Suppr超能文献

缺氧性脑损伤中胼胝体的微出血

Microbleeds in the Corpus Callosum in Anoxic Brain Injury.

作者信息

Kim Chang Su, Park Dong Woo, Kim Tae Yoon, Lee Young-Jun, Lee Ji Young

出版信息

Taehan Yongsang Uihakhoe Chi. 2020 Sep;81(5):1184-1193. doi: 10.3348/jksr.2019.0113. Epub 2020 Aug 3.

Abstract

PURPOSE

This study was performed to evaluate the relationship between callosal microbleeds and anoxic brain injury.

MATERIALS AND METHODS

Twenty-seven patients with anoxic brain injuries were analyzed and retrospectively compared to the control group of patients without a history of anoxic brain injury using Fisher's exact test regarding comorbidities and cerebral microbleeds. The patient group was subdivided according to the presence of callosal microbleeds. Fisher's exact test was used to compare the presence of typical MRI findings of anoxic brain injury, use of cardiopulmonary resuscitation, and prognosis. The Mann-Whitney U test was used to compare the interval between the occurrence of anoxic brain injury to MRI acquisition.

RESULTS

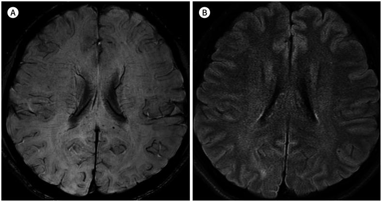
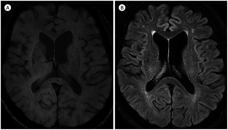
The prevalence of cerebral microbleeds in the patient group was 29.6%, which was significantly higher than that in the control group at 3.7% ( = 0.012). All cerebral microbleeds in the patient group were in the corpus callosum. Compared with the callosal microbleed-absent group, the callosal microbleed-present group showed a tendency of good prognosis (6/8 vs. 11/19), fewer typical MRI findings of anoxic brain injury (2/8 vs. 10/19), and more cardiopulmonary resuscitation (6/8 vs. 12/19), although these differences did not reach statistical significance ( = 0.35, = 0.19, and = 0.45, respectively).

CONCLUSION

Callosal microbleeds may be an adjunctive MRI marker for anoxic brain injury.

摘要

目的

本研究旨在评估胼胝体微出血与缺氧性脑损伤之间的关系。

材料与方法

对27例缺氧性脑损伤患者进行分析,并使用Fisher精确检验,就合并症和脑微出血情况,与无缺氧性脑损伤病史的对照组患者进行回顾性比较。根据胼胝体微出血的有无将患者组进行细分。使用Fisher精确检验比较缺氧性脑损伤典型MRI表现的出现情况、心肺复苏的使用情况及预后。使用Mann-Whitney U检验比较缺氧性脑损伤发生至MRI检查的时间间隔。

结果

患者组脑微出血的患病率为29.6%,显著高于对照组的3.7%(P = 0.012)。患者组所有脑微出血均位于胼胝体。与无胼胝体微出血组相比,有胼胝体微出血组显示出预后良好的趋势(6/8 vs. 11/19)、缺氧性脑损伤典型MRI表现较少(2/8 vs. 10/19)以及心肺复苏较多(6/8 vs. 12/19),尽管这些差异未达到统计学意义(分别为P = 0.35、P = 0.19和P = 0.45)。

结论

胼胝体微出血可能是缺氧性脑损伤的一种辅助MRI标志物。

https://cdn.ncbi.nlm.nih.gov/pmc/blobs/867b/9431861/8f6dedf9cd65/jksr-81-1184-g001.jpg

文献AI研究员

20分钟写一篇综述,助力文献阅读效率提升50倍。

立即体验

用中文搜PubMed

大模型驱动的PubMed中文搜索引擎

马上搜索

文档翻译

学术文献翻译模型,支持多种主流文档格式。

立即体验