Suppr超能文献

心脏压塞相关性致密沉积物病:一例病例报告及文献复习

Cardiac Tamponade-Associated Dense Deposit Disease: A Case Report and Review of the Literature.

作者信息

Al Zabali Saeed M, Rubaihan Aljawharah K, Alnetaifat Madawi F, Algonaid Omer, El-Segaier Milad

机构信息

Pediatric Nephrology, King Fahad Medical City, Riyadh, SAU.

College of Medicine, AlMaarefa University, Riyadh, SAU.

出版信息

Cureus. 2022 Sep 18;14(9):e29280. doi: 10.7759/cureus.29280. eCollection 2022 Sep.

Abstract

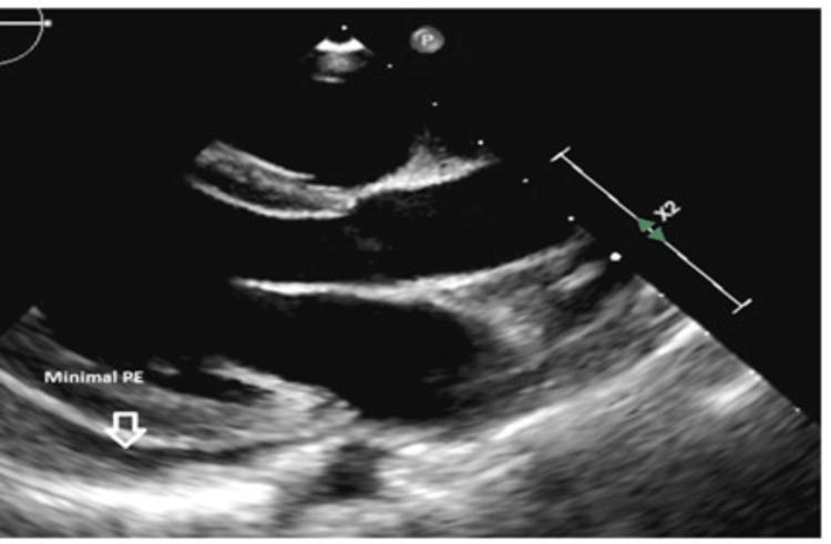
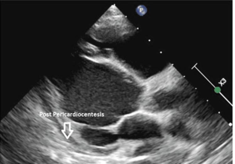
Pericardial effusion is an abnormal accumulation of fluid in the pericardial cavity. It can be associated with various cardiac and non-cardiac disorders. Dense deposit disease (DDD) is a rare kidney disease caused by uncontrolled activation of the alternative complement pathway. We are reporting a seven-year-old male child who was diagnosed to have DDD approved by renal biopsy and presented with shortness of breath, cough, and fever. Chest X-ray displayed cardiomegaly. Thereafter, echocardiography showed massive pericardial effusion and left ventricle compression with a risk for cardiac tamponade. He subsequently underwent pericardiocentesis with the removal of 450 ml of pericardial fluid. The patient's edema was not correlated with the described amount of drained pericardial fluid. To the best of our knowledge, this is the first reported case of significant pericardial effusion carrying the risk of cardiac tamponade associated with DDD. With this report, we would like to highlight the importance of cardiac assessment in patients with DDD, in particular those with nephrotic range proteinuria who present with cardiac symptoms and cardiomegaly.

摘要

心包积液是指心包腔内异常积聚液体。它可能与各种心脏和非心脏疾病相关。致密沉积物病(DDD)是一种由替代补体途径不受控制地激活引起的罕见肾脏疾病。我们报告一名七岁男童,经肾活检确诊为DDD,出现呼吸急促、咳嗽和发热症状。胸部X线显示心脏扩大。此后,超声心动图显示大量心包积液和左心室受压,有心脏压塞风险。他随后接受了心包穿刺术,抽出450毫升心包积液。患者的水肿与所描述的抽出心包积液量无关。据我们所知,这是首例报道的与DDD相关的有心脏压塞风险的大量心包积液病例。通过本报告,我们想强调对DDD患者进行心脏评估的重要性,特别是那些出现心脏症状和心脏扩大的肾病范围蛋白尿患者。

https://cdn.ncbi.nlm.nih.gov/pmc/blobs/b9af/9578658/20c6848f8ae5/cureus-0014-00000029280-i01.jpg

文献AI研究员

20分钟写一篇综述,助力文献阅读效率提升50倍。

立即体验

用中文搜PubMed

大模型驱动的PubMed中文搜索引擎

马上搜索

文档翻译

学术文献翻译模型,支持多种主流文档格式。

立即体验