• 文献检索
  • 文档翻译
  • 深度研究
  • 学术资讯
  • Suppr Zotero 插件Zotero 插件
  • 邀请有礼
  • 套餐&价格
  • 历史记录
应用&插件
Suppr Zotero 插件Zotero 插件浏览器插件Mac 客户端Windows 客户端微信小程序
定价
高级版会员购买积分包购买API积分包
服务
文献检索文档翻译深度研究API 文档MCP 服务
关于我们
关于 Suppr公司介绍联系我们用户协议隐私条款
关注我们

Suppr 超能文献

核心技术专利:CN118964589B侵权必究
粤ICP备2023148730 号-1Suppr @ 2026

文献检索

告别复杂PubMed语法,用中文像聊天一样搜索,搜遍4000万医学文献。AI智能推荐,让科研检索更轻松。

立即免费搜索

文件翻译

保留排版,准确专业,支持PDF/Word/PPT等文件格式,支持 12+语言互译。

免费翻译文档

深度研究

AI帮你快速写综述,25分钟生成高质量综述,智能提取关键信息,辅助科研写作。

立即免费体验

2 型糖尿病大鼠袖状胃切除联合单吻合口十二指肠空肠旁路术后粪便代谢组学分析。

Metabolomics analysis of stool in rats with type 2 diabetes mellitus after single-anastomosis duodenal-ileal bypass with sleeve gastrectomy.

机构信息

Department of Bariatric and Metabolic Surgery, China-Japan Union Hospital of Jilin University, Changchun City, China.

出版信息

Front Endocrinol (Lausanne). 2022 Sep 20;13:1013959. doi: 10.3389/fendo.2022.1013959. eCollection 2022.

DOI:10.3389/fendo.2022.1013959
PMID:36204098
原文链接:https://pmc.ncbi.nlm.nih.gov/articles/PMC9530139/
Abstract

BACKGROUND

Single-anastomosis duodenal-ileal bypass with sleeve gastrectomy (SADI-S) is one of the most effective bariatric procedures in the treatment of type 2 diabetes mellitus (T2DM). However, the mechanisms by which SADI-S improves T2DM are not well-known.

OBJECTIVE

To explore the effects of SADI-S on metabolites in the stool of rats with T2DM.

METHODS

Twenty rats were fed on high-fat diet and administered with a low-dose (30mg/kg) of streptozotocin to establish T2DM models. The rats were then randomly assigned to the SADI-S group (n=10) and sham operation group (n=9). Stool samples were collected from all rats at 8 weeks after surgery and stored at -80 °C. Metabolomics analysis was performed to identify differential metabolites through ultra- performance liquid chromatography-mass spectrometry.

RESULTS

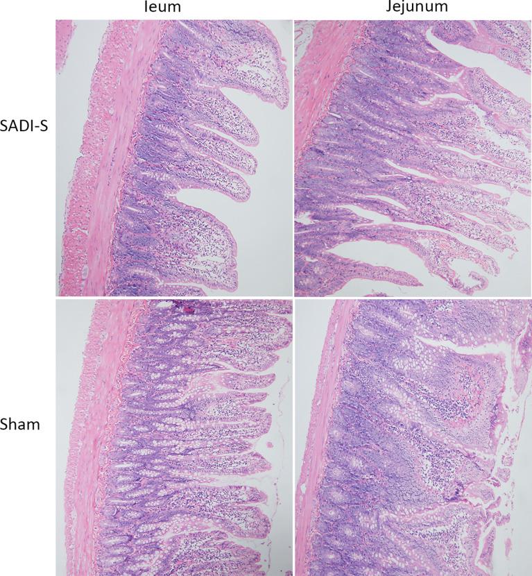
At 8-week after surgery, rats of the SADI-S group showed significantly decreased fasting blood glucose, glucose tolerance test 2-hour, glycated haemoglobin, and body weight compared with those of the sham group. A total of 245 differential metabolites were identified between the two groups. Among them, 16 metabolites such as branched-chain amino acids (valine), aromatic amino acid (phenylalanine), bile acid (cholic acid, lithocholic acid, and β-muricholic acid), short-chain fatty acid (isobutyric acid), and phospholipid [lysoPE(17:0), lysoPE(20:3) and lysoPS(16:0)] were associated to the T2DM remission after SADI-S.

CONCLUSION

SADI-S improves T2DM in rats by regulating phenylalanine biosynthesis, valine, phenylalanine, alanine, glutamate, proline, bile acid, and phospholipid metabolism pathways.

摘要

背景

单吻合口十二指肠空肠旁路术联合袖状胃切除术(SADI-S)是治疗 2 型糖尿病(T2DM)最有效的减重手术之一。然而,SADI-S 改善 T2DM 的机制尚不清楚。

目的

探讨 SADI-S 对 T2DM 大鼠粪便代谢物的影响。

方法

将 20 只大鼠给予高脂饮食并给予小剂量(30mg/kg)链脲佐菌素,建立 T2DM 模型。然后将大鼠随机分为 SADI-S 组(n=10)和假手术组(n=9)。所有大鼠于手术后 8 周采集粪便样本,-80°C 保存。通过超高效液相色谱-质谱联用技术进行代谢组学分析,鉴定差异代谢物。

结果

手术后 8 周,SADI-S 组大鼠空腹血糖、葡萄糖耐量试验 2 小时、糖化血红蛋白和体重明显低于假手术组。两组共鉴定出 245 个差异代谢物。其中,16 种代谢物,如支链氨基酸(缬氨酸)、芳香族氨基酸(苯丙氨酸)、胆酸(胆酸、石胆酸和β-鼠胆酸)、短链脂肪酸(异丁酸)和磷脂[溶血磷脂酰乙醇胺(17:0)、溶血磷脂酰甘油(20:3)和溶血磷脂酰丝氨酸(16:0)]与 SADI-S 后 T2DM 缓解有关。

结论

SADI-S 通过调节苯丙氨酸生物合成、缬氨酸、苯丙氨酸、丙氨酸、谷氨酸、脯氨酸、胆酸和磷脂代谢途径改善大鼠 T2DM。

https://cdn.ncbi.nlm.nih.gov/pmc/blobs/940b/9530139/731203858a7b/fendo-13-1013959-g006.jpg
https://cdn.ncbi.nlm.nih.gov/pmc/blobs/940b/9530139/c2e004c8079d/fendo-13-1013959-g001.jpg
https://cdn.ncbi.nlm.nih.gov/pmc/blobs/940b/9530139/69b9f0c03b6d/fendo-13-1013959-g002.jpg
https://cdn.ncbi.nlm.nih.gov/pmc/blobs/940b/9530139/101a4c62d0bb/fendo-13-1013959-g003.jpg
https://cdn.ncbi.nlm.nih.gov/pmc/blobs/940b/9530139/747e92bb36e5/fendo-13-1013959-g004.jpg
https://cdn.ncbi.nlm.nih.gov/pmc/blobs/940b/9530139/8c8c981badae/fendo-13-1013959-g005.jpg
https://cdn.ncbi.nlm.nih.gov/pmc/blobs/940b/9530139/731203858a7b/fendo-13-1013959-g006.jpg
https://cdn.ncbi.nlm.nih.gov/pmc/blobs/940b/9530139/c2e004c8079d/fendo-13-1013959-g001.jpg
https://cdn.ncbi.nlm.nih.gov/pmc/blobs/940b/9530139/69b9f0c03b6d/fendo-13-1013959-g002.jpg
https://cdn.ncbi.nlm.nih.gov/pmc/blobs/940b/9530139/101a4c62d0bb/fendo-13-1013959-g003.jpg
https://cdn.ncbi.nlm.nih.gov/pmc/blobs/940b/9530139/747e92bb36e5/fendo-13-1013959-g004.jpg
https://cdn.ncbi.nlm.nih.gov/pmc/blobs/940b/9530139/8c8c981badae/fendo-13-1013959-g005.jpg
https://cdn.ncbi.nlm.nih.gov/pmc/blobs/940b/9530139/731203858a7b/fendo-13-1013959-g006.jpg

相似文献

1
Metabolomics analysis of stool in rats with type 2 diabetes mellitus after single-anastomosis duodenal-ileal bypass with sleeve gastrectomy.2 型糖尿病大鼠袖状胃切除联合单吻合口十二指肠空肠旁路术后粪便代谢组学分析。
Front Endocrinol (Lausanne). 2022 Sep 20;13:1013959. doi: 10.3389/fendo.2022.1013959. eCollection 2022.
2
Comparison of the Outcomes of Single Anastomosis Duodeno-Ileostomy with Sleeve Gastrectomy (SADI-S), Single Anastomosis Sleeve Ileal (SASI) Bypass with Sleeve Gastrectomy, and Sleeve Gastrectomy Using a Rodent Model with Diabetes.采用糖尿病啮齿动物模型比较单吻合十二指肠回肠造口术(SADI-S)、单吻合袖状回肠(SASI)旁路术联合袖状胃切除术与单纯袖状胃切除术的疗效。
Obes Surg. 2022 Apr;32(4):1209-1215. doi: 10.1007/s11695-022-05920-5. Epub 2022 Jan 20.
3
[Mid-term efficacy of single anastomosis duodenal-ileal bypass with sleeve gastrectomy in the treatment of obesity and type 2 diabetes mellitus].单吻合十二指肠-回肠旁路术联合袖状胃切除术治疗肥胖症和2型糖尿病的中期疗效
Zhonghua Wei Chang Wai Ke Za Zhi. 2024 Oct 25;27(10):1056-1062. doi: 10.3760/cma.j.cn441530-20231007-00117.
4
Single-anastomosis duodenoileal bypass with sleeve gastrectomy (SADI-S) for obese diabetic patients.单吻合口十二指肠空肠旁路术联合袖状胃切除术(SADI-S)治疗肥胖糖尿病患者
Surg Obes Relat Dis. 2015 Sep-Oct;11(5):1092-8. doi: 10.1016/j.soard.2015.01.024. Epub 2015 Feb 7.
5
Single anastomosis duodeno-ileal bypass with sleeve gastrectomy generates sustained improvement of glycemic control compared with sleeve gastrectomy in the diet-induced obese rat model.单吻合口十二指肠-空肠旁路术联合胃袖状切除术与胃袖状切除术相比,可在饮食诱导肥胖大鼠模型中持续改善血糖控制。
J Physiol Biochem. 2024 Feb;80(1):149-160. doi: 10.1007/s13105-023-00993-x. Epub 2023 Nov 7.
6
Comparison of Diabetes Remission and Micronutrient Deficiency in a Mildly Obese Diabetic Rat Model Undergoing SADI-S Versus RYGB.胃旁路手术与袖状胃切除术治疗轻度肥胖 2 型糖尿病大鼠模型的糖尿病缓解和微量营养素缺乏比较
Obes Surg. 2019 Apr;29(4):1174-1184. doi: 10.1007/s11695-018-03630-5.
7
Evaluation study of single-anastomosis duodenal-ileal bypass with sleeve gastrectomy in the treatment of Chinese obese patients based on efficacy and nutrition.基于疗效和营养评估的单吻合口十二指肠-空肠旁路袖状胃切除术治疗中国肥胖患者的研究
Sci Rep. 2024 Mar 19;14(1):6522. doi: 10.1038/s41598-024-57289-3.
8
Improved Adipose Tissue Function after Single Anastomosis Duodeno-Ileal Bypass with Sleeve-Gastrectomy (SADI-S) in Diet-Induced Obesity.袖状胃切除联合单吻合口空肠回肠旁路术(SADI-S)改善饮食诱导肥胖的脂肪组织功能。
Int J Mol Sci. 2022 Oct 1;23(19):11641. doi: 10.3390/ijms231911641.
9
[One-year outcomes of laparoscopic single-anastomosis duodenal-ileal bypass with sleeve gastrectomy versus laparoscopic sleeve gastrectomy for the treatment of obesity and obesity-related metabolic diseases].腹腔镜单吻合十二指肠-回肠旁路术联合袖状胃切除术与腹腔镜袖状胃切除术治疗肥胖及肥胖相关代谢性疾病的一年结局
Zhonghua Wei Chang Wai Ke Za Zhi. 2021 Dec 25;24(12):1058-1064. doi: 10.3760/cma.j.cn441530-20210126-00044.
10
[Safety and learning curve of Da Vinci robotic single-anastomosis duodenal-ileal bypass with sleeve gastrectomy in the treatment of obesity patients].达芬奇机器人单吻合十二指肠-回肠旁路术联合袖状胃切除术治疗肥胖患者的安全性及学习曲线
Zhonghua Wei Chang Wai Ke Za Zhi. 2022 May 25;25(5):454-461. doi: 10.3760/cma.j.cn441530-20210711-00273.

引用本文的文献

1
Proteomic Analysis of Retinas in a Rat Model of High-Fat Diet-Induced Type 2 Diabetes: Implications of Interventional Targets for Nonproliferative Diabetic Retinopathy.高脂饮食诱导的2型糖尿病大鼠模型视网膜的蛋白质组学分析:对非增殖性糖尿病视网膜病变干预靶点的启示
Drug Des Devel Ther. 2025 Apr 17;19:2979-2999. doi: 10.2147/DDDT.S501318. eCollection 2025.
2
Alterations of the gut microbiota and metabolites by ShenZhu TiaoPi granule alleviates hyperglycemia in GK rats.参术调脾颗粒对肠道微生物群和代谢物的改变可减轻GK大鼠的高血糖。
Front Microbiol. 2024 Aug 29;15:1420103. doi: 10.3389/fmicb.2024.1420103. eCollection 2024.
3

本文引用的文献

1
Serum untargeted metabolomics analysis of the mechanisms of evodiamine on type 2 diabetes mellitus model rats.血清靶向代谢组学分析吴茱萸碱对 2 型糖尿病模型大鼠作用机制。
Food Funct. 2022 Jun 20;13(12):6623-6635. doi: 10.1039/d1fo04396j.
2
Metabolomics Analysis on Obesity-Related Obstructive Sleep Apnea After Weight Loss Management: A Preliminary Study.基于体重管理的肥胖相关性阻塞性睡眠呼吸暂停的代谢组学分析:一项初步研究。
Front Endocrinol (Lausanne). 2022 Jan 3;12:761547. doi: 10.3389/fendo.2021.761547. eCollection 2021.
3
Comparative Evaluation of the Effect of Metformin and Insulin on Gut Microbiota and Metabolome Profiles of Type 2 Diabetic Rats Induced by the Combination of Streptozotocin and High-Fat Diet.
Effects of single-anastomosis duodenal-ileal bypass with sleeve gastrectomy on gut microbiota and glucose metabolism in rats with type 2 diabetes.
单吻合十二指肠-回肠旁路术联合袖状胃切除术对2型糖尿病大鼠肠道微生物群和葡萄糖代谢的影响
Front Microbiol. 2024 May 27;15:1357749. doi: 10.3389/fmicb.2024.1357749. eCollection 2024.
4
The impact of microbially modified metabolites associated with obesity and bariatric surgery on antitumor immunity.与肥胖和减重手术相关的微生物修饰代谢物对抗肿瘤免疫的影响。
Front Immunol. 2023 May 16;14:1156471. doi: 10.3389/fimmu.2023.1156471. eCollection 2023.
二甲双胍和胰岛素对链脲佐菌素与高脂饮食联合诱导的2型糖尿病大鼠肠道微生物群和代谢组学特征影响的比较评价
Front Pharmacol. 2022 Jan 3;12:794103. doi: 10.3389/fphar.2021.794103. eCollection 2021.
4
Untargeted metabolomics analysis of the anti-diabetic effect of Red ginseng extract in Type 2 diabetes Mellitus rats based on UHPLC-MS/MS.基于 UHPLC-MS/MS 的红参提取物对 2 型糖尿病大鼠抗糖尿病作用的非靶向代谢组学分析。
Biomed Pharmacother. 2022 Feb;146:112495. doi: 10.1016/j.biopha.2021.112495. Epub 2021 Dec 7.
5
Metabolomics in Bariatric Surgery: Towards Identification of Mechanisms and Biomarkers of Metabolic Outcomes.减重手术中的代谢组学:寻找代谢结果的机制和生物标志物。
Obes Surg. 2021 Oct;31(10):4564-4574. doi: 10.1007/s11695-021-05566-9. Epub 2021 Jul 27.
6
Metabolic surgery versus conventional medical therapy in patients with type 2 diabetes: 10-year follow-up of an open-label, single-centre, randomised controlled trial.代谢手术与 2 型糖尿病患者的常规药物治疗的比较:一项开放标签、单中心、随机对照临床试验的 10 年随访结果。
Lancet. 2021 Jan 23;397(10271):293-304. doi: 10.1016/S0140-6736(20)32649-0.
7
Metabolomic Analysis of the Improvements in Insulin Secretion and Resistance After Sleeve Gastrectomy: Implications of the Novel Biomarkers.袖状胃切除术后胰岛素分泌和抵抗改善的代谢组学分析:新型生物标志物的意义。
Obes Surg. 2021 Jan;31(1):43-52. doi: 10.1007/s11695-020-04925-2. Epub 2020 Aug 19.
8
Short-chain fatty acids as novel therapeutics for gestational diabetes.短链脂肪酸作为妊娠期糖尿病的新型治疗药物。
J Mol Endocrinol. 2020 Aug;65(2):21-34. doi: 10.1530/JME-20-0094.
9
Serum metabolomics analysis of the intervention effect of whole grain oats on insulin resistance induced by high-fat diet in rats.全谷物燕麦对高脂饮食诱导的大鼠胰岛素抵抗干预作用的血清代谢组学分析
Food Res Int. 2020 Sep;135:109297. doi: 10.1016/j.foodres.2020.109297. Epub 2020 May 19.
10
Network pharmacology and metabolomics study on the intervention of traditional Chinese medicine Huanglian Decoction in rats with type 2 diabetes mellitus.网络药理学和代谢组学研究中药黄连汤干预 2 型糖尿病大鼠的作用机制。
J Ethnopharmacol. 2020 Aug 10;258:112842. doi: 10.1016/j.jep.2020.112842. Epub 2020 Apr 22.