Suppr超能文献

胎儿生长受限继而出现极早产与青春期时肾脏较小但肾功能正常有关。

Fetal growth restriction followed by very preterm birth is associated with smaller kidneys but preserved kidney function in adolescence.

机构信息

Clinical Physiology, Department of Clinical Sciences Lund, Lund University, Skåne University Hospital, Lund, Sweden.

Cardiology, Department of Clinical Sciences Lund, Lund University, Skåne University Hospital, Lund, Sweden.

出版信息

Pediatr Nephrol. 2023 Jun;38(6):1855-1866. doi: 10.1007/s00467-022-05785-x. Epub 2022 Nov 21.

Abstract

BACKGROUND

Preterm birth and fetal growth restriction (FGR) are associated with structural and functional kidney changes, increasing long-term risk for chronic kidney disease and hypertension. However, recent studies in preterm children are conflicting, indicating structural changes but normal kidney function. This study therefore assessed kidney structure and function in a cohort of adolescents born very preterm with and without verified FGR.

METHODS

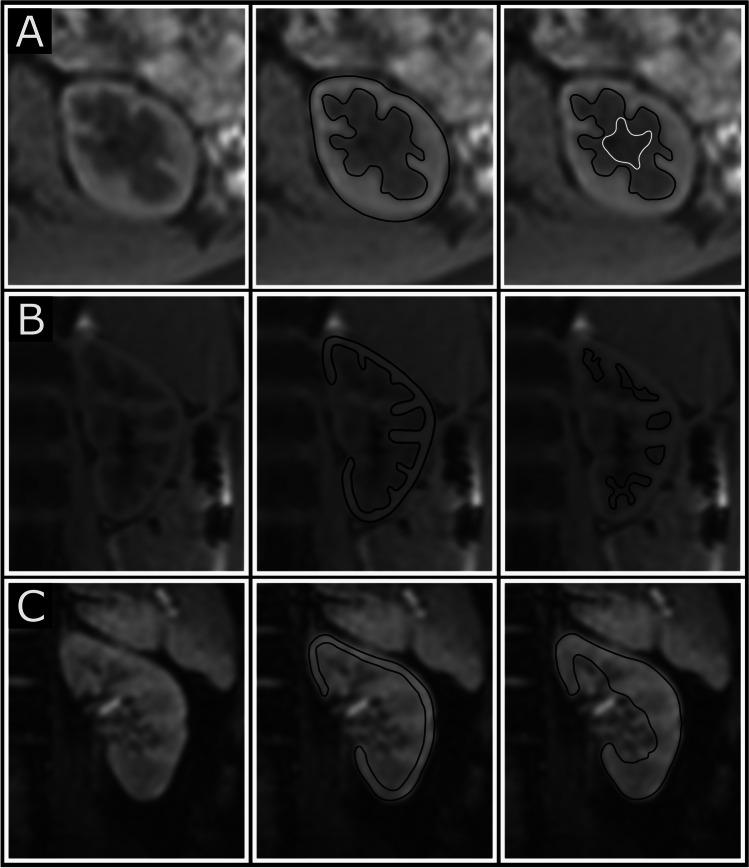
Adolescents born very preterm with FGR and two groups with appropriate birthweight (AGA) were included; one matched for gestational week at birth and one born at term. Cortical and medullary kidney volumes and T1 and T2* mapping values were assessed by magnetic resonance imaging. Biochemical markers of kidney function and renin-angiotensin-aldosterone system (RAAS) activation were analyzed.

RESULTS

Sixty-four adolescents were included (13-16 years; 48% girls). Very preterm birth with FGR showed smaller total (66 vs. 75 ml/m; p = 0.01) and medullary volume (19 vs. 24 ml/m; p < 0.0001) compared to term AGA. Corticomedullary volume ratio decreased from preterm FGR (2.4) to preterm AGA (2.2) to term AGA (1.9; p = 0.004). There were no differences in T1 or T2* values (all p ≥ 0.34) or in biochemical markers (all p ≥ 0.12) between groups.

CONCLUSIONS

FGR with abnormal fetal blood flow followed by very preterm birth is associated with smaller total kidney and medullary kidney volumes, but not with markers of kidney dysfunction or RAAS activation in adolescence. Decreased total kidney and medullary volumes may still precede a long-term decrease in kidney function, and potentially be used as a prognostic marker. A higher resolution version of the Graphical abstract is available as Supplementary information.

摘要

背景

早产和胎儿生长受限(FGR)与肾脏结构和功能变化有关,增加了慢性肾脏病和高血压的长期风险。然而,最近对早产儿的研究结果存在矛盾,表明存在结构变化但肾功能正常。因此,本研究评估了患有和不患有证实的 FGR 的非常早产儿队列的肾脏结构和功能。

方法

纳入了患有 FGR 的非常早产儿和两组合适出生体重(AGA)的青少年;一组按出生时的孕周匹配,一组足月出生。通过磁共振成像评估皮质和髓质肾体积以及 T1 和 T2*映射值。分析了肾功能和肾素-血管紧张素-醛固酮系统(RAAS)激活的生化标志物。

结果

共纳入 64 名青少年(13-16 岁;48%为女性)。与足月 AGA 相比,FGR 的非常早产儿出生时总肾(66 与 75 ml/m;p = 0.01)和髓质体积(19 与 24 ml/m;p < 0.0001)更小。皮质-髓质体积比从早产儿 FGR(2.4)下降到早产儿 AGA(2.2),再到足月 AGA(1.9;p = 0.004)。各组间 T1 或 T2*值(均 p ≥ 0.34)或生化标志物(均 p ≥ 0.12)无差异。

结论

伴有异常胎儿血流的 FGR 随后发生非常早产与总肾和髓质肾体积减小有关,但与青少年肾功能障碍或 RAAS 激活的标志物无关。总肾和髓质体积的减少可能仍然先于肾功能的长期下降,并可能用作预后标志物。更清晰的图文摘要可在补充信息中查看。

https://cdn.ncbi.nlm.nih.gov/pmc/blobs/0553/10154253/6da09b0ebf83/467_2022_5785_Figa_HTML.jpg

文献检索

告别复杂PubMed语法,用中文像聊天一样搜索,搜遍4000万医学文献。AI智能推荐,让科研检索更轻松。

立即免费搜索

文件翻译

保留排版,准确专业,支持PDF/Word/PPT等文件格式,支持 12+语言互译。

免费翻译文档

深度研究

AI帮你快速写综述,25分钟生成高质量综述,智能提取关键信息,辅助科研写作。

立即免费体验