Suppr超能文献

Osteosarcoma Arising From a Cervical Teratoma in a 4-year Old Child: A Report of a Rare Case and Literature Review.

作者信息

Amaefule Kenneth Ezenwa, Ejagwulu Friday Samuel, Sholadoye Talib Talib, Dahiru Waziri Garba

机构信息

Department of Orthopaedics and Trauma Surgery, Ahmadu Bello University Teaching Hospital, Zaria, Nigeria.

Department of Surgery, Ahmadu Bello University Teaching Hospital, Zaria, Nigeria.

出版信息

J West Afr Coll Surg. 2022 Jan-Mar;12(1):91-94. doi: 10.4103/jwas.jwas_74_22. Epub 2022 Aug 23.

Abstract

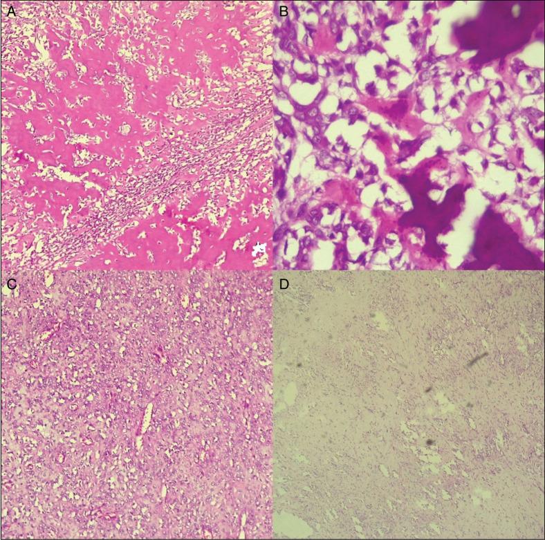
Cervical teratomas consist of about 3% of all teratomas, and commonly present in childhood. They are often benign and very rarely turn malignant. Malignant transformation of teratomas occurs in about 3% - 6% of such tumours, and often results in carcinomas, and infrequently, sarcomas and yolk sac tumours. Squamous cell carcinoma accounts for about 80% - 90% of such malignant transformation. Osteosarcoma arising from a teratoma is a rare occurrence with the very few reported cases occurring in the ovaries, and no such transformation has been reported in a cervical teratoma. We present our experience with a child with osteosarcoma in a cervical teratoma.

摘要
https://cdn.ncbi.nlm.nih.gov/pmc/blobs/1e1a/9531732/426b3074b4f0/JWACS-12-91-g001.jpg

文献AI研究员

20分钟写一篇综述,助力文献阅读效率提升50倍。

立即体验

用中文搜PubMed

大模型驱动的PubMed中文搜索引擎

马上搜索

文档翻译

学术文献翻译模型,支持多种主流文档格式。

立即体验