Abd-ELrahman Salwa Mahmoud, Mohamed Sara Abdel-Aal, Mohamed Samar Elsayed, El-Khadragy Manal F, Dyab Ahmed Kamal, Hamad Nashwa, Safwat Marwa M, Nasr Asmaa A E, Alkhaldi Abdulsalam A M, Gareh Ahmed, Elmahallawy Ehab Kotb
Department of Parasitology, Faculty of Veterinary Medicine, Assiut University, Assiut 71515, Egypt.
Private Veterinary Clinic, Assiut University, Assiut 71515, Egypt.
Animals (Basel). 2022 Nov 17;12(22):3185. doi: 10.3390/ani12223185.
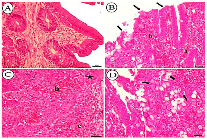
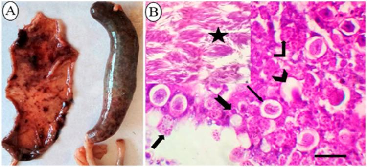
Avian coccidiosis remains one of the major parasitic diseases that threaten the global poultry industry. Since prevention is superior to treatment, this study focuses on eliminating the infection outside the host. To determine their effect on the viability of Eimeria tenella oocysts in vitro, allicin and alcoholic garlic extract, which are natural, less toxic, and inexpensive products, were compared to KOH 5% (chemical disinfectant) using an in vitro culture system. Three concentrations of allicin (45, 90, and 180 mg/mL) and alcoholic garlic extract (90, 180, and 360 mg/mL, were used. Subsequently, destructive and sporulation-inhibiting effects on Eimeria oocysts were detected using light and electron microscopy. Young chickens were infected with treated sporulated oocysts to determine their effect on infectivity. After 7 days pi, the percentage of excreted oocysts (oocyst shedding) was determined, and the chickens were slaughtered for histopathological examination of the cecal tissues. Under an electron microscope, allicin at a concentration of 180 mg/mL and alcoholic garlic extract at a concentration of 360 mg/mL demonstrate a high oocysticidal activity with severe destruction of the oocyst wall and the appearance of pores. In addition, both concentrations directly affected the infectivity of sporulated oocysts by reducing the shedding of oocysts and the pathological lesions of infected young chickens. We concluded that the ability of Allicin and alcoholic garlic extract to eliminate Eimeria oocysts makes them superior to chemical disinfectants as a disinfectant.
禽球虫病仍然是威胁全球家禽业的主要寄生虫病之一。由于预防优于治疗,本研究着重于消除宿主体外的感染。为了确定它们对体外柔嫩艾美耳球虫卵囊活力的影响,使用体外培养系统,将天然、低毒且廉价的大蒜素和大蒜酒精提取物与5%氢氧化钾(化学消毒剂)进行比较。使用了三种浓度的大蒜素(45、90和180毫克/毫升)和大蒜酒精提取物(90、180和360毫克/毫升)。随后,使用光学显微镜和电子显微镜检测对艾美耳球虫卵囊的破坏作用和孢子化抑制作用。用经处理的孢子化卵囊感染雏鸡,以确定它们对感染性的影响。感染后7天,测定排出卵囊的百分比(卵囊排出),然后宰杀雏鸡,对盲肠组织进行组织病理学检查。在电子显微镜下,浓度为180毫克/毫升的大蒜素和浓度为360毫克/毫升的大蒜酒精提取物表现出高杀卵囊活性,卵囊壁严重破坏并出现孔洞。此外,这两种浓度都通过减少卵囊排出和感染雏鸡的病理损伤,直接影响孢子化卵囊的感染性。我们得出结论,大蒜素和大蒜酒精提取物消除艾美耳球虫卵囊的能力使其作为消毒剂优于化学消毒剂。