Suppr超能文献

精神分裂症的神经影像学:一篇综述文章。

Neuroimaging in schizophrenia: A review article.

作者信息

Dabiri Mona, Dehghani Firouzabadi Fatemeh, Yang Kun, Barker Peter B, Lee Roland R, Yousem David M

机构信息

Department of Radiology, Children's Medical Center, Tehran University of Medical Sciences, Tehran, Iran.

Department of Radiology, Boston Children's Hospital and Harvard Medical School, Boston, MA, United States.

出版信息

Front Neurosci. 2022 Nov 15;16:1042814. doi: 10.3389/fnins.2022.1042814. eCollection 2022.

Abstract

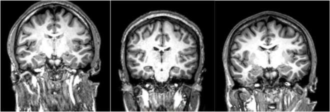
In this review article we have consolidated the imaging literature of patients with schizophrenia across the full spectrum of modalities in radiology including computed tomography (CT), morphologic magnetic resonance imaging (MRI), functional magnetic resonance imaging (fMRI), magnetic resonance spectroscopy (MRS), positron emission tomography (PET), and magnetoencephalography (MEG). We look at the impact of various subtypes of schizophrenia on imaging findings and the changes that occur with medical and transcranial magnetic stimulation (TMS) therapy. Our goal was a comprehensive multimodality summary of the findings of state-of-the-art imaging in untreated and treated patients with schizophrenia. Clinical imaging in schizophrenia is used to exclude structural lesions which may produce symptoms that may mimic those of patients with schizophrenia. Nonetheless one finds global volume loss in the brains of patients with schizophrenia with associated increased cerebrospinal fluid (CSF) volume and decreased gray matter volume. These features may be influenced by the duration of disease and or medication use. For functional studies, be they fluorodeoxyglucose positron emission tomography (FDG PET), rs-fMRI, task-based fMRI, diffusion tensor imaging (DTI) or MEG there generally is hypoactivation and disconnection between brain regions. However, these findings may vary depending upon the negative or positive symptomatology manifested in the patients. MR spectroscopy generally shows low -acetylaspartate from neuronal loss and low glutamine (a neuroexcitatory marker) but glutathione may be elevated, particularly in non-treatment responders. The literature in schizophrenia is difficult to evaluate because age, gender, symptomatology, comorbidities, therapy use, disease duration, substance abuse, and coexisting other psychiatric disorders have not been adequately controlled for, even in large studies and meta-analyses.

摘要

在这篇综述文章中,我们整合了精神分裂症患者在放射学全模态范围内的影像学文献,包括计算机断层扫描(CT)、形态学磁共振成像(MRI)、功能磁共振成像(fMRI)、磁共振波谱(MRS)、正电子发射断层扫描(PET)和脑磁图(MEG)。我们研究了精神分裂症的各种亚型对影像学结果的影响,以及药物治疗和经颅磁刺激(TMS)治疗所带来的变化。我们的目标是对未经治疗和经治疗的精神分裂症患者的最新影像学研究结果进行全面的多模态总结。精神分裂症的临床影像学检查用于排除可能产生类似精神分裂症患者症状的结构性病变。尽管如此,人们发现精神分裂症患者的大脑存在整体体积缩小,伴有脑脊液(CSF)体积增加和灰质体积减少。这些特征可能会受到疾病持续时间和/或药物使用的影响。对于功能研究,无论是氟脱氧葡萄糖正电子发射断层扫描(FDG PET)、静息态功能磁共振成像(rs-fMRI)、任务态功能磁共振成像(task-based fMRI)、扩散张量成像(DTI)还是脑磁图(MEG),大脑区域之间通常存在激活不足和连接中断的情况。然而,这些结果可能会因患者表现出的阴性或阳性症状而有所不同。磁共振波谱通常显示由于神经元丢失导致的低N-乙酰天门冬氨酸和低谷氨酰胺(一种神经兴奋性标志物),但谷胱甘肽可能会升高,尤其是在治疗无反应者中。精神分裂症的文献很难评估,因为即使在大型研究和荟萃分析中,年龄、性别、症状、合并症、治疗使用情况、疾病持续时间、药物滥用以及其他并存的精神障碍等因素也没有得到充分控制。

https://cdn.ncbi.nlm.nih.gov/pmc/blobs/2625/9706110/87432cf6dc91/fnins-16-1042814-g001.jpg

文献检索

告别复杂PubMed语法,用中文像聊天一样搜索,搜遍4000万医学文献。AI智能推荐,让科研检索更轻松。

立即免费搜索

文件翻译

保留排版,准确专业,支持PDF/Word/PPT等文件格式,支持 12+语言互译。

免费翻译文档

深度研究

AI帮你快速写综述,25分钟生成高质量综述,智能提取关键信息,辅助科研写作。

立即免费体验