Suppr超能文献

菊芋作为益生元补充剂对红罗非鱼(罗非鱼属)日粮的影响。

Effects of Jerusalem Artichoke () as a Prebiotic Supplement in the Diet of Red Tilapia ( spp.).

作者信息

Trullàs Clara, Sewaka Mariya, Rodkhum Channarong, Chansue Nantarika, Boonanuntanasarn Surintorn, Kamble Manoj Tukaram, Pirarat Nopadon

机构信息

Wildlife, Exotic and Aquatic Animal Pathology Research Unit, Department of Pathology, Faculty of Veterinary Science, Chulalongkorn University, Bangkok 10330, Thailand.

Faculty of Veterinary Science, Rajamangala University of Technology Srivijaya, Nakhon Si Thammarat 80240, Thailand.

出版信息

Animals (Basel). 2022 Oct 21;12(20):2882. doi: 10.3390/ani12202882.

Abstract

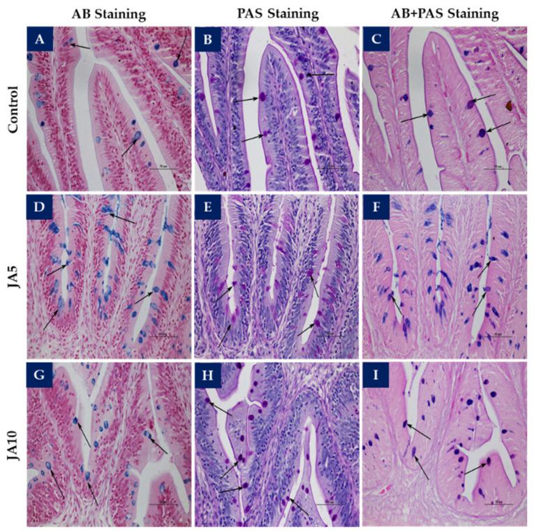
The aim of the present study was to evaluate the effects of a Jerusalem artichoke-supplemented diet on the blood chemistry, growth performance, intestinal morphology, expression of antioxidant-related genes, and disease resistance against Aeromonas veronii challenge in juvenile red tilapia. A completely randomized design (CRD) was followed to feed red tilapias with three experimental diets: control, 5.0 g/kg JA-supplemented (JA5), or 10.0 g/kg JA-supplemented (JA10) diets in triplicates for 4 weeks. The results revealed that the growth performance, weight gain (WG), specific growth rate (SGR), and average daily gain (ADG) of fish fed diets JA5 and JA10 were significantly higher (p < 0.05) than those of fish fed the control diet. Fish fed the control diet had significantly higher T-bilirubin, D-bilirubin, and ALT in blood serum than fish fed JA5 and JA10, as well as higher BUN than fish fed JA5. The number of goblet cells in the proximal and distal parts of the intestine revealed that the number of acid, neutral, and double-staining mucous cells of fish fed diets JA5 and JA10 was significantly higher (p < 0.05) than in fish fed the control diet. The diets including the prebiotic (JA5 and JA10) were associated with a significant increase in the expression of gpx1 and gst antioxidant-related genes and disease resistance against A. veronii in juvenile red tilapia. Therefore, JA5 and JA10 can be employed as promising prebiotics for sustainable red tilapia farming.

摘要

本研究的目的是评估添加菊芋的日粮对幼龄红罗非鱼血液生化指标、生长性能、肠道形态、抗氧化相关基因表达以及抵御维氏气单胞菌攻击的抗病能力的影响。采用完全随机设计(CRD),用三种实验日粮投喂红罗非鱼:对照组、添加5.0 g/kg菊芋的日粮(JA5)或添加10.0 g/kg菊芋的日粮(JA10),每组设三个重复,持续投喂4周。结果显示,投喂JA5和JA10日粮的鱼的生长性能、增重(WG)、特定生长率(SGR)和平均日增重(ADG)显著高于(p < 0.05)投喂对照日粮的鱼。投喂对照日粮的鱼血清中的总胆红素、直接胆红素和谷丙转氨酶显著高于投喂JA5和JA10日粮的鱼,且血尿素氮也高于投喂JA5日粮的鱼。肠道近端和远端杯状细胞的数量显示,投喂JA5和JA10日粮的鱼的酸性、中性和双染黏液细胞数量显著高于(p < 0.05)投喂对照日粮的鱼。含益生元(JA5和JA10)的日粮与幼龄红罗非鱼gpx1和gst抗氧化相关基因的表达显著增加以及对维氏气单胞菌的抗病能力增强有关。因此,JA5和JA10可作为有前景的益生元用于红罗非鱼的可持续养殖。

https://cdn.ncbi.nlm.nih.gov/pmc/blobs/c4a6/9598478/950d76b29f24/animals-12-02882-g001.jpg

文献AI研究员

20分钟写一篇综述,助力文献阅读效率提升50倍。

立即体验

用中文搜PubMed

大模型驱动的PubMed中文搜索引擎

马上搜索

文档翻译

学术文献翻译模型,支持多种主流文档格式。

立即体验