Department of Transplant Surgery, Medical University of Innsbruck, Innsbruck, Austria.
Department of Internal Medicine I, Sisters of Mercy, Ried Hospital, Ried, Austria.
Am J Case Rep. 2022 Nov 26;23:e937386. doi: 10.12659/AJCR.937386.
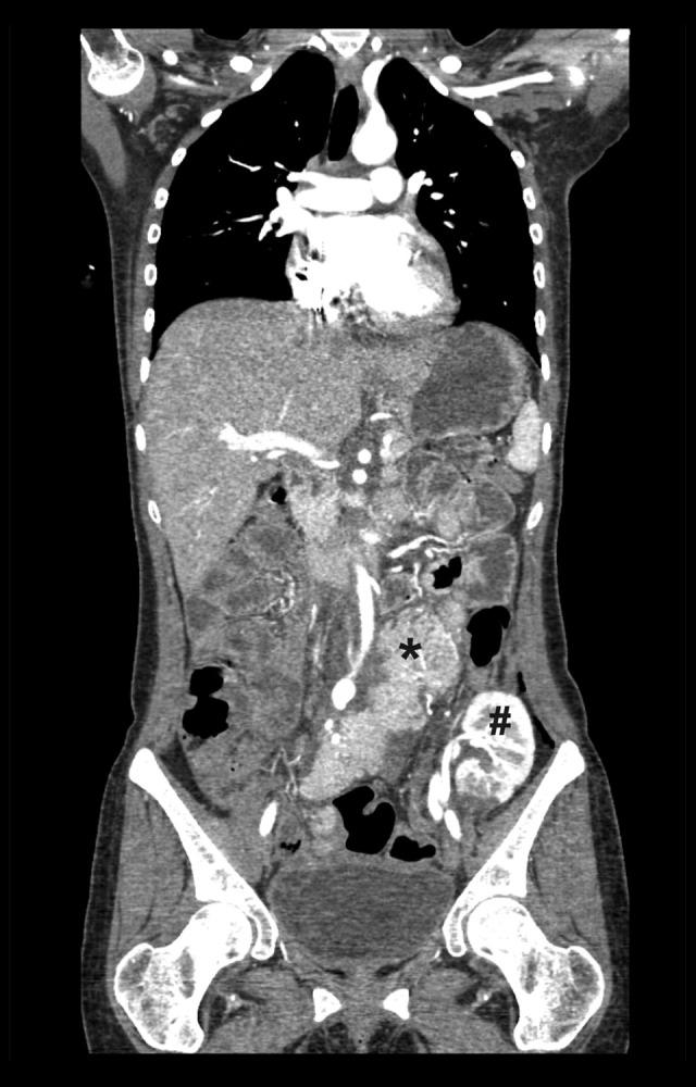
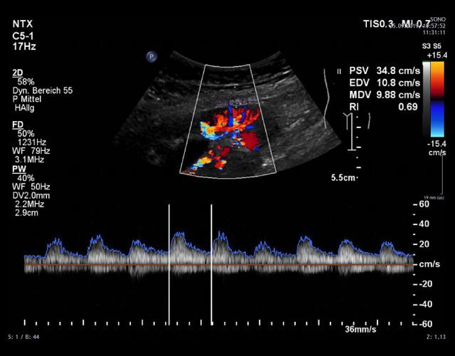
BACKGROUND There has been, to our knowledge, no reports on LifeCycle Pharma tacrolimus (LCPT) taken during pregnancy after simultaneous pancreas-kidney transplantation (SPK). Here, we report a 25-year-old female SPK recipient who gave birth to a healthy infant in posttransplant month 32. We analyzed the long-term graft function, obstetric/neonatal course, LCPT dosage, tacrolimus (TAC) levels, concomitant medication, and complications. CASE REPORT Her medical history consisted of type 1 diabetes with chronic nephropathy, arterial hypertension, and atypical haemolytic uremic syndrome with critical deterioration of her general condition requiring clinically indicated early termination of her first pregnancy prior to SPK. SPK was performed according to surgical standards. The immunosuppressive prophylaxis consisted of thymoglobulin, mycophenolate mofetil, standard TAC formulation, and steroids. Due to rapid TAC metabolism, the patient was converted from a standard TAC formulation to LCPT in the first month posttransplant. Her long-term immunosuppression, including the obstetric and peripartal course, consisted of LCPT, prednisolone, and azathioprine. She was normotensive without antihypertensive medication and maintained excellent function of both grafts during the observation period of 48 months posttransplant. All (mostly infectious) complications were reversible, especially temporary polyoma viremia within normal renal function, and 2 episodes of urosepsis. No relapse of her pretransplant episode of atypical haemolytic uremic syndrome occurred posttransplant. Her child is in good health at the age of 12 months without any malformations. CONCLUSIONS This case suggests that pregnancy after SPK under LCPT is feasible. Further studies are needed to expand the empirical knowledge surrounding tacrolimus.
据我们所知,在胰肾联合移植(SPK)后同时服用 LifeCycle Pharma 他克莫司(LCPT)进行妊娠尚无报告。在此,我们报告了 1 例 25 岁女性 SPK 受者,她在移植后第 32 个月分娩了 1 名健康婴儿。我们分析了长期移植物功能、产科/新生儿情况、LCPT 剂量、他克莫司(TAC)水平、伴随用药和并发症。
她的病史包括 1 型糖尿病伴慢性肾病、动脉高血压和非典型溶血尿毒综合征,病情急剧恶化,需要临床提前终止其首次妊娠,然后进行 SPK。SPK 按照手术标准进行。免疫抑制预防包括胸腺球蛋白、霉酚酸酯、标准 TAC 制剂和类固醇。由于 TAC 代谢迅速,该患者在移植后第 1 个月从标准 TAC 制剂转换为 LCPT。她的长期免疫抑制治疗,包括产科和围产期,包括 LCPT、泼尼松龙和硫唑嘌呤。她血压正常,无需使用抗高血压药物,在移植后 48 个月的观察期间,两个移植物功能均保持良好。所有(主要是感染性)并发症均可逆转,尤其是暂时性多瘤病毒血症且肾功能正常,以及 2 次尿脓毒症。移植后,她未再出现非典型溶血尿毒综合征的复发。她的孩子在 12 个月大时健康状况良好,没有任何畸形。
本病例表明 SPK 后妊娠服用 LCPT 是可行的。需要进一步研究来扩大围绕他克莫司的经验知识。