• 文献检索
  • 文档翻译
  • 深度研究
  • 学术资讯
  • Suppr Zotero 插件Zotero 插件
  • 邀请有礼
  • 套餐&价格
  • 历史记录
应用&插件
Suppr Zotero 插件Zotero 插件浏览器插件Mac 客户端Windows 客户端微信小程序
定价
高级版会员购买积分包购买API积分包
服务
文献检索文档翻译深度研究API 文档MCP 服务
关于我们
关于 Suppr公司介绍联系我们用户协议隐私条款
关注我们

Suppr 超能文献

核心技术专利:CN118964589B侵权必究
粤ICP备2023148730 号-1Suppr @ 2026

文献检索

告别复杂PubMed语法,用中文像聊天一样搜索,搜遍4000万医学文献。AI智能推荐,让科研检索更轻松。

立即免费搜索

文件翻译

保留排版,准确专业,支持PDF/Word/PPT等文件格式,支持 12+语言互译。

免费翻译文档

深度研究

AI帮你快速写综述,25分钟生成高质量综述,智能提取关键信息,辅助科研写作。

立即免费体验

肿瘤内CD8 + T细胞的数字定量预测葡萄膜黑色素瘤的复发和不良预后。

Digital Quantification of Intratumoral CD8+ T-Cells Predicts Relapse and Unfavorable Outcome in Uveal Melanoma.

作者信息

Hurdogan Ozge, De Logu Francesco, Galli Francesca, Tuncer Samuray, Ugolini Filippo, Simi Sara, Portelli Francesca, Nassini Romina, Massi Daniela, Buyukbabani Nesimi

机构信息

Department of Pathology, Istanbul Faculty of Medicine, Istanbul University, Istanbul 34093, Turkey.

Department of Health Sciences, Section of Clinical Pharmacology and Oncology, University of Florence, 50100 Florence, Italy.

出版信息

Cancers (Basel). 2022 Dec 2;14(23):5959. doi: 10.3390/cancers14235959.

DOI:10.3390/cancers14235959
PMID:36497441
原文链接:https://pmc.ncbi.nlm.nih.gov/articles/PMC9740732/
Abstract

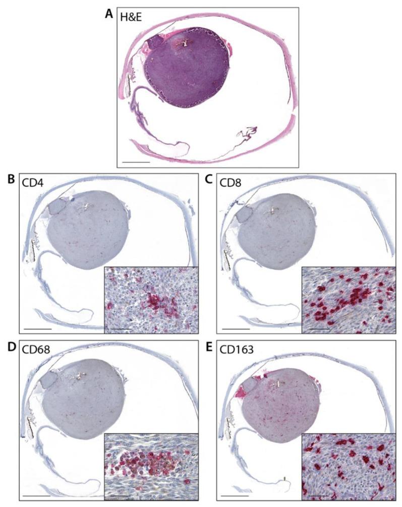
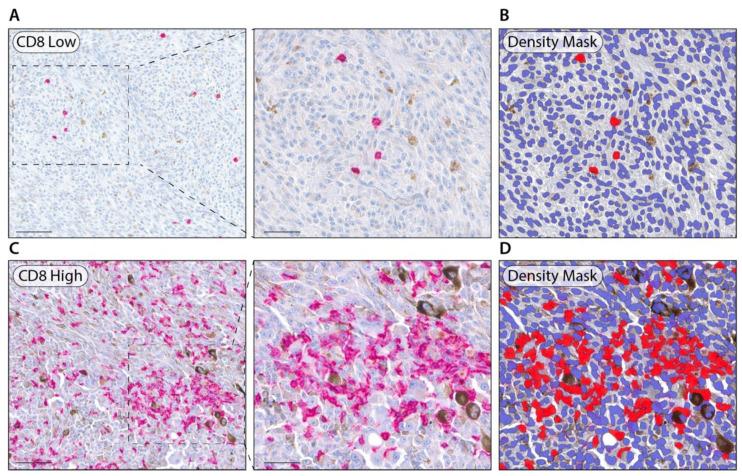
Although it is a disease that occurs mainly in the Caucasian population, uveal melanoma (UM) is the most common primary intraocular tumor in adults. Here, we used digital pathology and image analysis for the diagnosis of UM and the prediction of the prognosis. Our retrospective study included a total of 404 histopathological slides from 101 patients. A digital image acquisition and quantitative analysis of tissue immune biomarkers (CD4, CD8, CD68, CD163) were performed. A negative impact of the intratumoral CD8 positive cell density higher than 13.3 cells/mm was detected for both RFS (HR 2.08, 95% Cl 1.09 to 3.99, = 0.027) and OS (HR 3.30, 95% CI 1.58 to 6.88, = 0.001). Moreover, we confirmed that older age and stage III were independent negative prognostic factors for both RFS and OS. Our results suggest that a specific distribution profile of CD8 in UM might predict the risk of relapse and death, with potential implications for determining which subgroups of UMs are amenable to specific pharmacological treatment regimens.

摘要

尽管葡萄膜黑色素瘤(UM)主要发生在白种人人群中,但它是成年人中最常见的原发性眼内肿瘤。在此,我们使用数字病理学和图像分析来诊断UM并预测预后。我们的回顾性研究共纳入了来自101例患者的404张组织病理学切片。对组织免疫生物标志物(CD4、CD8、CD68、CD163)进行了数字图像采集和定量分析。检测到肿瘤内CD8阳性细胞密度高于13.3个细胞/mm对无复发生存期(RFS,风险比[HR] 2.08,95%置信区间[Cl] 1.09至3.99,P = 0.027)和总生存期(OS,HR 3.30,95% CI 1.58至6.88,P = 0.001)均有负面影响。此外,我们证实年龄较大和III期是RFS和OS的独立负面预后因素。我们的结果表明,UM中CD8的特定分布模式可能预测复发和死亡风险,这对于确定哪些UM亚组适合特定的药物治疗方案具有潜在意义。

https://cdn.ncbi.nlm.nih.gov/pmc/blobs/dc5c/9740732/1005afa242d9/cancers-14-05959-g003.jpg
https://cdn.ncbi.nlm.nih.gov/pmc/blobs/dc5c/9740732/6640d182e7a0/cancers-14-05959-g001.jpg
https://cdn.ncbi.nlm.nih.gov/pmc/blobs/dc5c/9740732/e2e5badad700/cancers-14-05959-g002.jpg
https://cdn.ncbi.nlm.nih.gov/pmc/blobs/dc5c/9740732/1005afa242d9/cancers-14-05959-g003.jpg
https://cdn.ncbi.nlm.nih.gov/pmc/blobs/dc5c/9740732/6640d182e7a0/cancers-14-05959-g001.jpg
https://cdn.ncbi.nlm.nih.gov/pmc/blobs/dc5c/9740732/e2e5badad700/cancers-14-05959-g002.jpg
https://cdn.ncbi.nlm.nih.gov/pmc/blobs/dc5c/9740732/1005afa242d9/cancers-14-05959-g003.jpg

相似文献

1
Digital Quantification of Intratumoral CD8+ T-Cells Predicts Relapse and Unfavorable Outcome in Uveal Melanoma.肿瘤内CD8 + T细胞的数字定量预测葡萄膜黑色素瘤的复发和不良预后。
Cancers (Basel). 2022 Dec 2;14(23):5959. doi: 10.3390/cancers14235959.
2
Digital Immunophenotyping Predicts Disease Free and Overall Survival in Early Stage Melanoma Patients.数字免疫表型可预测早期黑色素瘤患者的无病生存和总生存。
Cells. 2021 Feb 17;10(2):422. doi: 10.3390/cells10020422.
3
The prognostic landscape of adaptive immune resistance signatures and infiltrating immune cells in the tumor microenvironment of uveal melanoma.葡萄膜黑色素瘤肿瘤微环境中适应性免疫抵抗特征和浸润免疫细胞的预后景观。
Exp Eye Res. 2020 Jul;196:108069. doi: 10.1016/j.exer.2020.108069. Epub 2020 May 19.
4
The density and spatial tissue distribution of CD8 and CD163 immune cells predict response and outcome in melanoma patients receiving MAPK inhibitors.CD8 和 CD163 免疫细胞的密度和空间组织分布可预测接受 MAPK 抑制剂治疗的黑色素瘤患者的反应和结局。
J Immunother Cancer. 2019 Nov 15;7(1):308. doi: 10.1186/s40425-019-0797-4.
5
Construction of a Promising Tumor-Infiltrating CD8+ T Cells Gene Signature to Improve Prediction of the Prognosis and Immune Response of Uveal Melanoma.构建一个有前景的肿瘤浸润性CD8 + T细胞基因特征以改善葡萄膜黑色素瘤预后和免疫反应的预测
Front Cell Dev Biol. 2021 May 28;9:673838. doi: 10.3389/fcell.2021.673838. eCollection 2021.
6
Inflammatory cell infiltrates in advanced metastatic uveal melanoma.晚期转移性葡萄膜黑色素瘤中的炎性细胞浸润。
Hum Pathol. 2017 Aug;66:159-166. doi: 10.1016/j.humpath.2017.06.005. Epub 2017 Jun 24.
7
PRAME as a Potential Target for Immunotherapy in Metastatic Uveal Melanoma.PRAME作为转移性葡萄膜黑色素瘤免疫治疗的潜在靶点
JAMA Ophthalmol. 2017 Jun 1;135(6):541-549. doi: 10.1001/jamaophthalmol.2017.0729.
8
A Comprehensive Prognostic and Immunological Analysis of a Six-Gene Signature Associated With Glycolysis and Immune Response in Uveal Melanoma.全面的预后和免疫分析与葡萄膜黑色素瘤中糖酵解和免疫反应相关的六个基因特征。
Front Immunol. 2021 Sep 22;12:738068. doi: 10.3389/fimmu.2021.738068. eCollection 2021.
9
High EIF4E2 expression is an independent prognostic risk factor for poor overall survival and recurrence-free survival in uveal melanoma.EIF4E2 高表达是葡萄膜黑色素瘤患者总生存期和无复发生存期不良的独立预后危险因素。
Exp Eye Res. 2021 May;206:108558. doi: 10.1016/j.exer.2021.108558. Epub 2021 Mar 27.
10
Deep learning classification of uveal melanoma based on histopathological images and identification of a novel indicator for prognosis of patients.基于组织病理学图像的葡萄膜黑色素瘤深度学习分类及患者预后新指标的识别。
Biol Proced Online. 2023 Jun 2;25(1):15. doi: 10.1186/s12575-023-00207-0.

引用本文的文献

1
The roles of genetic mutation and cytokines/chemokines in immune response and their association with uveal melanoma patient outcome.基因突变和细胞因子/趋化因子在免疫反应中的作用及其与葡萄膜黑色素瘤患者预后的关联。
Heliyon. 2024 Sep 11;10(18):e37852. doi: 10.1016/j.heliyon.2024.e37852. eCollection 2024 Sep 30.

本文引用的文献

1
Improved Prognostic Precision in Uveal Melanoma through a Combined Score of Clinical Stage and Molecular Prognostication.通过临床分期和分子预后评估的综合评分提高葡萄膜黑色素瘤的预后预测准确性
Ocul Oncol Pathol. 2022 Feb;8(1):35-41. doi: 10.1159/000520218. Epub 2021 Nov 1.
2
Bioinformatic Analysis Reveals Central Role for Tumor-Infiltrating Immune Cells in Uveal Melanoma Progression.生物信息学分析揭示肿瘤浸润免疫细胞在葡萄膜黑色素瘤进展中的核心作用。
J Immunol Res. 2021 Jun 11;2021:9920234. doi: 10.1155/2021/9920234. eCollection 2021.
3
Construction of a Promising Tumor-Infiltrating CD8+ T Cells Gene Signature to Improve Prediction of the Prognosis and Immune Response of Uveal Melanoma.
构建一个有前景的肿瘤浸润性CD8 + T细胞基因特征以改善葡萄膜黑色素瘤预后和免疫反应的预测
Front Cell Dev Biol. 2021 May 28;9:673838. doi: 10.3389/fcell.2021.673838. eCollection 2021.
4
Tumor-infiltrating lymphocytes in the immunotherapy era.免疫治疗时代的肿瘤浸润淋巴细胞。
Cell Mol Immunol. 2021 Apr;18(4):842-859. doi: 10.1038/s41423-020-00565-9. Epub 2020 Nov 2.
5
Uveal melanoma.葡萄膜黑素瘤。
Nat Rev Dis Primers. 2020 Apr 9;6(1):24. doi: 10.1038/s41572-020-0158-0.
6
Single-cell analysis reveals new evolutionary complexity in uveal melanoma.单细胞分析揭示葡萄膜黑色素瘤的新进化复杂性。
Nat Commun. 2020 Jan 24;11(1):496. doi: 10.1038/s41467-019-14256-1.
7
Molecular profiling of primary uveal melanomas with tumor-infiltrating lymphocytes.原发葡萄膜黑色素瘤的肿瘤浸润淋巴细胞的分子分析。
Oncoimmunology. 2014 Oct 31;8(10):e947169. doi: 10.4161/21624011.2014.947169. eCollection 2019.
8
Immunological Backbone of Uveal Melanoma: Is There a Rationale for Immunotherapy?葡萄膜黑色素瘤的免疫基础:免疫治疗是否有理论依据?
Cancers (Basel). 2019 Jul 26;11(8):1055. doi: 10.3390/cancers11081055.
9
DNA alteration-based classification of uveal melanoma gives better prognostic stratification than immune infiltration, which has a neutral effect in high-risk group.基于 DNA 改变的葡萄膜黑色素瘤分类优于免疫浸润,在高危组中免疫浸润的效果为中性。
Cancer Med. 2019 Jun;8(6):3036-3046. doi: 10.1002/cam4.2122. Epub 2019 Apr 25.
10
Beyond the tumour microenvironment.超越肿瘤微环境。
Int J Cancer. 2019 Nov 15;145(10):2611-2618. doi: 10.1002/ijc.32343. Epub 2019 Apr 29.