Jiangsu Key Laboratory of Neurodegeneration, Department of Pharmacology, Nanjing Medical University, Nanjing, Jiangsu, China.
Department of Radiation Oncology, Qingdao Central Hospital, Qingdao, Shandong, China.
Cancer Immunol Res. 2022 Dec 2;10(12):1542-1558. doi: 10.1158/2326-6066.CIR-22-0197.
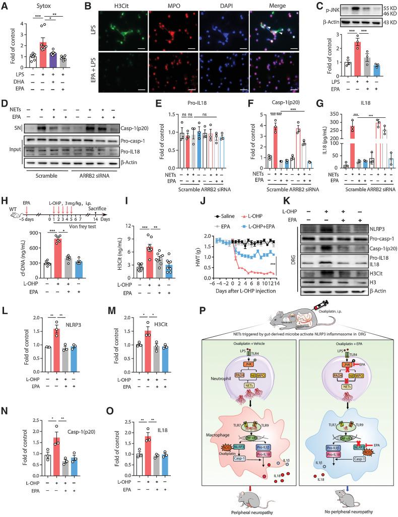
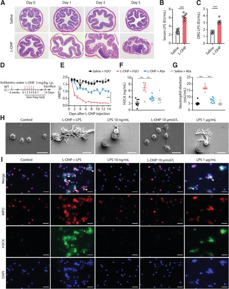
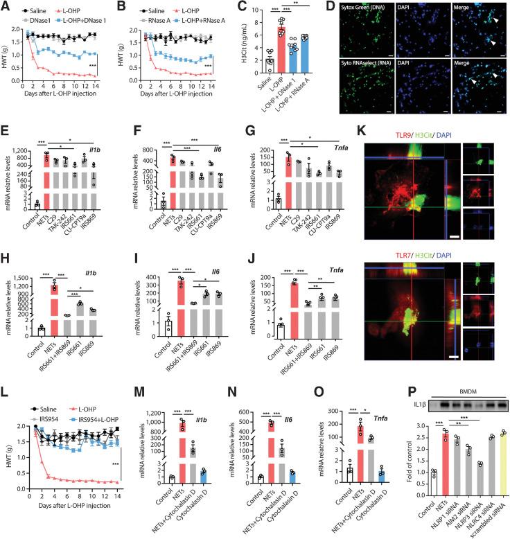
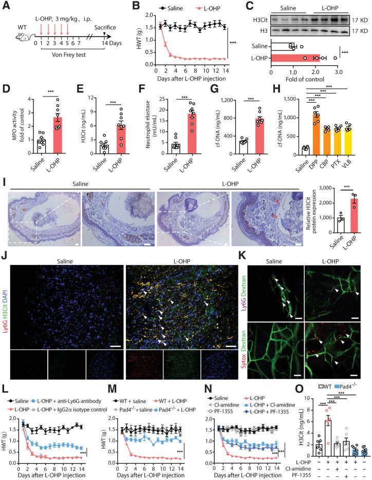
Oxaliplatin is an antineoplastic agent frequently used in the treatment of gastrointestinal tumors. However, it causes dose-limiting sensorimotor neuropathy, referred to as oxaliplatin-induced peripheral neuropathy (OIPN), for which there is no effective treatment. Here, we report that the elevation of neutrophil extracellular traps (NET) is a pathologic change common to both cancer patients treated with oxaliplatin and a murine model of OIPN. Mechanistically, we found that NETs trigger NLR family pyrin domain containing 3 (NLRP3) inflammasome activation and the subsequent release of IL18 by macrophages, resulting in mechanical hyperalgesia. In NLRP3-deficient mice, the mechanical hyperalgesia characteristic of OIPN in our model was reduced. In addition, in the murine model, treatment with the IL18 decoy receptor IL18BP prevented the development of OIPN. We further showed that eicosapentaenoic acid (EPA) reduced NET formation by suppressing the LPS-TLR4-JNK pathway and thereby abolished NLRP3 inflammasome activation and the subsequent secretion of IL18, which markedly prevented oxaliplatin-induced mechanical hyperalgesia in mice. These results identify a role for NET-triggered NLRP3 activation and IL18 release in the development of OIPN and suggest that utilizing IL18BP and EPA could be effective treatments for OIPN.
奥沙利铂是一种常用于治疗胃肠道肿瘤的抗肿瘤药物。然而,它会引起剂量限制的感觉运动神经病,称为奥沙利铂诱导的周围神经病(OIPN),目前尚无有效的治疗方法。在这里,我们报告中性粒细胞胞外诱捕网(NET)的升高是接受奥沙利铂治疗的癌症患者和 OIPN 小鼠模型共有的病理变化。从机制上讲,我们发现 NET 触发 NLR 家族包含 pyrin 域的 3(NLRP3)炎性小体的激活,随后巨噬细胞释放 IL18,导致机械性痛觉过敏。在 NLRP3 缺陷型小鼠中,我们模型中 OIPN 的机械性痛觉过敏特征减少。此外,在小鼠模型中,IL18 诱饵受体 IL18BP 的治疗可预防 OIPN 的发生。我们进一步表明,二十碳五烯酸(EPA)通过抑制 LPS-TLR4-JNK 途径减少 NET 的形成,从而消除 NLRP3 炎性小体的激活和随后的 IL18 分泌,这显著预防了奥沙利铂诱导的小鼠机械性痛觉过敏。这些结果表明 NET 触发的 NLRP3 激活和 IL18 释放在 OIPN 的发展中起作用,并表明利用 IL18BP 和 EPA 可能是 OIPN 的有效治疗方法。