Suppr超能文献

Miro GTPase 结构域调节线粒体运动衔接复合物的组装。

Miro GTPase domains regulate the assembly of the mitochondrial motor-adaptor complex.

机构信息

F. M. Kirby Neurobiology Center, Boston Children's Hospital, Boston, MA, USA.

Division of Medical Sciences, Harvard Medical School, Boston, MA, USA.

出版信息

Life Sci Alliance. 2022 Oct 27;6(1). doi: 10.26508/lsa.202201406. Print 2023 Jan.

Abstract

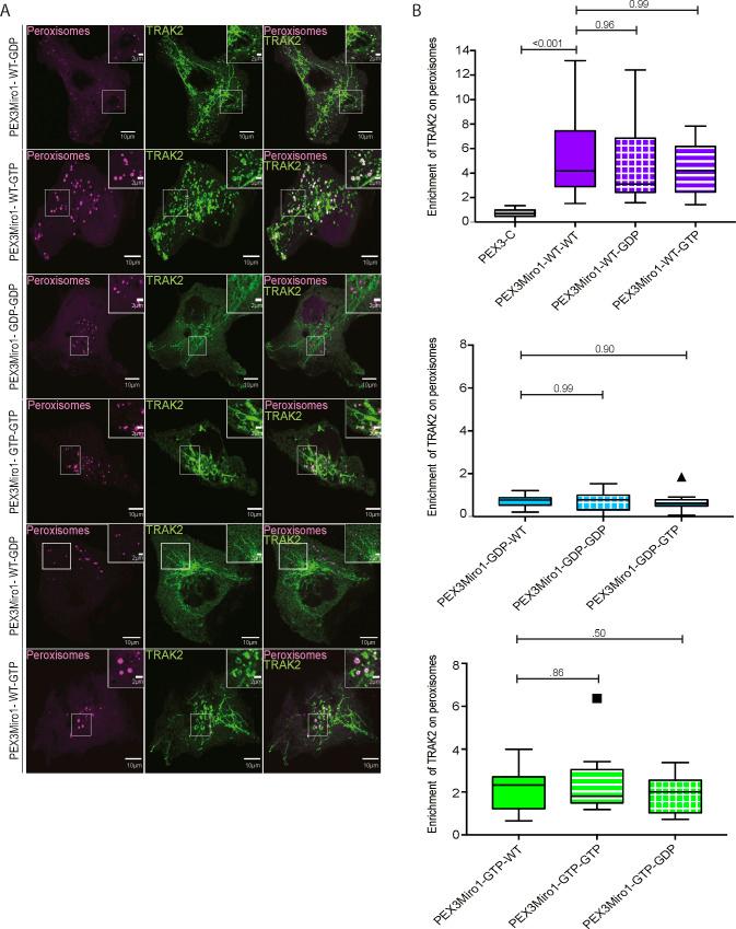
Mitochondrial transport relies on a motor-adaptor complex containing Miro1, a mitochondrial outer membrane protein with two GTPase domains, and TRAK1/2, kinesin-1, and dynein. Using a peroxisome-directed Miro1, we quantified the ability of GTPase mutations to influence the peroxisomal recruitment of complex components. Miro1 whose N-GTPase is locked in the GDP state does not recruit TRAK1/2, kinesin, or P135 to peroxisomes, whereas the GTP state does. Similarly, the expression of the MiroGAP VopE dislodges TRAK1 from mitochondria. Miro1 C-GTPase mutations have little influence on complex recruitment. Although Miro2 is thought to support mitochondrial motility, peroxisome-directed Miro2 did not recruit the other complex components regardless of the state of its GTPase domains. Neurons expressing peroxisomal Miro1 with the GTP-state form of the N-GTPase had markedly increased peroxisomal transport to growth cones, whereas the GDP-state caused their retention in the soma. Thus, the N-GTPase domain of Miro1 is critical for regulating Miro1's interaction with the other components of the motor-adaptor complex and thereby for regulating mitochondrial motility.

摘要

线粒体运输依赖于一种含有 Miro1 的马达衔接复合物,Miro1 是一种具有两个 GTPase 结构域的线粒体外膜蛋白,与 TRAK1/2、驱动蛋白-1(kinesin-1)和动力蛋白(dynein)有关。利用一种过氧化物酶体靶向的 Miro1,我们定量研究了 GTPase 突变对复合物成分招募到过氧化物酶体的影响。N-GTPase 处于 GDP 状态的锁定的 Miro1 无法将 TRAK1/2、驱动蛋白或 P135 招募到过氧化物酶体,而 GTP 状态则可以。同样,MiroGAP VopE 的表达使 TRAK1 从线粒体中脱落。Miro1 C-GTPase 突变对复合物的招募影响不大。尽管认为 Miro2 支持线粒体运动,但过氧化物酶体靶向的 Miro2 无论其 GTPase 结构域的状态如何,都不能招募其他复合物成分。表达具有 N-GTPase 处于 GTP 状态的过氧化物酶体 Miro1 的神经元,其过氧化物酶体向生长锥的转运明显增加,而 GDP 状态则导致它们在体部保留。因此,Miro1 的 N-GTPase 结构域对于调节 Miro1 与马达衔接复合物的其他成分的相互作用至关重要,从而调节线粒体的运动。

https://cdn.ncbi.nlm.nih.gov/pmc/blobs/1981/9615026/eb0be0438c12/LSA-2022-01406_Fig1.jpg

文献AI研究员

20分钟写一篇综述,助力文献阅读效率提升50倍。

立即体验

用中文搜PubMed

大模型驱动的PubMed中文搜索引擎

马上搜索

文档翻译

学术文献翻译模型,支持多种主流文档格式。

立即体验