下回的ReHo降低,右侧额下回岛盖部和左侧枕中回的ReHo升高。ECT治疗后,重度抑郁症患者右侧枕中回的ALFF升高,左侧颞极、左侧额下回岛盖部和右侧额中回的ALFF降低,右侧枕中回和左侧颞下回的ReHo升高。Pearson相关分析发现,基线时汉密尔顿抑郁量表(HAMD)评分与左侧颞下回的ALFF呈负相关,ECT治疗后的HAMD和贝克自杀意念量表(BSSI)评分与右侧枕中回的ALFF呈负相关。杏仁核、颞下回和枕中回的异常活动可能与青少年的抑郁和自杀症状有关。

https://cdn.ncbi.nlm.nih.gov/pmc/blobs/777a/9496677/d20b850daa61/brainsci-12-01121-g001.jpg

文献AI研究员

20分钟写一篇综述,助力文献阅读效率提升50倍。

立即体验

用中文搜PubMed

大模型驱动的PubMed中文搜索引擎

马上搜索

文档翻译

学术文献翻译模型,支持多种主流文档格式。

立即体验