Grothe Matthias, Jochem Katharina, Strauss Sebastian, Langner Sönke, Kirsch Michael, Hoffeld Kai, Penner Iris Katharina, Nagels Guy, Klepzig Kai, Domin Martin, Lotze Martin
Department of Neurology, University Medicine Greifswald, Greifswald, Germany.
Institute for Diagnostic Radiology and Neuroradiology, University Medicine of Greifswald, Greifswald, Germany.
Front Neurol. 2022 Nov 4;13:982964. doi: 10.3389/fneur.2022.982964. eCollection 2022.
The Symbol Digit Modalities Test (SDMT) is most frequently used to test processing speed in patients with multiple sclerosis (MS). Functional imaging studies emphasize the importance of frontal and parietal areas for task performance, but the influence of frontoparietal tracts has not been thoroughly studied. We were interested in tract-specific characteristics and their association with processing speed in MS patients.
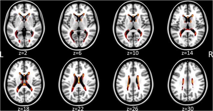
Diffusion tensor imaging was obtained in 100 MS patients and 24 healthy matched controls to compare seed-based tract characteristics descending from the superior parietal lobule [Brodman area 7A (BA7A)], atlas-based tract characteristics from the superior longitudinal fasciculus (SLF), and control tract characteristics from the corticospinal tract (CST) and their respective association with ability on the SDMT.
Patients had decreased performance on the SDMT and decreased white matter volume (each < 0.05). The mean fractional anisotropy (FA) for the BA7A tract and CST ( < 0.05), but not the SLF, differed between MS patients and controls. Furthermore, only the FA of the SLF was positively associated with SDMT performance even after exclusion of the lesions within the tract ( = 0.25, < 0.05). However, only disease disability and total white matter volume were associated with information processing speed in a linear regression model.
Processing speed in MS is associated with the structural integrity of frontoparietal white matter tracts.
符号数字模态测验(SDMT)最常用于测试多发性硬化症(MS)患者的处理速度。功能成像研究强调额叶和顶叶区域对任务表现的重要性,但额顶叶束的影响尚未得到充分研究。我们对MS患者中特定束的特征及其与处理速度的关联感兴趣。
对100例MS患者和24例健康匹配对照进行扩散张量成像,以比较从上顶叶[布罗德曼7A区(BA7A)]下降的基于种子的束特征、基于图谱的上纵束(SLF)的束特征、皮质脊髓束(CST)的对照束特征及其与SDMT能力的各自关联。
患者在SDMT上的表现下降,白质体积减少(均P<0.05)。MS患者和对照之间,BA7A束和CST的平均分数各向异性(FA)不同(P<0.05),但SLF的FA无差异。此外,即使排除束内病变后,仅SLF的FA与SDMT表现呈正相关(r=0.25,P<0.05)。然而,在线性回归模型中,只有疾病残疾程度和总白质体积与信息处理速度相关。
MS患者的处理速度与额顶叶白质束的结构完整性相关。