Suppr超能文献

使用多层螺旋CT测量肾窦脂肪的表面积:与原发性高血压的存在及严重程度和体重指数的相关性

Measurement of the Surface Area of the Renal Sinus Fat Using MDCT: Correlation with Presence and Severity of Essential Hypertension and Body Mass Index.

作者信息

Abdeldayem Emad H, Mansour Mohamed G, Raief Mosaad Basant M

机构信息

Radiology Department, Faculty of Medicine, Ain Shams University, Cairo, EG.

出版信息

J Belg Soc Radiol. 2022 Oct 7;106(1):91. doi: 10.5334/jbsr.2776. eCollection 2022.

Abstract

OBJECTIVES

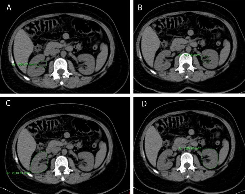
Essential hypertension remains a major modifiable risk factor for cardiovascular disease. Excess visceral adipose tissue is associated with the presence of adverse metabolic risk factors. Our study aims to measure the surface area of the renal sinus fat using MDCT and correlate the renal sinus surface area with the presence and grading of essential hypertension as well as body mass index.

MATERIALS AND METHODS

This cross-sectional study included two groups; the patients' group including 40 cases presented with a history of primary essential hypertension and the control group including 40 cases. The average of the surface area of the two kidneys as well as the average of the surface area of sinus fat was measured in the control and patient subgroups and was correlated with the presence and grading of essential hypertension as well as body mass index.

RESULTS

There was a significant correlation between the presence and grading of essential hypertension with prominent renal sinus fat. There was a significant correlation between the average surface area of kidneys and surface area of sinus fat in overweight and obese groups than in the control group (P < 0.01).

CONCLUSION

Obesity is now recognized as a risk factor for the development of renal dysfunction. There was a significant correlation between the surface area of renal sinus fat measured using MDCT and the presence as well as grading of essential hypertension, suggesting that renal sinus fat may promote cardiovascular events.

摘要

目的

原发性高血压仍然是心血管疾病的一个主要可改变风险因素。内脏脂肪组织过多与不良代谢风险因素的存在有关。我们的研究旨在使用多层螺旋CT(MDCT)测量肾窦脂肪的表面积,并将肾窦表面积与原发性高血压的存在及分级以及体重指数相关联。

材料与方法

这项横断面研究包括两组;患者组包括40例有原发性高血压病史的病例,对照组包括40例。在对照组和患者亚组中测量了双肾表面积的平均值以及窦脂肪表面积的平均值,并将其与原发性高血压的存在及分级以及体重指数相关联。

结果

原发性高血压的存在及分级与显著的肾窦脂肪之间存在显著相关性。超重和肥胖组中肾脏平均表面积与窦脂肪表面积之间的相关性显著高于对照组(P < 0.01)。

结论

肥胖现在被认为是肾功能障碍发展的一个风险因素。使用MDCT测量的肾窦脂肪表面积与原发性高血压的存在及分级之间存在显著相关性,表明肾窦脂肪可能促进心血管事件。

https://cdn.ncbi.nlm.nih.gov/pmc/blobs/a98e/9541188/8bf62a02d9cc/jbsr-106-1-2776-g1.jpg

文献检索

告别复杂PubMed语法,用中文像聊天一样搜索,搜遍4000万医学文献。AI智能推荐,让科研检索更轻松。

立即免费搜索

文件翻译

保留排版,准确专业,支持PDF/Word/PPT等文件格式,支持 12+语言互译。

免费翻译文档

深度研究

AI帮你快速写综述,25分钟生成高质量综述,智能提取关键信息,辅助科研写作。

立即免费体验