• 文献检索
  • 文档翻译
  • 深度研究
  • 学术资讯
  • Suppr Zotero 插件Zotero 插件
  • 邀请有礼
  • 套餐&价格
  • 历史记录
应用&插件
Suppr Zotero 插件Zotero 插件浏览器插件Mac 客户端Windows 客户端微信小程序
定价
高级版会员购买积分包购买API积分包
服务
文献检索文档翻译深度研究API 文档MCP 服务
关于我们
关于 Suppr公司介绍联系我们用户协议隐私条款
关注我们

Suppr 超能文献

核心技术专利:CN118964589B侵权必究
粤ICP备2023148730 号-1Suppr @ 2026

文献检索

告别复杂PubMed语法,用中文像聊天一样搜索,搜遍4000万医学文献。AI智能推荐,让科研检索更轻松。

立即免费搜索

文件翻译

保留排版,准确专业,支持PDF/Word/PPT等文件格式,支持 12+语言互译。

免费翻译文档

深度研究

AI帮你快速写综述,25分钟生成高质量综述,智能提取关键信息,辅助科研写作。

立即免费体验

转移性肺成釉细胞瘤经皮经胸针吸活检后的肿瘤种植

Tumor Seeding after Percutaneous Transthoracic Needle Biopsy of Metastatic Pulmonary Ameloblastoma.

作者信息

Park Hye Mi, Kim Yun Hyeon, Lim Hyo Soon, Ki So Yeon, Lee Hyo-Jae, Lee Jong Eun, Jeong Won Gi

出版信息

Taehan Yongsang Uihakhoe Chi. 2021 Jul;82(4):1000-1004. doi: 10.3348/jksr.2020.0162. Epub 2021 May 20.

DOI:10.3348/jksr.2020.0162
PMID:36238069
原文链接:https://pmc.ncbi.nlm.nih.gov/articles/PMC9514395/
Abstract

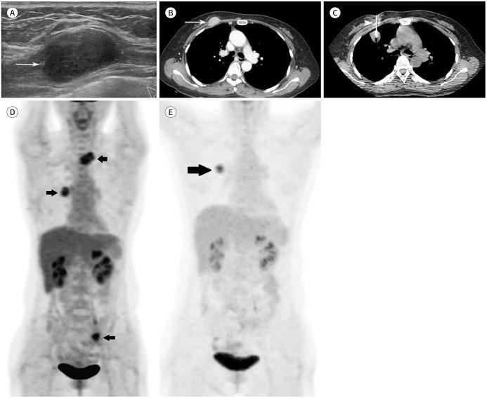
Percutaneous transthoracic needle biopsy (PTNB) is a minimally-invasive procedure that is an indispensable tool for evaluating pulmonary lesions. Though extremely rare, tumor seeding of the pleura and chest wall can occur as a complication. Given that the breast is located anterior to the thorax, needle tracking through the breast is inevitable when PTNB is performed using the anterior approach. We describe tumor seeding of metastatic pulmonary ameloblastoma in the pectoralis muscle layer of the breast along the needle track of PTNB in a 51-year-old female presenting with a palpable lump in the right breast.

摘要

经皮经胸针吸活检(PTNB)是一种微创手术,是评估肺部病变不可或缺的工具。虽然极为罕见,但胸膜和胸壁的肿瘤种植可作为一种并发症发生。鉴于乳房位于胸部前方,当采用前入路进行PTNB时,针道穿过乳房是不可避免的。我们描述了一名51岁女性,因右乳可触及肿块就诊,在经皮经胸针吸活检针道的乳房胸肌层出现转移性肺成釉细胞瘤的肿瘤种植。

https://cdn.ncbi.nlm.nih.gov/pmc/blobs/3c59/9514395/6e17c686a5d4/jksr-82-1000-g001.jpg
https://cdn.ncbi.nlm.nih.gov/pmc/blobs/3c59/9514395/6e17c686a5d4/jksr-82-1000-g001.jpg
https://cdn.ncbi.nlm.nih.gov/pmc/blobs/3c59/9514395/6e17c686a5d4/jksr-82-1000-g001.jpg

相似文献

1
Tumor Seeding after Percutaneous Transthoracic Needle Biopsy of Metastatic Pulmonary Ameloblastoma.转移性肺成釉细胞瘤经皮经胸针吸活检后的肿瘤种植
Taehan Yongsang Uihakhoe Chi. 2021 Jul;82(4):1000-1004. doi: 10.3348/jksr.2020.0162. Epub 2021 May 20.
2
Hematoma-Filled Pneumatocele after CT-Guided Percutaneous Transthoracic Needle Lung Biopsy: Two Case Reports.CT引导下经皮经胸针吸肺活检术后血肿填充性肺气囊:两例报告
J Korean Soc Radiol. 2023 Jan;84(1):311-317. doi: 10.3348/jksr.2022.0093. Epub 2023 Jan 30.
3
Clinical role, safety and diagnostic accuracy of percutaneous transthoracic needle biopsy in the evaluation of pulmonary consolidation.经皮经胸肺实变穿刺活检的临床作用、安全性和诊断准确性评估。
Respir Res. 2019 Jan 31;20(1):23. doi: 10.1186/s12931-019-0982-5.
4
Risk of pleural recurrence after percutaneous transthoracic needle biopsy in stage I non-small-cell lung cancer.Ⅰ期非小细胞肺癌经皮经胸穿刺活检后的胸膜复发风险。
Eur Radiol. 2019 Jan;29(1):270-278. doi: 10.1007/s00330-018-5561-5. Epub 2018 Jun 15.
5
Accuracy and complications of percutaneous transthoracic needle lung biopsy for the diagnosis of malignancy in patients with idiopathic pulmonary fibrosis.经皮穿刺经胸肺活检对特发性肺纤维化患者恶性肿瘤诊断的准确性和并发症。
Eur Radiol. 2021 Dec;31(12):9000-9011. doi: 10.1007/s00330-021-08038-x. Epub 2021 May 18.
6
Preoperative percutaneous needle lung biopsy techniques and ipsilateral pleural recurrence in stage I lung cancer.I期肺癌的术前经皮肺穿刺活检技术与同侧胸膜复发
Eur Radiol. 2022 Apr;32(4):2683-2692. doi: 10.1007/s00330-021-08359-x. Epub 2022 Jan 10.
7
Feasibility and accuracy of CT-guided percutaneous needle biopsy of cavitary pulmonary lesions.CT 引导经皮穿刺活检空洞性肺部病变的可行性和准确性。
Diagn Interv Radiol. 2019 Nov;25(6):435-441. doi: 10.5152/dir.2019.18061.
8
CT-guided percutaneous transthoracic needle biopsy for paramediastinal and nonparamediastinal lung lesions: Diagnostic yield and complications in 1484 patients.CT引导下经皮经胸针吸活检术用于纵隔旁和非纵隔肺病变:1484例患者的诊断率及并发症
Medicine (Baltimore). 2016 Aug;95(31):e4460. doi: 10.1097/MD.0000000000004460.
9
[A case of pulmonary metastasis from carcinosarcoma of uterus with subcutaneous implantation of tumor cells along the needle tract after percutaneous needle biopsy of lung].[1例子宫癌肉瘤肺转移患者经皮肺穿刺活检后针道出现肿瘤细胞皮下种植]
Nihon Kyobu Shikkan Gakkai Zasshi. 1992 Jul;30(7):1333-7.
10
Lung cancer implantation in the chest wall following percutaneous fine needle aspiration biopsy.经皮细针穿刺活检后肺癌种植于胸壁
Jpn J Clin Oncol. 2000 Oct;30(10):450-2. doi: 10.1093/jjco/hyd120.

引用本文的文献

1
Cerebral Air Embolism: A Case of a Rare Transthoracic Needle Biopsy Complication.脑空气栓塞:一例罕见的经胸针吸活检并发症
Cureus. 2023 Feb 20;15(2):e35203. doi: 10.7759/cureus.35203. eCollection 2023 Feb.

本文引用的文献

1
Metastatic pulmonary ameloblastoma misdiagnosed as primary squamous cell carcinoma preoperatively.术前被误诊为原发性鳞状细胞癌的转移性肺成釉细胞瘤。
Korean J Thorac Cardiovasc Surg. 2014 Feb;47(1):63-5. doi: 10.5090/kjtcs.2014.47.1.63. Epub 2014 Feb 5.
2
Percutaneous lung biopsy: technique, efficacy, and complications.经皮肺活检:技术、疗效及并发症
Semin Intervent Radiol. 2013 Jun;30(2):121-7. doi: 10.1055/s-0033-1342952.
3
Complications of CT-guided percutaneous needle biopsy of the chest: prevention and management.
CT 引导下经皮胸部穿刺活检的并发症:预防与处理。
AJR Am J Roentgenol. 2011 Jun;196(6):W678-82. doi: 10.2214/AJR.10.4659.
4
CT-guided percutaneous needle biopsy of the chest: preprocedural evaluation and technique.CT引导下胸部经皮穿刺针活检:术前评估与技术
AJR Am J Roentgenol. 2011 May;196(5):W511-4. doi: 10.2214/AJR.10.4657.
5
Metastasizing (malignant) ameloblastoma: review of a unique histopathologic entity and report of Mayo Clinic experience.转移性(恶性)成釉细胞瘤:一种独特组织病理学实体的综述及梅奥诊所经验报告
J Oral Maxillofac Surg. 2010 Dec;68(12):2962-74. doi: 10.1016/j.joms.2010.05.084. Epub 2010 Oct 23.
6
Variables affecting the risk of pneumothorax and intrapulmonal hemorrhage in CT-guided transthoracic biopsy.影响CT引导下经胸壁活检气胸和肺内出血风险的因素。
Eur Radiol. 2008 Jul;18(7):1356-63. doi: 10.1007/s00330-008-0893-1. Epub 2008 Mar 20.
7
CT-guided needle biopsy of lung lesions: a survey of severe complication based on 9783 biopsies in Japan.CT引导下肺病变穿刺活检:基于日本9783例活检的严重并发症调查。
Eur J Radiol. 2006 Jul;59(1):60-4. doi: 10.1016/j.ejrad.2006.02.001. Epub 2006 Mar 10.
8
Risk factors of pneumothorax and bleeding: multivariate analysis of 660 CT-guided coaxial cutting needle lung biopsies.气胸和出血的危险因素:660例CT引导下同轴切割针肺活检的多因素分析
Chest. 2004 Sep;126(3):748-54. doi: 10.1378/chest.126.3.748.
9
Needle-track metastasis after transthoracic needle biopsy.经胸针吸活检术后针道转移
J Thorac Imaging. 1998 Jan;13(1):2-6. doi: 10.1097/00005382-199801000-00002.