Suppr超能文献

卵巢肾外 Wilms 瘤:一例报告。

Extrarenal Wilms' Tumour of the Ovary: A case report.

机构信息

Department of Pediatric Hematology Oncology, Royal Hospital, Muscat, Oman.

Department of Radiology, Royal Hospital, Muscat, Oman.

出版信息

Sultan Qaboos Univ Med J. 2022 Nov;22(4):566-569. doi: 10.18295/squmj.8.2021.117. Epub 2022 Nov 7.

Abstract

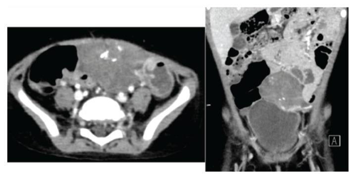
Wilms' tumour (nephroblastoma) is the most common abdominal malignancy in children. Extrarenal Wilms' tumour is rare, with limited reports in the literature. We report a two-year-old girl who presented to a tertiary care hospital in Muscat, Oman, in 2019 with an abdominal mass. The patient was diagnosed with unilateral ovarian Wilms' tumour (initially diagnosed by closed biopsy and confirmed later by histopathology study of the excised tumour). This report highlights the unusual location and presentation of Wilms' tumour and presents the medical challenge in both the initial clinical impression and pathological diagnosis. Furthermore, this report details the therapeutic plan and shows the good outcome achieved by using the classic renal Wilms' tumour therapy protocols.

摘要

威尔姆斯瘤(肾母细胞瘤)是儿童最常见的腹部恶性肿瘤。肾外威尔姆斯瘤罕见,文献报道有限。我们报告了一名 2019 年在阿曼马斯喀特一家三级保健医院就诊的两岁女孩,其腹部有一个肿块。该患者被诊断为单侧卵巢威尔姆斯瘤(最初通过闭合活检诊断,后来通过切除肿瘤的组织病理学研究证实)。本报告重点介绍了威尔姆斯瘤的不常见位置和表现,并介绍了在初始临床印象和病理诊断中都存在的医学挑战。此外,本报告详细介绍了治疗计划,并展示了使用经典肾母细胞瘤治疗方案所取得的良好结果。

https://cdn.ncbi.nlm.nih.gov/pmc/blobs/3786/9645499/6c6d4cde7fc9/squmj2211-566-569f1.jpg

文献AI研究员

20分钟写一篇综述,助力文献阅读效率提升50倍。

立即体验

用中文搜PubMed

大模型驱动的PubMed中文搜索引擎

马上搜索

文档翻译

学术文献翻译模型,支持多种主流文档格式。

立即体验