Suppr超能文献

病例报告:一名同型胱氨酸尿症患者发生自发性双侧人工晶状体脱位。

Case report: Spontaneous bilateral intraocular lens dislocation in a patient with homocystinuria.

作者信息

Yao Bangtao, Chen Xujian, Liu Gang, Zhao Xiaogui

机构信息

Department of Ophthalmology, Nanjing Lishui People's Hospital, Zhongda Hospital Lishui Branch, Southeast University, Nanjing, China.

Department of Ophthalmology, Nanjing Lishui District Hospital of Traditional Chinese Medicine, Nanjing, China.

出版信息

Front Cardiovasc Med. 2022 Sep 14;9:974842. doi: 10.3389/fcvm.2022.974842. eCollection 2022.

Abstract

BACKGROUND

Spontaneous bilateral intraocular lens dislocation of the vitreous cavity is a rare ocular disorder. This article aims to comprehensively describe bilateral spontaneous intraocular lens dislocation with unilateral lamellar macular hole and retinoschisis in a Chinese woman with homocystinuria.

CASE PRESENTATION

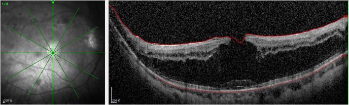
A 72-year-old Chinese woman with homocystinuria presented with a painless bilateral blurring of vision. The slit lamp showed the absence of lenses in both eyes. B-ultrasound and orbital computed tomography (CT) demonstrated bilateral posterior dislocation of the crystalline lenses, and spectral-domain optical coherence tomography (SD-OCT) revealed a lamellar macular hole and retinoschisis in the right eye. Biochemical examination demonstrated that the total homocysteine level was moderately elevated.

CONCLUSION

This report is the first to present an extensive and valuable description of bilateral intraocular lens dislocation with unilateral lamellar macular hole and retinoschisis secondary to homocystinuria. We have demonstrated that this case was spontaneous and chronic. CT is an effective diagnostic tool for patients with ectopia lentis. Early diagnosis and suitable management of patients with homocystinuria are essential to prevent these complications.

摘要

背景

玻璃体腔自发性双侧人工晶状体脱位是一种罕见的眼部疾病。本文旨在全面描述一名患有同型胱氨酸尿症的中国女性双侧自发性人工晶状体脱位合并单侧板层黄斑裂孔和视网膜劈裂的情况。

病例介绍

一名72岁患有同型胱氨酸尿症的中国女性出现无痛性双侧视力模糊。裂隙灯检查显示双眼均无晶状体。B超和眼眶计算机断层扫描(CT)显示晶状体双侧后脱位,光谱域光学相干断层扫描(SD-OCT)显示右眼有板层黄斑裂孔和视网膜劈裂。生化检查显示总同型半胱氨酸水平中度升高。

结论

本报告首次对同型胱氨酸尿症继发的双侧人工晶状体脱位合并单侧板层黄斑裂孔和视网膜劈裂进行了广泛且有价值的描述。我们已证明该病例是自发性和慢性的。CT是晶状体异位患者的有效诊断工具。对同型胱氨酸尿症患者进行早期诊断和适当治疗对于预防这些并发症至关重要。

https://cdn.ncbi.nlm.nih.gov/pmc/blobs/4577/9515901/0f5afa2567a6/fcvm-09-974842-g001.jpg

文献AI研究员

20分钟写一篇综述,助力文献阅读效率提升50倍。

立即体验

用中文搜PubMed

大模型驱动的PubMed中文搜索引擎

马上搜索

文档翻译

学术文献翻译模型,支持多种主流文档格式。

立即体验