Suppr超能文献

Zika 病毒宫内感染胎儿的皮质听觉诱发电位。

Cortical Auditory Evoked Potentials in Children with Prenatal Exposure to Zika Virus.

机构信息

Department of Speech, Language and Audiology, Universidade Federal de Pernambuco, Recife 50740-520, Brazil.

Graduate, Program in Human Communication Health, Universidade Federal de Pernambuco, Recife 50740-520, Brazil.

出版信息

Viruses. 2022 Aug 30;14(9):1923. doi: 10.3390/v14091923.

Abstract

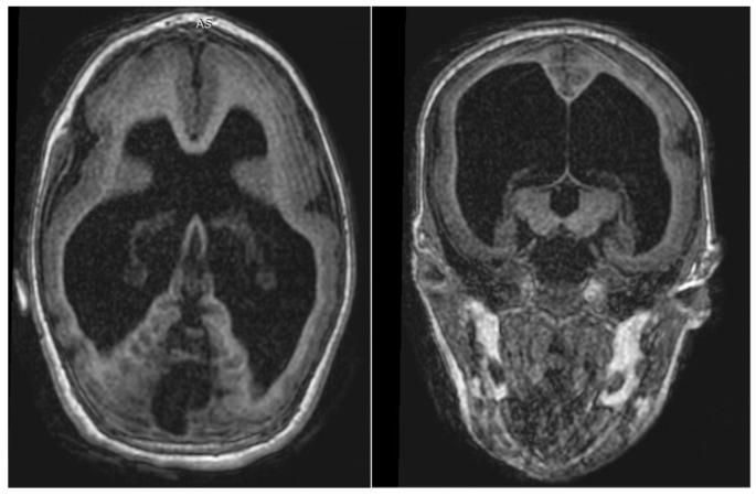
Prenatal exposure to ZIKV can cause neurologic and auditory damage. The electrophysiological responses obtained by Cortical Auditory Evoked Potentials (CAEP) may provide an objective method to investigate the function of cortical auditory pathways in children exposed to ZIKV. This case series analyzed the findings of CAEP in prenatal-period ZIKV-exposed children with and without microcephaly. The CAEP was performed in a total of 24 children. Five magnetic resonance imaging (MRI) images of the inner ear and brain of microcephalic children were analyzed and compared with CAEP measurements. Ventriculomegaly (80%), cortical/subcortical calcification (80%), and brain reduction (60%) were the most common alterations in the MRI. The P1-N1-P2 complex of the CAEP was observed in all children evaluated. The peak N2 was absent in two children. In the comparison of the CAEP measurements between the groups, children with microcephaly presented a higher amplitude of P2 ( = 0.017), which may reflect immaturity of the auditory pathways. Microcephalic and normocephalic children with prenatal exposure to ZIKV presented with the mandatory components of the CAEPs, regardless of changes in the CNS, suggesting that this population has, to some extent, the cortical ability to process sound stimuli preserved.

摘要

ZIKV 病毒的宫内感染可导致神经和听觉损伤。皮质听觉诱发电位(CAEP)的电生理反应可提供一种客观的方法,用于研究 ZIKV 暴露儿童皮质听觉通路的功能。本病例系列分析了产前 ZIKV 暴露的伴有或不伴有小头畸形的儿童的 CAEP 结果。共对 24 名儿童进行了 CAEP 检查。对 5 名小头畸形儿童的内耳和脑磁共振成像(MRI)进行了分析,并与 CAEP 测量结果进行了比较。最常见的 MRI 改变是脑室扩大(80%)、皮质/皮质下钙化(80%)和脑萎缩(60%)。所有评估的儿童均观察到 CAEP 的 P1-N1-P2 复合波。有 2 名儿童的峰 N2 缺失。在对两组 CAEP 测量值的比较中,小头畸形组的 P2 波振幅较高(=0.017),这可能反映了听觉通路的不成熟。有产前 ZIKV 暴露的小头畸形和正常头围儿童均出现 CAEPs 的必需成分,无论中枢神经系统是否发生改变,这表明该人群在一定程度上具有保留的皮质处理声刺激的能力。

https://cdn.ncbi.nlm.nih.gov/pmc/blobs/5e54/9502411/87ffed59af20/viruses-14-01923-g001.jpg

文献AI研究员

20分钟写一篇综述,助力文献阅读效率提升50倍。

立即体验

用中文搜PubMed

大模型驱动的PubMed中文搜索引擎

马上搜索

文档翻译

学术文献翻译模型,支持多种主流文档格式。

立即体验