Suppr超能文献

绝经后转移性平滑肌瘤:一例病例报告及文献复习

Metastatic Leiomyoma Following Menopause: A Case Report and Review of Literature.

作者信息

Otsuka Shoko, Yanazume Shintaro, Mizuno Mika, Togami Shinichi, Kobayashi Hiroaki

机构信息

Department of Obstetrics and Gynecology, Kagoshima University Hospital, Kagoshima, JPN.

出版信息

Cureus. 2022 Nov 15;14(11):e31549. doi: 10.7759/cureus.31549. eCollection 2022 Nov.

Abstract

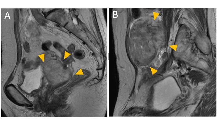
Uterine leiomyomas commonly reduce naturally after menopause. We report a rare case of metastasizing leiomyoma that grew after surgical menopause. A 68-year-old woman suffered from pelvic and lung masses without clinical symptoms. Nineteen years ago, she underwent a total hysterectomy and bilateral adnexectomy for multiple uterine myomas and bilateral endometriotic cysts. She has since been regularly prescribed conjugated estrogens. Surgery was scheduled in order to rule out malignancy; abdominal masses resection and thoracoscopic left partial pulmonary resection (S3, S4, S10) were performed. The histological diagnosis was leiomyoma in both abdominal and lung masses, and there was no evidence of gene mutations, which suggested that leiomyosarcoma was indicated. This case may indicate that hormone replacement was augmented via derived nutrient vessels after a surgical ovarian absence.

摘要

子宫平滑肌瘤通常在绝经后自然缩小。我们报告一例罕见的转移性平滑肌瘤,其在手术绝经后仍生长。一名68岁女性患有盆腔和肺部肿块但无临床症状。19年前,她因多发性子宫肌瘤和双侧子宫内膜异位囊肿接受了全子宫切除术和双侧附件切除术。此后她一直定期服用结合雌激素。为排除恶性肿瘤安排了手术;进行了腹部肿块切除术和胸腔镜下左肺部分切除术(S3、S4、S10)。组织学诊断为腹部和肺部肿块均为平滑肌瘤,且没有基因突变的证据,提示为平滑肌肉瘤。该病例可能表明,手术切除卵巢后,激素替代通过衍生的营养血管增强。

https://cdn.ncbi.nlm.nih.gov/pmc/blobs/3d0b/9757889/742d226e188f/cureus-0014-00000031549-i01.jpg

文献AI研究员

20分钟写一篇综述,助力文献阅读效率提升50倍。

立即体验

用中文搜PubMed

大模型驱动的PubMed中文搜索引擎

马上搜索

文档翻译

学术文献翻译模型,支持多种主流文档格式。

立即体验