• 文献检索
  • 文档翻译
  • 深度研究
  • 学术资讯
  • Suppr Zotero 插件Zotero 插件
  • 邀请有礼
  • 套餐&价格
  • 历史记录
应用&插件
Suppr Zotero 插件Zotero 插件浏览器插件Mac 客户端Windows 客户端微信小程序
定价
高级版会员购买积分包购买API积分包
服务
文献检索文档翻译深度研究API 文档MCP 服务
关于我们
关于 Suppr公司介绍联系我们用户协议隐私条款
关注我们

Suppr 超能文献

核心技术专利:CN118964589B侵权必究
粤ICP备2023148730 号-1Suppr @ 2026

文献检索

告别复杂PubMed语法,用中文像聊天一样搜索,搜遍4000万医学文献。AI智能推荐,让科研检索更轻松。

立即免费搜索

文件翻译

保留排版,准确专业,支持PDF/Word/PPT等文件格式,支持 12+语言互译。

免费翻译文档

深度研究

AI帮你快速写综述,25分钟生成高质量综述,智能提取关键信息,辅助科研写作。

立即免费体验

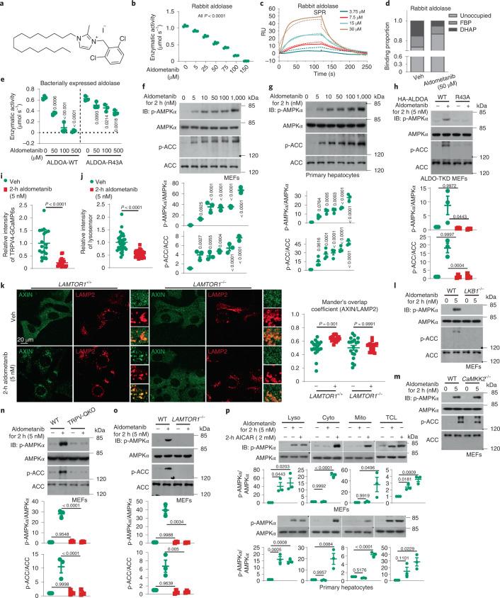
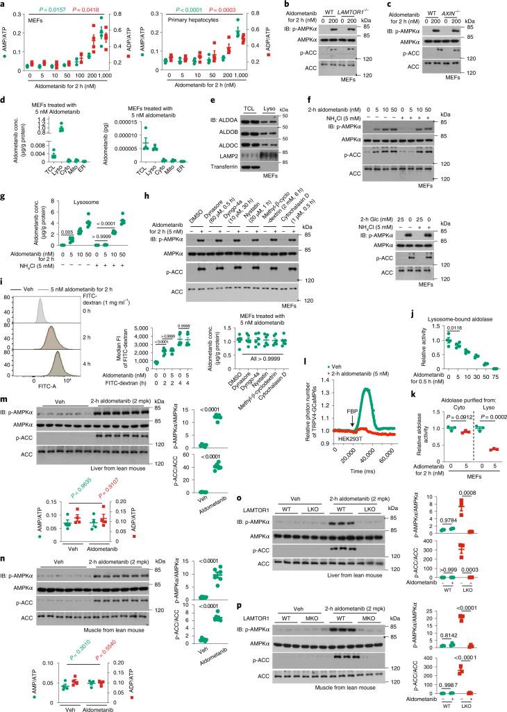
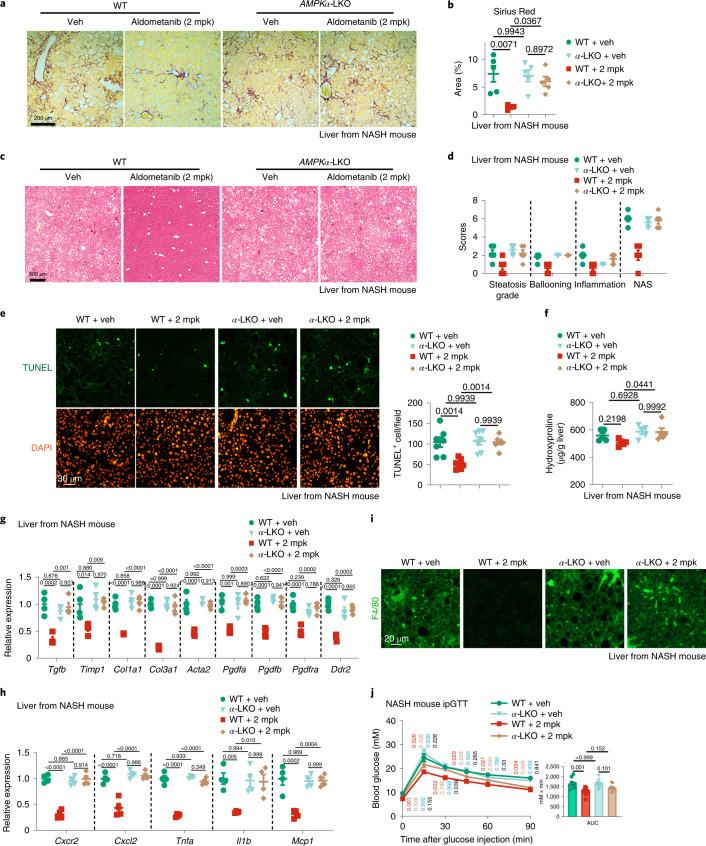
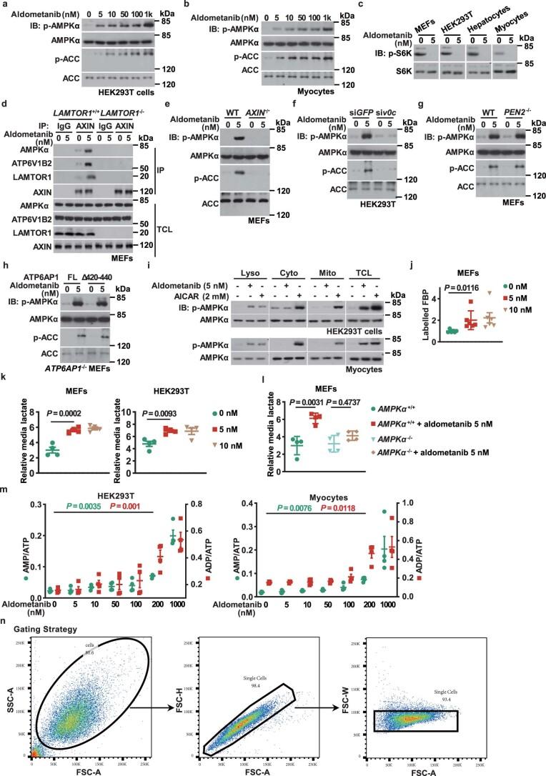
醛缩酶抑制剂 aldometanib 通过模拟葡萄糖饥饿来激活溶酶体 AMPK。

The aldolase inhibitor aldometanib mimics glucose starvation to activate lysosomal AMPK.

机构信息

State Key Laboratory of Cellular Stress Biology, School of Life Sciences, Faculty of Medicine and Life Sciences, Xiamen University, Fujian, China.

Department of Endocrinology and Metabolism, Shanghai Jiao Tong University Affiliated Sixth People's Hospital, Shanghai, China.

出版信息

Nat Metab. 2022 Oct;4(10):1369-1401. doi: 10.1038/s42255-022-00640-7. Epub 2022 Oct 10.

DOI:10.1038/s42255-022-00640-7
PMID:36217034
原文链接:https://pmc.ncbi.nlm.nih.gov/articles/PMC9584815/
Abstract

The activity of 5'-adenosine monophosphate-activated protein kinase (AMPK) is inversely correlated with the cellular availability of glucose. When glucose levels are low, the glycolytic enzyme aldolase is not bound to fructose-1,6-bisphosphate (FBP) and, instead, signals to activate lysosomal AMPK. Here, we show that blocking FBP binding to aldolase with the small molecule aldometanib selectively activates the lysosomal pool of AMPK and has beneficial metabolic effects in rodents. We identify aldometanib in a screen for aldolase inhibitors and show that it prevents FBP from binding to v-ATPase-associated aldolase and activates lysosomal AMPK, thereby mimicking a cellular state of glucose starvation. In male mice, aldometanib elicits an insulin-independent glucose-lowering effect, without causing hypoglycaemia. Aldometanib also alleviates fatty liver and nonalcoholic steatohepatitis in obese male rodents. Moreover, aldometanib extends lifespan and healthspan in both Caenorhabditis elegans and mice. Taken together, aldometanib mimics and adopts the lysosomal AMPK activation pathway associated with glucose starvation to exert physiological roles, and might have potential as a therapeutic for metabolic disorders in humans.

摘要

5'-腺苷一磷酸激活蛋白激酶(AMPK)的活性与细胞内葡萄糖的可用性呈负相关。当葡萄糖水平较低时,糖酵解酶醛缩酶不会与果糖-1,6-二磷酸(FBP)结合,而是发出信号激活溶酶体 AMPK。在这里,我们表明,用小分子 aldometanib 阻断醛缩酶与 FBP 的结合,可选择性地激活溶酶体 AMPK,并在啮齿动物中产生有益的代谢效应。我们在醛缩酶抑制剂的筛选中发现 aldometanib,表明它可以防止 FBP 与 v-ATPase 相关的醛缩酶结合并激活溶酶体 AMPK,从而模拟细胞葡萄糖饥饿状态。在雄性小鼠中,aldometanib 可引起胰岛素非依赖性的血糖降低作用,而不会引起低血糖。Aldometanib 还可减轻肥胖雄性啮齿动物的脂肪肝和非酒精性脂肪性肝炎。此外,aldometanib 可延长秀丽隐杆线虫和小鼠的寿命和健康寿命。总之,aldometanib 模拟并采用与葡萄糖饥饿相关的溶酶体 AMPK 激活途径来发挥生理作用,并且可能有潜力成为人类代谢紊乱的治疗药物。

https://cdn.ncbi.nlm.nih.gov/pmc/blobs/3499/9584815/4c1bf999b59a/42255_2022_640_Fig18_ESM.jpg
https://cdn.ncbi.nlm.nih.gov/pmc/blobs/3499/9584815/3fc3874978d8/42255_2022_640_Fig1_HTML.jpg
https://cdn.ncbi.nlm.nih.gov/pmc/blobs/3499/9584815/4d918fdb3722/42255_2022_640_Fig2_HTML.jpg
https://cdn.ncbi.nlm.nih.gov/pmc/blobs/3499/9584815/1c622228e33f/42255_2022_640_Fig3_HTML.jpg
https://cdn.ncbi.nlm.nih.gov/pmc/blobs/3499/9584815/4078777ec5a4/42255_2022_640_Fig4_HTML.jpg
https://cdn.ncbi.nlm.nih.gov/pmc/blobs/3499/9584815/1f491faa770b/42255_2022_640_Fig5_HTML.jpg
https://cdn.ncbi.nlm.nih.gov/pmc/blobs/3499/9584815/eca3bf920bb9/42255_2022_640_Fig6_HTML.jpg
https://cdn.ncbi.nlm.nih.gov/pmc/blobs/3499/9584815/95f48147a9db/42255_2022_640_Fig7_HTML.jpg
https://cdn.ncbi.nlm.nih.gov/pmc/blobs/3499/9584815/4d4af9ccd172/42255_2022_640_Fig8_HTML.jpg
https://cdn.ncbi.nlm.nih.gov/pmc/blobs/3499/9584815/1c9655c59464/42255_2022_640_Fig9_ESM.jpg
https://cdn.ncbi.nlm.nih.gov/pmc/blobs/3499/9584815/bd0c47306c2f/42255_2022_640_Fig10_ESM.jpg
https://cdn.ncbi.nlm.nih.gov/pmc/blobs/3499/9584815/b1179fe11419/42255_2022_640_Fig11_ESM.jpg
https://cdn.ncbi.nlm.nih.gov/pmc/blobs/3499/9584815/ac51643f63e4/42255_2022_640_Fig12_ESM.jpg
https://cdn.ncbi.nlm.nih.gov/pmc/blobs/3499/9584815/22123b4c871a/42255_2022_640_Fig13_ESM.jpg
https://cdn.ncbi.nlm.nih.gov/pmc/blobs/3499/9584815/9bfe7fbe7402/42255_2022_640_Fig14_ESM.jpg
https://cdn.ncbi.nlm.nih.gov/pmc/blobs/3499/9584815/29214e0a9909/42255_2022_640_Fig15_ESM.jpg
https://cdn.ncbi.nlm.nih.gov/pmc/blobs/3499/9584815/b24667809311/42255_2022_640_Fig16_ESM.jpg
https://cdn.ncbi.nlm.nih.gov/pmc/blobs/3499/9584815/692228163320/42255_2022_640_Fig17_ESM.jpg
https://cdn.ncbi.nlm.nih.gov/pmc/blobs/3499/9584815/4c1bf999b59a/42255_2022_640_Fig18_ESM.jpg
https://cdn.ncbi.nlm.nih.gov/pmc/blobs/3499/9584815/3fc3874978d8/42255_2022_640_Fig1_HTML.jpg
https://cdn.ncbi.nlm.nih.gov/pmc/blobs/3499/9584815/4d918fdb3722/42255_2022_640_Fig2_HTML.jpg
https://cdn.ncbi.nlm.nih.gov/pmc/blobs/3499/9584815/1c622228e33f/42255_2022_640_Fig3_HTML.jpg
https://cdn.ncbi.nlm.nih.gov/pmc/blobs/3499/9584815/4078777ec5a4/42255_2022_640_Fig4_HTML.jpg
https://cdn.ncbi.nlm.nih.gov/pmc/blobs/3499/9584815/1f491faa770b/42255_2022_640_Fig5_HTML.jpg
https://cdn.ncbi.nlm.nih.gov/pmc/blobs/3499/9584815/eca3bf920bb9/42255_2022_640_Fig6_HTML.jpg
https://cdn.ncbi.nlm.nih.gov/pmc/blobs/3499/9584815/95f48147a9db/42255_2022_640_Fig7_HTML.jpg
https://cdn.ncbi.nlm.nih.gov/pmc/blobs/3499/9584815/4d4af9ccd172/42255_2022_640_Fig8_HTML.jpg
https://cdn.ncbi.nlm.nih.gov/pmc/blobs/3499/9584815/1c9655c59464/42255_2022_640_Fig9_ESM.jpg
https://cdn.ncbi.nlm.nih.gov/pmc/blobs/3499/9584815/bd0c47306c2f/42255_2022_640_Fig10_ESM.jpg
https://cdn.ncbi.nlm.nih.gov/pmc/blobs/3499/9584815/b1179fe11419/42255_2022_640_Fig11_ESM.jpg
https://cdn.ncbi.nlm.nih.gov/pmc/blobs/3499/9584815/ac51643f63e4/42255_2022_640_Fig12_ESM.jpg
https://cdn.ncbi.nlm.nih.gov/pmc/blobs/3499/9584815/22123b4c871a/42255_2022_640_Fig13_ESM.jpg
https://cdn.ncbi.nlm.nih.gov/pmc/blobs/3499/9584815/9bfe7fbe7402/42255_2022_640_Fig14_ESM.jpg
https://cdn.ncbi.nlm.nih.gov/pmc/blobs/3499/9584815/29214e0a9909/42255_2022_640_Fig15_ESM.jpg
https://cdn.ncbi.nlm.nih.gov/pmc/blobs/3499/9584815/b24667809311/42255_2022_640_Fig16_ESM.jpg
https://cdn.ncbi.nlm.nih.gov/pmc/blobs/3499/9584815/692228163320/42255_2022_640_Fig17_ESM.jpg
https://cdn.ncbi.nlm.nih.gov/pmc/blobs/3499/9584815/4c1bf999b59a/42255_2022_640_Fig18_ESM.jpg

相似文献

1
The aldolase inhibitor aldometanib mimics glucose starvation to activate lysosomal AMPK.醛缩酶抑制剂 aldometanib 通过模拟葡萄糖饥饿来激活溶酶体 AMPK。
Nat Metab. 2022 Oct;4(10):1369-1401. doi: 10.1038/s42255-022-00640-7. Epub 2022 Oct 10.
2
Transient Receptor Potential V Channels Are Essential for Glucose Sensing by Aldolase and AMPK.瞬时受体电位 V 通道对于醛缩酶和 AMPK 的葡萄糖感应至关重要。
Cell Metab. 2019 Sep 3;30(3):508-524.e12. doi: 10.1016/j.cmet.2019.05.018. Epub 2019 Jun 13.
3
Fructose-1,6-bisphosphate and aldolase mediate glucose sensing by AMPK.果糖-1,6-二磷酸和醛缩酶通过AMPK介导葡萄糖感知。
Nature. 2017 Aug 3;548(7665):112-116. doi: 10.1038/nature23275. Epub 2017 Jul 19.
4
AMPK: Sensing Glucose as well as Cellular Energy Status.AMPK:感知葡萄糖和细胞能量状态。
Cell Metab. 2018 Feb 6;27(2):299-313. doi: 10.1016/j.cmet.2017.10.009. Epub 2017 Nov 16.
5
Low-dose metformin targets the lysosomal AMPK pathway through PEN2.低剂量二甲双胍通过 PEN2 靶向溶酶体 AMPK 通路。
Nature. 2022 Mar;603(7899):159-165. doi: 10.1038/s41586-022-04431-8. Epub 2022 Feb 23.
6
Aldolase is a sensor for both low and high glucose, linking to AMPK and mTORC1.醛缩酶是一种用于检测高低葡萄糖水平的传感器,与AMPK和mTORC1相关联。
Cell Res. 2021 Apr;31(4):478-481. doi: 10.1038/s41422-020-00456-8. Epub 2020 Dec 21.
7
AMPK Inhibits ULK1-Dependent Autophagosome Formation and Lysosomal Acidification via Distinct Mechanisms.AMPK 通过不同的机制抑制 ULK1 依赖性自噬体形成和溶酶体酸化。
Mol Cell Biol. 2018 Apr 30;38(10). doi: 10.1128/MCB.00023-18. Print 2018 May 15.
8
The GID ubiquitin ligase complex is a regulator of AMPK activity and organismal lifespan.GID泛素连接酶复合体是AMPK活性和生物体寿命的调节因子。
Autophagy. 2020 Sep;16(9):1618-1634. doi: 10.1080/15548627.2019.1695399. Epub 2019 Dec 3.
9
Glucose starvation increases V-ATPase assembly and activity in mammalian cells through AMP kinase and phosphatidylinositide 3-kinase/Akt signaling.葡萄糖饥饿通过 AMP 激酶和磷脂酰肌醇 3-激酶/ Akt 信号通路增加哺乳动物细胞中的 V-ATPase 组装和活性。
J Biol Chem. 2018 Jun 8;293(23):9113-9123. doi: 10.1074/jbc.RA117.001327. Epub 2018 Mar 14.
10
Starvation-induced lysosomal degradation of aldolase B requires glutamine 111 in a signal sequence for chaperone-mediated transport.饥饿诱导的醛缩酶B溶酶体降解在伴侣介导转运的信号序列中需要谷氨酰胺111。
J Cell Physiol. 2001 Apr;187(1):48-58. doi: 10.1002/1097-4652(2001)9999:9999<00::AID-JCP1050>3.0.CO;2-I.

引用本文的文献

1
Metformin and Adipose Tissue: A Multifaceted Regulator in Metabolism, Inflammation, and Regeneration.二甲双胍与脂肪组织:代谢、炎症及再生过程中的多面调节因子
Endocrinol Metab (Seoul). 2025 Aug;40(4):523-538. doi: 10.3803/EnM.2025.2371. Epub 2025 Aug 8.
2
Glucose metabolism and its direct action in cancer and immune regulation: opportunities and challenges for metabolic targeting.葡萄糖代谢及其在癌症和免疫调节中的直接作用:代谢靶向的机遇与挑战
J Biomed Sci. 2025 Jul 29;32(1):71. doi: 10.1186/s12929-025-01167-1.
3
Taurine Attenuates Disuse Muscle Atrophy Through Modulation of the xCT-GSH-GPX4 and AMPK-ACC-ACSL4 Pathways.

本文引用的文献

1
Inhibition of ATP-citrate lyase improves NASH, liver fibrosis, and dyslipidemia.抑制三磷酸腺苷-柠檬酸裂解酶可改善 NASH、肝纤维化和血脂异常。
Cell Metab. 2022 Jun 7;34(6):919-936.e8. doi: 10.1016/j.cmet.2022.05.004.
2
Extricating human tumour immune alterations from tissue inflammation.从组织炎症中提取人类肿瘤免疫改变。
Nature. 2022 May;605(7911):728-735. doi: 10.1038/s41586-022-04718-w. Epub 2022 May 11.
3
Adipose-tissue plasticity in health and disease.健康与疾病中的脂肪组织可塑性。
牛磺酸通过调节xCT-GSH-GPX4和AMPK-ACC-ACSL4信号通路减轻废用性肌肉萎缩。
Antioxidants (Basel). 2025 Jul 10;14(7):847. doi: 10.3390/antiox14070847.
4
Muscle-specific AXIN1 and AXIN2 double knockout does not alter AMPK/mTORC1 signalling or glucose metabolism.肌肉特异性AXIN1和AXIN2双敲除不会改变AMPK/mTORC1信号通路或葡萄糖代谢。
J Physiol. 2025 Jul;603(14):3961-3971. doi: 10.1113/JP288854. Epub 2025 Jun 30.
5
Aldolase-regulated G3BP1/2 condensates control insulin mRNA storage in beta cells.醛缩酶调节的G3BP1/2凝聚物控制β细胞中胰岛素mRNA的储存。
EMBO J. 2025 May 12. doi: 10.1038/s44318-025-00448-7.
6
Calorie restriction plugs lithocholic bile acid into the lysosomal AMPK pathway.热量限制将石胆酸导入溶酶体AMPK途径。
Life Metab. 2025 Feb 11;4(2):loaf005. doi: 10.1093/lifemeta/loaf005. eCollection 2025 Apr.
7
Graphene-Based Far-Infrared Therapy Promotes Adipose Tissue Thermogenesis and UCP1 Activation to Combat Obesity in Mice.基于石墨烯的远红外疗法促进小鼠脂肪组织产热和UCP1激活以对抗肥胖
Int J Mol Sci. 2025 Feb 28;26(5):2225. doi: 10.3390/ijms26052225.
8
Methods to Determine Lysosomal AMPK Activation.确定溶酶体 AMPK 激活的方法。
Methods Mol Biol. 2025;2882:105-119. doi: 10.1007/978-1-0716-4284-9_5.
9
Fructose-induced progression of steatohepatitis involves disrupting aldolase B-AMPK signaling in methionine adenosyltransferase 1A deficient mice.在蛋氨酸腺苷转移酶1A缺陷小鼠中,果糖诱导的脂肪性肝炎进展涉及破坏醛缩酶B-AMPK信号通路。
Metabolism. 2025 Apr;165:156154. doi: 10.1016/j.metabol.2025.156154. Epub 2025 Feb 6.
10
Inhibiting lysosomal aldolase: a magic bullet for AMPK activation in treating metabolic disease?抑制溶酶体醛缩酶:治疗代谢性疾病中激活AMPK的神奇疗法?
Life Metab. 2022 Oct 10;1(3):209-210. doi: 10.1093/lifemeta/loac027. eCollection 2022 Dec.
Cell. 2022 Feb 3;185(3):419-446. doi: 10.1016/j.cell.2021.12.016.
4
Noninvasive Dual-Modality Photoacoustic-Ultrasonic Imaging to Detect Mammalian Embryo Abnormalities after Prenatal Exposure to Methylmercury Chloride (MMC): A Mouse Study.非侵入性双模态光声-超声成像检测甲基汞氯(MMC)产前暴露后哺乳动物胚胎异常:一项小鼠研究。
Environ Health Perspect. 2022 Feb;130(2):27002. doi: 10.1289/EHP8907. Epub 2022 Feb 2.
5
Pharmacodynamic effects of direct AMP kinase activation in humans with insulin resistance and non-alcoholic fatty liver disease: A phase 1b study.在胰岛素抵抗和非酒精性脂肪性肝病患者中直接激活 AMP 激酶的药效学作用:一项 1b 期研究。
Cell Rep Med. 2021 Dec 21;2(12):100474. doi: 10.1016/j.xcrm.2021.100474.
6
Efficacy and safety of PXL770, a direct AMP kinase activator, for the treatment of non-alcoholic fatty liver disease (STAMP-NAFLD): a randomised, double-blind, placebo-controlled, phase 2a study.直接激活 AMP 激酶的 PXL770 治疗非酒精性脂肪性肝病(STAMP-NAFLD)的疗效和安全性:一项随机、双盲、安慰剂对照、2a 期研究。
Lancet Gastroenterol Hepatol. 2021 Nov;6(11):889-902. doi: 10.1016/S2468-1253(21)00300-9. Epub 2021 Sep 22.
7
An updated guide for the perplexed: cytometry in the high-dimensional era.《困惑者最新指南:高维时代的细胞计数法》
Nat Immunol. 2021 Oct;22(10):1190-1197. doi: 10.1038/s41590-021-01006-z.
8
Saturated very long chain fatty acid configures glycosphingolipid for lysosome homeostasis in long-lived C. elegans.饱和超长链脂肪酸为长寿秀丽隐杆线虫溶酶体的稳态配置糖鞘脂。
Nat Commun. 2021 Aug 20;12(1):5073. doi: 10.1038/s41467-021-25398-6.
9
The memory of neuronal mitochondrial stress is inherited transgenerationally via elevated mitochondrial DNA levels.神经元线粒体应激的记忆通过升高的线粒体 DNA 水平跨代遗传。
Nat Cell Biol. 2021 Aug;23(8):870-880. doi: 10.1038/s41556-021-00724-8. Epub 2021 Aug 2.
10
Loss of metabolic plasticity underlies metformin toxicity in aged Caenorhabditis elegans.衰老的秀丽隐杆线虫中,代谢灵活性的丧失是二甲双胍毒性的基础。
Nat Metab. 2020 Nov;2(11):1316-1331. doi: 10.1038/s42255-020-00307-1. Epub 2020 Nov 2.