• 文献检索
  • 文档翻译
  • 深度研究
  • 学术资讯
  • Suppr Zotero 插件Zotero 插件
  • 邀请有礼
  • 套餐&价格
  • 历史记录
应用&插件
Suppr Zotero 插件Zotero 插件浏览器插件Mac 客户端Windows 客户端微信小程序
定价
高级版会员购买积分包购买API积分包
服务
文献检索文档翻译深度研究API 文档MCP 服务
关于我们
关于 Suppr公司介绍联系我们用户协议隐私条款
关注我们

Suppr 超能文献

核心技术专利:CN118964589B侵权必究
粤ICP备2023148730 号-1Suppr @ 2026

文献检索

告别复杂PubMed语法,用中文像聊天一样搜索,搜遍4000万医学文献。AI智能推荐,让科研检索更轻松。

立即免费搜索

文件翻译

保留排版,准确专业,支持PDF/Word/PPT等文件格式,支持 12+语言互译。

免费翻译文档

深度研究

AI帮你快速写综述,25分钟生成高质量综述,智能提取关键信息,辅助科研写作。

立即免费体验

伴有相关脊髓空洞症的颈髓内及髓外血管母细胞瘤:一例报告并文献复习

Cervical intra and extramedullary hemangioblastoma with associated syringomyelia: A case report and review of the literature.

作者信息

Colamaria Antonio, Fochi Nicola Pio, Laguado Yasser Andres Dallos, Blagia Maria, Leone Augusto, Carbone Francesco

机构信息

Department of Neurosurgery, "Riuniti" Hospital.

Department of Neurosurgery, University of Foggia.

出版信息

Surg Neurol Int. 2022 Sep 30;13:448. doi: 10.25259/SNI_814_2022. eCollection 2022.

DOI:10.25259/SNI_814_2022
PMID:36324962
原文链接:https://pmc.ncbi.nlm.nih.gov/articles/PMC9609879/
Abstract

BACKGROUND

Spinal hemangioblastoma (HB) is a highly vascularized tumor commonly presenting in the lower thoracic and lumbar segments. It typically causes spinal compression, extensive bleeding, and/or syringomyelia.

CASE DESCRIPTION

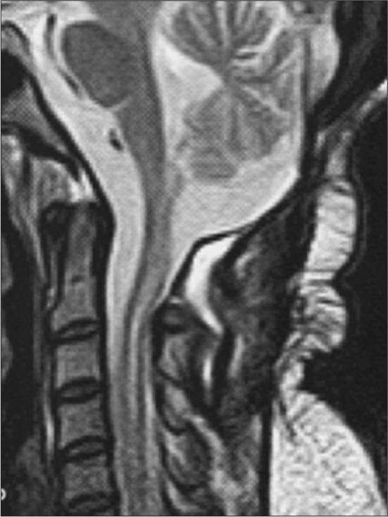
A 32-year-old female presented with persistent headaches with a cervical MRI showing an intradural and extradural mass extending from the obex to C2. Following surgical tumor resection, the patient's symptoms resolved.

CONCLUSION

Resection of spinal HB requires direct removal of the tumor mass as the accompanying cystic components typically spontaneously regress.

摘要

背景

脊髓血管母细胞瘤(HB)是一种血管高度丰富的肿瘤,通常出现在下胸段和腰段。它通常会导致脊髓受压、大量出血和/或脊髓空洞症。

病例描述

一名32岁女性因持续性头痛就诊,颈椎MRI显示硬膜内和硬膜外肿块,从延髓下部延伸至C2。手术切除肿瘤后,患者症状缓解。

结论

脊髓HB的切除需要直接切除肿瘤块,因为伴随的囊性成分通常会自发消退。

https://cdn.ncbi.nlm.nih.gov/pmc/blobs/6372/9609879/6d10715094bc/SNI-13-448-g004.jpg
https://cdn.ncbi.nlm.nih.gov/pmc/blobs/6372/9609879/fd2fe2227bc8/SNI-13-448-g001.jpg
https://cdn.ncbi.nlm.nih.gov/pmc/blobs/6372/9609879/093a2a69e487/SNI-13-448-g002.jpg
https://cdn.ncbi.nlm.nih.gov/pmc/blobs/6372/9609879/a285213ca37a/SNI-13-448-g003.jpg
https://cdn.ncbi.nlm.nih.gov/pmc/blobs/6372/9609879/6d10715094bc/SNI-13-448-g004.jpg
https://cdn.ncbi.nlm.nih.gov/pmc/blobs/6372/9609879/fd2fe2227bc8/SNI-13-448-g001.jpg
https://cdn.ncbi.nlm.nih.gov/pmc/blobs/6372/9609879/093a2a69e487/SNI-13-448-g002.jpg
https://cdn.ncbi.nlm.nih.gov/pmc/blobs/6372/9609879/a285213ca37a/SNI-13-448-g003.jpg
https://cdn.ncbi.nlm.nih.gov/pmc/blobs/6372/9609879/6d10715094bc/SNI-13-448-g004.jpg

相似文献

1
Cervical intra and extramedullary hemangioblastoma with associated syringomyelia: A case report and review of the literature.伴有相关脊髓空洞症的颈髓内及髓外血管母细胞瘤:一例报告并文献复习
Surg Neurol Int. 2022 Sep 30;13:448. doi: 10.25259/SNI_814_2022. eCollection 2022.
2
Cervical dumbbell intra-extradural hemangioblastoma: total removal through the lateral approach: technical case report.颈椎哑铃型硬脊膜内外血管母细胞瘤:经外侧入路全切除:技术病例报告
Neurosurgery. 2005 Mar;56(3):E625; discussion E625.
3
A pure extradural hemangioblastoma mimicking a dumbbell nerve sheath tumor in cervical spine: illustrative case.一例模仿颈椎哑铃状神经鞘瘤的纯硬膜外血管母细胞瘤:病例说明
J Neurosurg Case Lessons. 2021 Aug 2;2(5). doi: 10.3171/CASE2192.
4
Sporadic Intradural Extramedullary Hemangioblastoma of the Cauda Equina: Case Report and Literature Review.马尾脊膜外散发性孤立性血管母细胞瘤:病例报告及文献复习。
World Neurosurg. 2018 Jan;109:436-441. doi: 10.1016/j.wneu.2017.10.104. Epub 2017 Oct 28.
5
Intradural Extramedullary Hemangioblastoma of the Cervical Spine: Case Report and Literature Review.颈椎硬脊膜内髓外血管母细胞瘤:病例报告及文献综述
Cureus. 2022 May 18;14(5):e25125. doi: 10.7759/cureus.25125. eCollection 2022 May.
6
Spinal Intradural Extramedullary Capillary Hemangioma with Coexistent Spinal Edema and Syringomyelia Successfully Treated by Tumor Removal and Cervical Laminoplasty.经肿瘤切除及颈椎椎板成形术成功治疗的伴有脊髓水肿和脊髓空洞症的脊髓硬膜内髓外毛细血管瘤
Asian J Neurosurg. 2021 Dec 18;16(4):854-871. doi: 10.4103/ajns.AJNS_51_21. eCollection 2021 Oct-Dec.
7
A rare case of extramedullary-intradural hemangioblastoma in the thoracic spine.胸椎髓内-硬脊膜外血管母细胞瘤 1 例罕见病例。
Spine (Phila Pa 1976). 2009 Dec 15;34(26):E969-72. doi: 10.1097/BRS.0b013e3181b8e4f4.
8
Intractable hiccups caused by syringobulbia and syringomyelia associated with intramedullary spinal hemangioblastoma.由延髓空洞症和脊髓空洞症伴髓内脊髓血管母细胞瘤引起的顽固性呃逆。
Eur Spine J. 2015 May;24 Suppl 4:S614-8. doi: 10.1007/s00586-015-3822-4. Epub 2015 Feb 26.
9
Spinal intradural, extramedullary anaplastic ependymoma with an extradural component: Case report and review of the literature.伴有硬膜外成分的脊髓硬膜内、髓外间变性室管膜瘤:病例报告及文献复习
Surg Neurol Int. 2011;2:119. doi: 10.4103/2152-7806.84246. Epub 2011 Aug 30.
10
Coexisting ossification of the posterior longitudinal ligament, intramedullary hemangioblastoma, and syringomyelia of the cervical spine: illustrative case.颈椎后纵韧带骨化、髓内血管母细胞瘤及脊髓空洞症并存:病例展示
J Neurosurg Case Lessons. 2022 Nov 7;4(19). doi: 10.3171/CASE22371.

引用本文的文献

1
Prevalence of neurological diseases associated with cervical pain and/or signs of cervical myelopathy in French bulldogs: a retrospective analysis of 105 cases.法国斗牛犬中与颈部疼痛和/或颈椎脊髓病体征相关的神经疾病患病率:105例回顾性分析
Front Vet Sci. 2024 Jul 3;11:1431358. doi: 10.3389/fvets.2024.1431358. eCollection 2024.
2
Clinical and radiological outcomes of n-HA/PA66 cages in anterior spine reconstruction following total spondylectomy for tumors.n-HA/PA66椎间融合器在肿瘤全椎体切除术后前路脊柱重建中的临床及影像学结果
Front Surg. 2023 Dec 14;10:1278301. doi: 10.3389/fsurg.2023.1278301. eCollection 2023.
3

本文引用的文献

1
Sporadic hemangioblastoma of cauda equina: A case-report and brief literature review.马尾区散发性血管母细胞瘤:一例报告并文献复习。
Neurocirugia (Astur : Engl Ed). 2023 May-Jun;34(3):153-158. doi: 10.1016/j.neucie.2022.11.019. Epub 2023 Feb 9.
2
Intradural extramedullary cavernous hemangioma of the cervicothoracic junction: A case report and review of the literature.颈胸段交界处硬脊膜内髓外海绵状血管瘤:一例报告并文献复习
Surg Neurol Int. 2022 Feb 11;13:53. doi: 10.25259/SNI_964_2021. eCollection 2022.
3
Primary Intradural Extramedullary Sporadic Spinal Hemangioblastomas: Case Report and Systematic Review.
Secondary Holocord Syringomyelia Associated With Spinal Hemangioblastoma in a 29-Year-Old Female.
一名29岁女性的继发于脊髓血管母细胞瘤的全脊髓空洞症
Cureus. 2023 Jun 6;15(6):e40022. doi: 10.7759/cureus.40022. eCollection 2023 Jun.
4
Intramedullary hemangioblastoma of the thoracic cord with a microsurgical approach: A case report and literature review.胸段脊髓髓内血管母细胞瘤的显微手术治疗:病例报告及文献复习
Surg Neurol Int. 2023 Apr 14;14:137. doi: 10.25259/SNI_252_2023. eCollection 2023.
5
Spinal oncologic paraparesis: Analysis of neurological and surgical outcomes in patients with intramedullary, extramedullary, and extradural tumors.脊髓肿瘤性轻瘫:髓内、髓外和硬膜外肿瘤患者的神经学及手术结果分析
Front Oncol. 2023 Jan 4;12:1003084. doi: 10.3389/fonc.2022.1003084. eCollection 2022.
原发性硬脊膜外髓外孤立性血管母细胞瘤:病例报告及系统回顾。
World Neurosurg. 2021 Aug;152:84-94. doi: 10.1016/j.wneu.2021.05.105. Epub 2021 Jun 1.
4
Percutaneous Onyx Embolization of Recurrent Cervical Nerve Root Hemangioblastoma : A Case Report and Review of the Literature.复发性颈神经根血管母细胞瘤的经皮Onyx栓塞术:病例报告及文献复习
Clin Neuroradiol. 2021 Dec;31(4):1209-1213. doi: 10.1007/s00062-021-01023-3. Epub 2021 May 17.
5
Microsurgical treatment of cervical spinal hemangioblastoma.颈椎血管母细胞瘤的显微外科治疗
Neurochirurgie. 2020 Feb;66(1):56-60. doi: 10.1016/j.neuchi.2019.11.005. Epub 2020 Jan 14.
6
Cervical Dumbbell Intra-extradural Hemangioblastoma: Total Removal through the Lateral Approach: Technical Case Report.颈椎哑铃型硬脊膜内外血管母细胞瘤:经外侧入路全切除:技术病例报告
Neurosurgery. 2005 Mar 1;56(3):E625. doi: 10.1227/01.NEU.0000154134.83900.05.
7
Role of preoperative embolization for intradural spinal hemangioblastomas.术前栓塞在髓内脊髓血管母细胞瘤中的作用。
J Clin Neurosci. 2016 Feb;24:83-7. doi: 10.1016/j.jocn.2015.09.006. Epub 2015 Nov 12.
8
Hemorrhagic intramedullary hemangioblastoma of the cervical spinal cord presenting with acute-onset quadriparesis: case report and review of the literature.以急性起病的四肢瘫为表现的颈髓出血性髓内血管母细胞瘤:病例报告及文献复习
J Spinal Cord Med. 2014 Nov;37(6):791-4. doi: 10.1179/2045772314Y.0000000210. Epub 2014 Jul 16.
9
Sporadic spinal hemangioblastomas can be effectively treated by microsurgery alone.散发性脊髓血管母细胞瘤可以通过单纯显微手术有效地治疗。
World Neurosurg. 2014 Nov;82(5):836-47. doi: 10.1016/j.wneu.2014.05.024. Epub 2014 May 24.
10
Comparative analysis of spinal hemangioblastomas in sporadic disease and Von Hippel-Lindau syndrome.散发性疾病与冯·希佩尔-林道综合征中脊髓血管母细胞瘤的比较分析。
Neurol Med Chir (Tokyo). 2010;50(7):560-7. doi: 10.2176/nmc.50.560.