Suppr超能文献

与卵巢黏液性肿瘤相关的肉瘤样结节:两例报告

Sarcomatous Nodules Associated with Mucinous Neoplasms of Ovary: A Report of Two Cases.

作者信息

Kaur Navpreet, Chaudhary Dimple, Singh Vishal, Mallya Varuna, Khurana Nita, Sachdeva Poonam, Mala Y M

机构信息

Department of Pathology, Maulana Azad Medical College, New Delhi, India.

Department of Obstetrics and Gynecology, LNJP Hospital, New Delhi, India.

出版信息

J Midlife Health. 2022 Apr-Jun;13(2):190-192. doi: 10.4103/jmh.JMH_77_19. Epub 2022 Sep 16.

Abstract

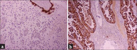
Ovarian mucinous neoplasms (benign/borderline/malignant), one of the common surface epithelial tumours of ovary, at times can be associated with mural nodules. These mural nodules can either be sarcomatous, sarcoma like or anaplastic carcinomatous. The nodules can be single or multiple and appear solid, white to brown in color. Sarcomatous nodules tend to occur in older patients and microscopically are poorly circumscribed, comprising of a population of pleomorphic spindled cells. Two cases of sarcomatous nodules associated with ovarian mucinous neoplasm are being presented here.

摘要

卵巢黏液性肿瘤(良性/交界性/恶性)是卵巢常见的表面上皮性肿瘤之一,有时可伴有壁结节。这些壁结节可以是肉瘤性、肉瘤样或间变性癌性的。结节可以是单个或多个,呈实性,颜色从白色到棕色。肉瘤性结节倾向于发生在老年患者中,显微镜下边界不清,由一群多形性梭形细胞组成。本文介绍两例与卵巢黏液性肿瘤相关的肉瘤性结节病例。

https://cdn.ncbi.nlm.nih.gov/pmc/blobs/7fee/9583363/d2578fa10abf/JMH-13-190-g001.jpg

文献AI研究员

20分钟写一篇综述,助力文献阅读效率提升50倍。

立即体验

用中文搜PubMed

大模型驱动的PubMed中文搜索引擎

马上搜索

文档翻译

学术文献翻译模型,支持多种主流文档格式。

立即体验