Suppr超能文献

一种中药复方改善雌性大鼠间歇性冷暴露诱导的肠道微生物群失调。

A Chinese herbs complex ameliorates gut microbiota dysbiosis induced by intermittent cold exposure in female rats.

作者信息

Jin Lu, Bian Xiangyu, Dong Weiyun, Yang Renren, Jing Che, Li Xi, Yang Danfeng, Guo Changjiang, Gao Weina

机构信息

Department of Nutrition and Food Hygiene, Institute of Environmental and Operational Medicine, Tianjin, China.

出版信息

Front Microbiol. 2022 Nov 30;13:1065780. doi: 10.3389/fmicb.2022.1065780. eCollection 2022.

Abstract

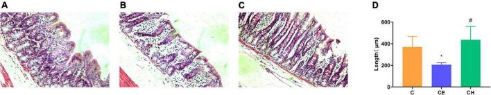
Cold is a common source of stress in the alpine areas of northern China. It affects the microbial community, resulting in the invasion of pathogenic microorganisms and intestinal diseases. In recent years, studies have reported that Chinese herbal extracts and their fermentation broth have a significant beneficial effect on gut microbiota. This study aimed to investigate the probiotic effect of a self-designed Chinese herbs complex on the gut microbiota of rats exposed to cold. The rats were treated with intermittent cold exposure and Chinese herbs complex for 14 days, and the gut microbiota composition and other parameters were assayed. The 16s ribosomal DNA high-throughput sequencing and analysis confirmed that the Chinese herbs complex positively improved the gut microbiota. We found that cold exposure could lead to significant changes in the composition of gut microbiota, and affect the intestinal barrier and other physiological functions. The relative abundance of some probiotics in the genus such as in rats treated with Chinese herbs complex was significantly increased. Serum D-lactic acid (D-LA) and lipopolysaccharide (LPS) were increased in the cold exposure group and decreased in the Chinese herbs complex-treated group. Moreover, the Chinese herbs complex significantly increased the protein expression of occludin. In conclusion, the Chinese herbs complex is effective in restoring the gut microbiota caused by cold exposure, improving the function of the intestinal barrier, and may act as a prebiotic in combatting gut dysbiosis.

摘要

寒冷是中国北方高寒地区常见的应激源。它会影响微生物群落,导致病原微生物入侵和肠道疾病。近年来,有研究报道中草药提取物及其发酵液对肠道微生物群有显著的有益作用。本研究旨在探讨自行设计的中药复方对冷暴露大鼠肠道微生物群的益生菌作用。对大鼠进行间歇性冷暴露并给予中药复方处理14天,检测肠道微生物群组成等参数。16s核糖体DNA高通量测序分析证实,中药复方对肠道微生物群有积极改善作用。我们发现,冷暴露可导致肠道微生物群组成发生显著变化,并影响肠道屏障及其他生理功能。中药复方处理组大鼠体内某些益生菌属的相对丰度显著增加。冷暴露组血清D-乳酸(D-LA)和脂多糖(LPS)升高,中药复方处理组降低。此外,中药复方显著增加了闭合蛋白的蛋白表达。总之,中药复方在恢复冷暴露引起的肠道微生物群、改善肠道屏障功能方面有效,可能作为益生元对抗肠道菌群失调。

https://cdn.ncbi.nlm.nih.gov/pmc/blobs/71b4/9748289/ed7a98a2717c/fmicb-13-1065780-g001.jpg

文献AI研究员

20分钟写一篇综述,助力文献阅读效率提升50倍。

立即体验

用中文搜PubMed

大模型驱动的PubMed中文搜索引擎

马上搜索

文档翻译

学术文献翻译模型,支持多种主流文档格式。

立即体验