Suppr超能文献

B6C3F1小鼠两小时甲基异氰酸盐吸入及90天恢复研究。

Two-hour methyl isocyanate inhalation and 90-day recovery study in B6C3F1 mice.

作者信息

Boorman G A, Uraih L C, Gupta B N, Bucher J R

出版信息

Environ Health Perspect. 1987 Jun;72:63-9. doi: 10.1289/ehp.877263.

Abstract

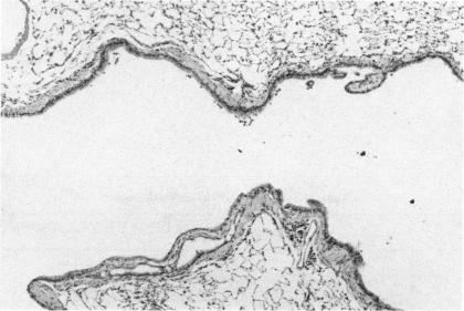
B6C3F1 mice were exposed by inhalation to 0, 3, 10, and 30 ppm methyl isocyanate for 2 hr followed by a 90-day recovery period. Sixteen of eighty (20%) male mice in the 30 ppm group died following exposure. There were no other unscheduled deaths in the mice. Five mice/sex/group were examined at 2 hr or at 1, 3, 7, 14, 28, 49, or 91 days following exposure. Chemical-related changes were restricted to the respiratory system. At 30 ppm there were extensive necrosis and erosion of the respiratory and olfactory epithelium in the nasal cavity. Severe necrosis and epithelial erosion were also found in the trachea and main bronchi. Regeneration of the mucosal epithelium occurred rapidly in the nasal cavity and airways. In the turbinates, mild incomplete olfactory epithelial regeneration persisted to day 91 in the male mice. Intraluminal fibrotic projections covered by respiratory epithelium and bronchial fibrosis were found in the major airways of the 30 ppm male and female mice by day 7. The intraluminal fibrosis persisted to day 91. In males with severe bronchial fibrosis, chronic alveolitis and atelectasis were found. In mice exposed to 3 or 10 ppm, persistent pulmonary changes were not found. These studies indicate that methyl isocyanate inhalation at or near lethal concentrations can cause persistent fibrosis of the major bronchi in mice.

摘要

将B6C3F1小鼠通过吸入方式暴露于浓度为0、3、10和30 ppm的异氰酸甲酯中2小时,随后进行90天的恢复期。在30 ppm组的80只雄性小鼠中有16只(20%)在暴露后死亡。小鼠中未出现其他意外死亡情况。在暴露后2小时或1、3、7、14、28、49或91天,对每组5只/性别小鼠进行检查。与化学物质相关的变化仅限于呼吸系统。在30 ppm时,鼻腔内的呼吸和嗅觉上皮出现广泛坏死和糜烂。气管和主支气管也发现了严重坏死和上皮糜烂。鼻腔和气道内的黏膜上皮迅速再生。在鼻甲中,雄性小鼠的轻度不完全嗅觉上皮再生持续到第91天。到第7天时,在30 ppm的雄性和雌性小鼠的主要气道中发现了被呼吸上皮覆盖的腔内纤维化突起和支气管纤维化。腔内纤维化持续到第91天。在患有严重支气管纤维化的雄性小鼠中,发现了慢性肺泡炎和肺不张。在暴露于3或10 ppm的小鼠中,未发现持续性肺部变化。这些研究表明,吸入接近或达到致死浓度的异氰酸甲酯可导致小鼠主要支气管的持续性纤维化。

https://cdn.ncbi.nlm.nih.gov/pmc/blobs/40bf/1474648/f9f6cd4a9c41/envhper00431-0065-a.jpg

文献检索

告别复杂PubMed语法,用中文像聊天一样搜索,搜遍4000万医学文献。AI智能推荐,让科研检索更轻松。

立即免费搜索

文件翻译

保留排版,准确专业,支持PDF/Word/PPT等文件格式,支持 12+语言互译。

免费翻译文档

深度研究

AI帮你快速写综述,25分钟生成高质量综述,智能提取关键信息,辅助科研写作。

立即免费体验