Suppr超能文献

通过整合网络药理学和实验验证来解读[药物名称]治疗类风湿性关节炎的药理机制。 由于原文“against rheumatoid arthritis by integrating network pharmacology and experimental validation.”前似乎缺失关键药物信息,以上译文根据补充完整关键信息后的情况给出,如果原文就是这样没有关键药物等缺失词的情况,则只能勉强理解为“通过整合网络药理学和实验验证来解读对抗类风湿性关节炎的药理机制” 。

Deciphering the pharmacological mechanisms of against rheumatoid arthritis by integrating network pharmacology and experimental validation.

作者信息

Sun Mengjia, Zhao Haijun, Liu Yuecheng, Ma Yanni, Tian Zhenhua, Wang Huanjun, Wei Sheng, Guo Qingmei, Gu Zhengwei, Jiang Haiqiang

机构信息

School of Pharmaceutical Sciences Shandong University of Traditional Chinese Medicine Jinan China.

School of Traditional Chinese Medicine Shandong University of Traditional Chinese Medicine Jinan China.

出版信息

Food Sci Nutr. 2022 Jul 7;10(10):3380-3394. doi: 10.1002/fsn3.2938. eCollection 2022 Oct.

Abstract

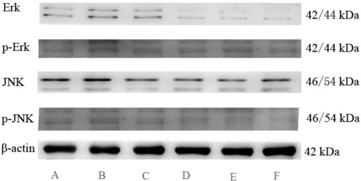
is a plant that can be used for both food and medicine. Modern studies have shown that has anti-inflammatory and immunosuppressive effects on arthritis. However, the mechanism of action of on rheumatoid arthritis (RA) and its main active ingredients are still unclear. This study was aimed at devising an integrated strategy for investigating the bioactivity constituents and possible pharmacological mechanisms of against RA. The components of were analyzed using UPLC-Q-Exactive orbitrap MS techniques and applied to screen the active components of according to their oral bioavailability and drug-likeness index. Then, we speculated on the potential molecular mechanisms of against RA through a network pharmacology analysis. Finally, the potential molecular mechanisms of against RA were validated in a complete Freund's adjuvant (CFA)-induced RA rat model. We identified 48 components in and screened seven bioactive ingredients. The results of the network pharmacology prediction and the experimental verification results were analyzed by Venn analysis, and the experimental results concluded that mainly interferes with the inflammation of RA by inhibiting arachidonic acid metabolism and the MAPK signaling pathway. This study identified the ingredients of by UPLC-Q-Exactive orbitrap MS and explained the possible mechanisms of against RA by integrating network pharmacology and experimental validation.

摘要

是一种可用于食品和医药的植物。现代研究表明,其对关节炎具有抗炎和免疫抑制作用。然而,其对类风湿关节炎(RA)的作用机制及其主要活性成分仍不清楚。本研究旨在设计一种综合策略,以研究其抗RA的生物活性成分及可能的药理机制。采用超高效液相色谱-四极杆-静电场轨道阱质谱技术分析其成分,并根据口服生物利用度和类药性指数筛选其活性成分。然后,通过网络药理学分析推测其抗RA的潜在分子机制。最后,在完全弗氏佐剂(CFA)诱导的RA大鼠模型中验证其抗RA的潜在分子机制。我们鉴定出其中48种成分,并筛选出7种生物活性成分。通过维恩分析对网络药理学预测结果和实验验证结果进行分析,实验结果表明其主要通过抑制花生四烯酸代谢和丝裂原活化蛋白激酶信号通路来干扰RA的炎症反应。本研究通过超高效液相色谱-四极杆-静电场轨道阱质谱鉴定了其成分,并通过整合网络药理学和实验验证解释了其抗RA的可能机制。

https://cdn.ncbi.nlm.nih.gov/pmc/blobs/dd7e/9548373/ccb7f8ef87cf/FSN3-10-3380-g005.jpg

文献AI研究员

20分钟写一篇综述,助力文献阅读效率提升50倍。

立即体验

用中文搜PubMed

大模型驱动的PubMed中文搜索引擎

马上搜索

文档翻译

学术文献翻译模型,支持多种主流文档格式。

立即体验