Suppr超能文献

纹眉手术预示着系统性结节病的发展。

Permanent Makeup Procedure Heralds the Development of Systemic Sarcoidosis.

作者信息

Bashinskaya Alena, Fernandez Alfredo D, Morgan Michael B

机构信息

Osteopathic Medicine, Nova Southeastern University Dr. Kiran C. Patel College of Osteopathic Medicine, Clearwater, USA.

Dermatology, ADF Dermatology and Skin Surgical Center of Sarasota, Sarasota, USA.

出版信息

Cureus. 2022 Oct 31;14(10):e30918. doi: 10.7759/cureus.30918. eCollection 2022 Oct.

Abstract

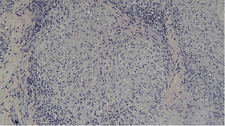
Permanent cosmetic procedures including tattooing are determined as risk factors that prompt the development of cutaneous granulomatous conditions. Scar sarcoidosis is an uncommon manifestation of a systemic granulomatous disease with a few cases reported in the literature worldwide. Although the incidence rates of sarcoid lesions at sites of pigment deposition are low, granuloma formation can provoke a severe systemic inflammatory response. We report a 48-year-old Hispanic female with a new onset of scar sarcoidosis that progressed to a systemic condition. Erythematous maculopapular eruptions arose on her left eyebrow area at the sites of scars from cosmetic tattooing, prior to exacerbation of the small airway disease. Histopathologic examination revealed typical findings of cutaneous sarcoidosis, including non-caseating epithelioid granulomas. This case highlights the importance of early detection of cutaneous sarcoidosis in long-standing scars due to the associated risks of systemic sarcoidosis.

摘要

包括纹身在内的永久性美容手术被确定为促使皮肤肉芽肿性疾病发生的风险因素。瘢痕结节病是一种系统性肉芽肿性疾病的罕见表现,全球文献中仅有少数病例报道。尽管色素沉着部位的结节病病变发生率较低,但肉芽肿形成可引发严重的全身炎症反应。我们报告了一名48岁的西班牙裔女性,她新发瘢痕结节病并进展为全身性疾病。在小气道疾病加重之前,她左眉部因美容纹身留下的瘢痕部位出现了红斑性斑丘疹。组织病理学检查显示为皮肤结节病的典型表现,包括非干酪样上皮样肉芽肿。该病例强调了由于存在系统性结节病的相关风险,早期发现长期瘢痕中皮肤结节病的重要性。

https://cdn.ncbi.nlm.nih.gov/pmc/blobs/b4a1/9710721/5409cec5ed7c/cureus-0014-00000030918-i01.jpg

文献AI研究员

20分钟写一篇综述,助力文献阅读效率提升50倍。

立即体验

用中文搜PubMed

大模型驱动的PubMed中文搜索引擎

马上搜索

文档翻译

学术文献翻译模型,支持多种主流文档格式。

立即体验