Suppr超能文献

重组腺相关病毒的基因组设计导致小鼠肝脏和脾脏的病理变化。

Genomic Designs of rAAVs Contribute to Pathological Changes in the Livers and Spleens of Mice.

作者信息

Mulcrone Patrick L, Zhang Junping, Pride P Melanie, Lam Anh K, Frabutt Dylan A, Ball-Kell Susan M, Xiao Weidong

机构信息

Herman B Wells Center for Pediatric Research, Indiana University, USA.

Department of Pediatrics, Indiana University, USA.

出版信息

Adv Cell Gene Ther. 2022;2022. doi: 10.1155/2022/6807904. Epub 2022 Mar 20.

Abstract

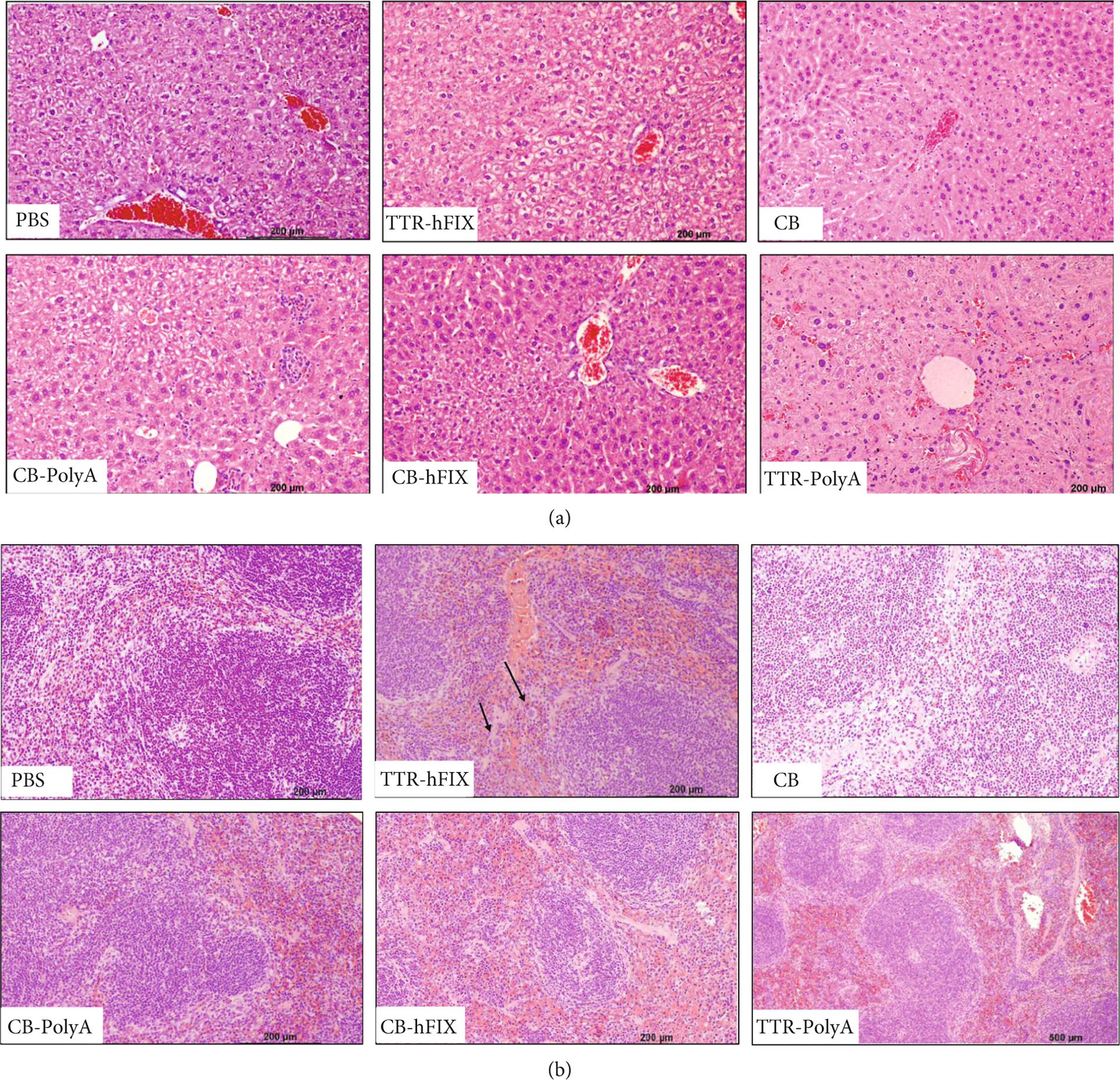
Recombinant AAV (rAAV) gene therapy is being investigated as an effective therapy for several diseases including hemophilia B. Reports of liver tumor development in certain mouse models due to AAV treatment and genomic integration of the rAAV vector has raised concerns about the long-term safety and efficacy of this gene therapy. To investigate whether rAAV treatment causes cancer, we utilized two mouse models, inbred C57BL/6 and hemophilia B Balb/C mice (HemB), to test if injecting a high dose of various rAAV8 vectors containing or lacking hFIX transgene, a Poly-A sequence, or the CB or TTR promoter triggered liver fibrosis and/or cancer development over the course of the 6.5-month study. We observed no liver tumors in either mouse cohort regardless of rAAV treatment through ultrasound imaging, gross anatomical assessment at sacrifice, and histology. We did, however, detect differences in collagen deposition in C57BL/6 livers and HemB spleens of rAAV-injected mice. Pathology reports of the HemB mice revealed many pathological phenomena, including fibrosis and inflammation in the livers and spleens across different AAV-injected HemB mice. Mice from both cohorts injected with the TTR-hFIX vector demonstrated minimal adverse events. While not tumorigenic, high dose of rAAVs, especially those with incomplete genomes, can influence liver and spleen health negatively that could be problematic for cementing AAVs as a broad therapeutic option in the clinic.

摘要

重组腺相关病毒(rAAV)基因疗法正在作为包括乙型血友病在内的多种疾病的有效治疗方法进行研究。某些小鼠模型中因AAV治疗和rAAV载体的基因组整合而出现肝肿瘤发展的报告引发了对这种基因疗法长期安全性和有效性的担忧。为了研究rAAV治疗是否会引发癌症,我们利用了两种小鼠模型,近交系C57BL/6和乙型血友病Balb/C小鼠(HemB),来测试在为期6.5个月的研究过程中,注射高剂量的各种含有或缺乏hFIX转基因、聚腺苷酸序列或CB或TTR启动子的rAAV8载体是否会引发肝纤维化和/或癌症发展。通过超声成像、处死时的大体解剖评估和组织学检查,我们在两个小鼠队列中均未观察到无论rAAV治疗如何的肝肿瘤。然而,我们确实在注射rAAV的C57BL/6肝脏和HemB脾脏中检测到了胶原蛋白沉积的差异。HemB小鼠的病理报告揭示了许多病理现象,包括不同AAV注射的HemB小鼠肝脏和脾脏中的纤维化和炎症。两个队列中注射TTR-hFIX载体的小鼠均表现出最小的不良事件。虽然不具有致瘤性,但高剂量的rAAV,尤其是那些基因组不完整的rAAV,会对肝脏和脾脏健康产生负面影响;这对于将AAV确立为临床上广泛的治疗选择可能是个问题。

https://cdn.ncbi.nlm.nih.gov/pmc/blobs/930a/9730939/7a14d7265df7/nihms-1853850-f0001.jpg

文献AI研究员

20分钟写一篇综述,助力文献阅读效率提升50倍。

立即体验

用中文搜PubMed

大模型驱动的PubMed中文搜索引擎

马上搜索

文档翻译

学术文献翻译模型,支持多种主流文档格式。

立即体验