Department of Neurosurgery, Shengjing Hospital of China Medical University, Shenyang, Liaoning, China.
Department of Neurosurgery, The First Hospital of China Medical University, Shenyang, Liaoning, China.
JCI Insight. 2022 Dec 8;7(23):e156485. doi: 10.1172/jci.insight.156485.
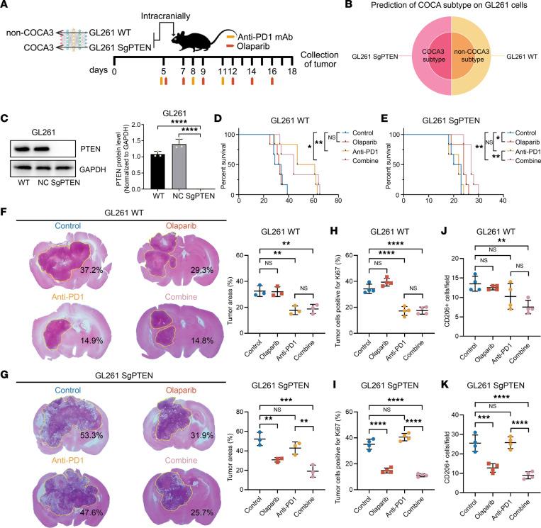
Tumor protein 53 mutation (TP53mut) is one of the most important driver events facilitating tumorigenesis, which could induce a series of chain reactions to promote tumor malignant transformation. However, the malignancy progression patterns under TP53 mutation remain less known. Clarifying the molecular landscapes of TP53mut tumors will help us understand the process of tumor development and aid precise treatment. Here, we distilled genetic and epigenetic features altered in TP53mut cancers for cluster-of-clusters analysis. Using integrated classification, we derived 5 different subtypes of TP53mut patients. These subtypes have distinct features in genomic alteration, clinical relevance, microenvironment dysregulation, and potential therapeutics. Among the 5 subtypes, COCA3 was identified as the subtype with worst prognosis, causing an immunosuppressive microenvironment and immunotherapeutic resistance. Further drug efficacy research highlighted olaparib as the most promising therapeutic agents for COCA3 tumors. Importantly, the therapeutic efficacy of olaparib in COCA3 and immunotherapy in non-COCA3 tumors was validated via in vivo experimentation. Our study explored the important molecular events and developed a subtype classification system with distinct targeted therapy strategies for different subtypes of TP53mut tumors. These multiomics classification systems provide a valuable resource that significantly expands the knowledge of TP53mut tumors and may eventually benefit in clinical practice.
肿瘤蛋白 53 突变(TP53mut)是促进肿瘤发生的最重要驱动事件之一,它可以诱导一系列连锁反应,促进肿瘤恶性转化。然而,TP53 突变下的恶性进展模式知之甚少。阐明 TP53mut 肿瘤的分子图谱将有助于我们了解肿瘤发展的过程,并有助于精确治疗。在这里,我们对 TP53mut 癌症中改变的遗传和表观遗传特征进行了聚类分析。通过综合分类,我们得出了 5 种不同的 TP53mut 患者亚型。这些亚型在基因组改变、临床相关性、微环境失调和潜在治疗方面具有不同的特征。在这 5 种亚型中,COCA3 被确定为预后最差的亚型,导致免疫抑制性微环境和免疫治疗抵抗。进一步的药物疗效研究强调奥拉帕利是 COCA3 肿瘤最有前途的治疗药物。重要的是,通过体内实验验证了奥拉帕利在 COCA3 中的治疗效果和非 COCA3 肿瘤中的免疫治疗效果。我们的研究探讨了重要的分子事件,并为不同亚型的 TP53mut 肿瘤开发了具有独特靶向治疗策略的亚型分类系统。这些多组学分类系统提供了宝贵的资源,极大地扩展了对 TP53mut 肿瘤的认识,最终可能有益于临床实践。