• 文献检索
  • 文档翻译
  • 深度研究
  • 学术资讯
  • Suppr Zotero 插件Zotero 插件
  • 邀请有礼
  • 套餐&价格
  • 历史记录
应用&插件
Suppr Zotero 插件Zotero 插件浏览器插件Mac 客户端Windows 客户端微信小程序
定价
高级版会员购买积分包购买API积分包
服务
文献检索文档翻译深度研究API 文档MCP 服务
关于我们
关于 Suppr公司介绍联系我们用户协议隐私条款
关注我们

Suppr 超能文献

核心技术专利:CN118964589B侵权必究
粤ICP备2023148730 号-1Suppr @ 2026

文献检索

告别复杂PubMed语法,用中文像聊天一样搜索,搜遍4000万医学文献。AI智能推荐,让科研检索更轻松。

立即免费搜索

文件翻译

保留排版,准确专业,支持PDF/Word/PPT等文件格式,支持 12+语言互译。

免费翻译文档

深度研究

AI帮你快速写综述,25分钟生成高质量综述,智能提取关键信息,辅助科研写作。

立即免费体验

三期梅毒诊断难点:病例报告并文献复习

Challenges in the Diagnosis of Tertiary Syphilis: Case Report with Literature Review.

机构信息

Department of Dermatology, Heliodor Święcicki Clinical Hospital, Poznan University of Medical Sciences, 60-806 Poznan, Poland.

Department of Dermatology and Venenerology, Poznan University of Medical Sciences, 60-806 Poznan, Poland.

出版信息

Int J Environ Res Public Health. 2022 Dec 17;19(24):16992. doi: 10.3390/ijerph192416992.

DOI:10.3390/ijerph192416992
PMID:36554872
原文链接:https://pmc.ncbi.nlm.nih.gov/articles/PMC9778711/
Abstract

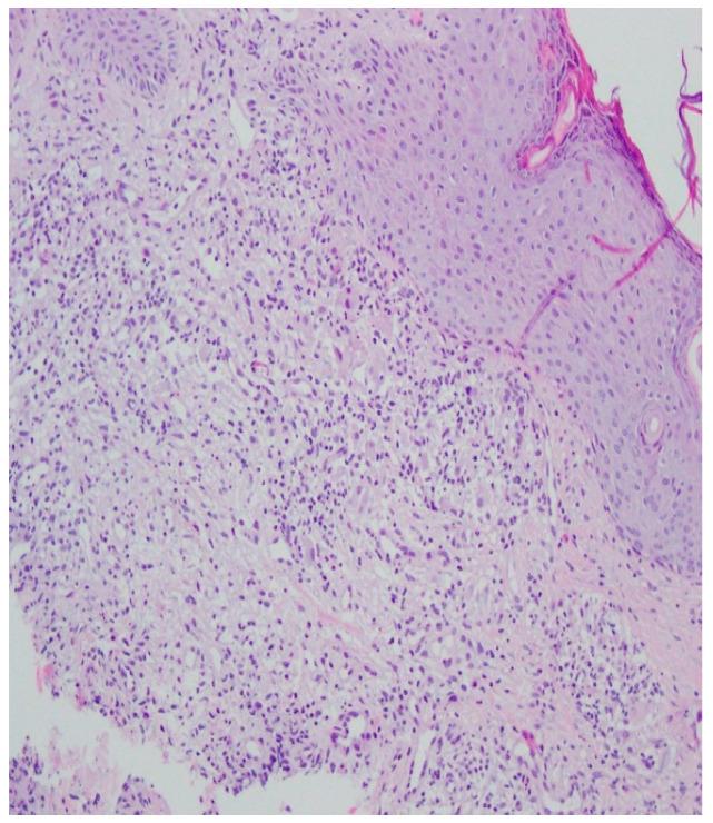
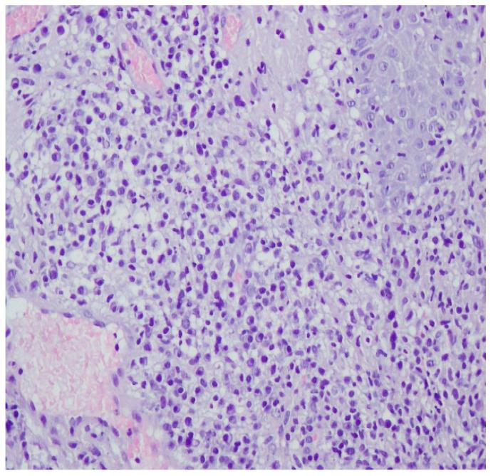
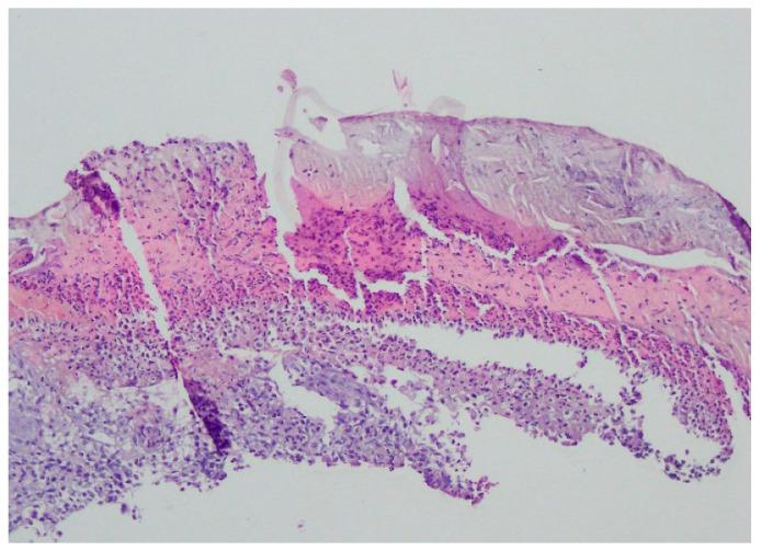
Tertiary syphilis is a large diagnostic challenge. It is rarely the case that it affects the skin, bone tissue and the eyes at the same time. The presented case shows that extensive symptomatology of syphilis poses a challenge in making a proper diagnosis in patients whose history does not suspect STDs. The study aims to present the case of a young woman hospitalized with a suspected autoimmune disease, diagnosed with symptomatic late syphilis with involvement of the skin, bones and eyes.

摘要

三期梅毒是一个重大的诊断挑战。它很少同时影响皮肤、骨骼组织和眼睛。所呈现的病例表明,在那些病史不怀疑性传播疾病的患者中,广泛的梅毒症状表现给正确诊断带来了挑战。本研究旨在介绍一例年轻女性住院的病例,该女性被怀疑患有自身免疫性疾病,后被诊断为症状性晚期梅毒,涉及皮肤、骨骼和眼睛。

https://cdn.ncbi.nlm.nih.gov/pmc/blobs/c2c0/9778711/76869cafde86/ijerph-19-16992-g014.jpg
https://cdn.ncbi.nlm.nih.gov/pmc/blobs/c2c0/9778711/12f9c50abce1/ijerph-19-16992-g001.jpg
https://cdn.ncbi.nlm.nih.gov/pmc/blobs/c2c0/9778711/6e2d6a834dd0/ijerph-19-16992-g002.jpg
https://cdn.ncbi.nlm.nih.gov/pmc/blobs/c2c0/9778711/09e8f91f69cc/ijerph-19-16992-g003.jpg
https://cdn.ncbi.nlm.nih.gov/pmc/blobs/c2c0/9778711/dedfd5de9e5b/ijerph-19-16992-g004.jpg
https://cdn.ncbi.nlm.nih.gov/pmc/blobs/c2c0/9778711/29d35aae6512/ijerph-19-16992-g005.jpg
https://cdn.ncbi.nlm.nih.gov/pmc/blobs/c2c0/9778711/d52f814e8619/ijerph-19-16992-g006.jpg
https://cdn.ncbi.nlm.nih.gov/pmc/blobs/c2c0/9778711/84301636deef/ijerph-19-16992-g007.jpg
https://cdn.ncbi.nlm.nih.gov/pmc/blobs/c2c0/9778711/1b7d986f4bda/ijerph-19-16992-g008.jpg
https://cdn.ncbi.nlm.nih.gov/pmc/blobs/c2c0/9778711/92080b209c0a/ijerph-19-16992-g009.jpg
https://cdn.ncbi.nlm.nih.gov/pmc/blobs/c2c0/9778711/0e4a8626d756/ijerph-19-16992-g010.jpg
https://cdn.ncbi.nlm.nih.gov/pmc/blobs/c2c0/9778711/3d7a9c3ab87a/ijerph-19-16992-g011.jpg
https://cdn.ncbi.nlm.nih.gov/pmc/blobs/c2c0/9778711/ce65b3d47747/ijerph-19-16992-g012.jpg
https://cdn.ncbi.nlm.nih.gov/pmc/blobs/c2c0/9778711/c604e5854b73/ijerph-19-16992-g013.jpg
https://cdn.ncbi.nlm.nih.gov/pmc/blobs/c2c0/9778711/76869cafde86/ijerph-19-16992-g014.jpg
https://cdn.ncbi.nlm.nih.gov/pmc/blobs/c2c0/9778711/12f9c50abce1/ijerph-19-16992-g001.jpg
https://cdn.ncbi.nlm.nih.gov/pmc/blobs/c2c0/9778711/6e2d6a834dd0/ijerph-19-16992-g002.jpg
https://cdn.ncbi.nlm.nih.gov/pmc/blobs/c2c0/9778711/09e8f91f69cc/ijerph-19-16992-g003.jpg
https://cdn.ncbi.nlm.nih.gov/pmc/blobs/c2c0/9778711/dedfd5de9e5b/ijerph-19-16992-g004.jpg
https://cdn.ncbi.nlm.nih.gov/pmc/blobs/c2c0/9778711/29d35aae6512/ijerph-19-16992-g005.jpg
https://cdn.ncbi.nlm.nih.gov/pmc/blobs/c2c0/9778711/d52f814e8619/ijerph-19-16992-g006.jpg
https://cdn.ncbi.nlm.nih.gov/pmc/blobs/c2c0/9778711/84301636deef/ijerph-19-16992-g007.jpg
https://cdn.ncbi.nlm.nih.gov/pmc/blobs/c2c0/9778711/1b7d986f4bda/ijerph-19-16992-g008.jpg
https://cdn.ncbi.nlm.nih.gov/pmc/blobs/c2c0/9778711/92080b209c0a/ijerph-19-16992-g009.jpg
https://cdn.ncbi.nlm.nih.gov/pmc/blobs/c2c0/9778711/0e4a8626d756/ijerph-19-16992-g010.jpg
https://cdn.ncbi.nlm.nih.gov/pmc/blobs/c2c0/9778711/3d7a9c3ab87a/ijerph-19-16992-g011.jpg
https://cdn.ncbi.nlm.nih.gov/pmc/blobs/c2c0/9778711/ce65b3d47747/ijerph-19-16992-g012.jpg
https://cdn.ncbi.nlm.nih.gov/pmc/blobs/c2c0/9778711/c604e5854b73/ijerph-19-16992-g013.jpg
https://cdn.ncbi.nlm.nih.gov/pmc/blobs/c2c0/9778711/76869cafde86/ijerph-19-16992-g014.jpg

相似文献

1
Challenges in the Diagnosis of Tertiary Syphilis: Case Report with Literature Review.三期梅毒诊断难点:病例报告并文献复习
Int J Environ Res Public Health. 2022 Dec 17;19(24):16992. doi: 10.3390/ijerph192416992.
2
Simultaneous ocular and osseous syphilis: a case report.同时发生的眼部和骨骼梅毒:一例报告。
Arq Bras Oftalmol. 2022 May-Jun;85(3):301-305. doi: 10.5935/0004-2749.20220043.
3
Unusual Manifestations of Secondary Syphilis: Case Presentations.二期梅毒的不寻常表现:病例报告
Acta Dermatovenerol Croat. 2018 Jun;26(2):186-188.
4
Late Neurosyphilis and Tertiary Syphilis in Guangdong Province, China: Results from a Cross-sectional Study.中国广东省晚期神经梅毒和三期梅毒:一项横断面研究的结果。
Sci Rep. 2017 Mar 24;7:45339. doi: 10.1038/srep45339.
5
Two recent cases of tertiary syphilis.近期两例三期梅毒病例。
Eur J Dermatol. 1999 Jun;9(4):300-2.
6
Two recent cases of tertiary syphilis.近期两例三期梅毒病例。
Eur J Dermatol. 1999 Jul-Aug;9(5):371-3.
7
Gastric syphilis: case report and review of the literature.胃梅毒:病例报告及文献综述
Radiat Med. 1994 Jul-Aug;12(4):171-5.
8
Nodulo-ulcerative syphilis - case report and the review of literature.结节-溃疡性梅毒——病例报告及文献复习。
Przegl Epidemiol. 2022;76(2):184-189. doi: 10.32394/pe.76.18.
9
Tertiary hepatic syphilis. A treatable cause of multinodular liver.三期肝梅毒。多结节性肝脏的一个可治疗病因。
Dig Dis Sci. 1997 Feb;42(2):447-50. doi: 10.1023/a:1018855011180.
10
[Ocular syphilis, the rise of a forgotten disease: Retrospective study of 18 cases diagnosed at Amiens University Hospital].[眼部梅毒,一种被遗忘疾病的抬头:对亚眠大学医院确诊的18例病例的回顾性研究]
J Fr Ophtalmol. 2021 Dec;44(10):1566-1575. doi: 10.1016/j.jfo.2021.04.017. Epub 2021 Nov 1.

引用本文的文献

1
Evaluation of MAGLUMI syphilis test for accurate detection of syphilis antibodies in blood donors and suspected syphilis cases.评估迈瑞梅毒检测在准确检测献血者和疑似梅毒病例血液中梅毒抗体方面的性能。
Front Cell Infect Microbiol. 2025 May 15;15:1578060. doi: 10.3389/fcimb.2025.1578060. eCollection 2025.
2
Comparative analysis of language models in addressing syphilis-related queries.语言模型在处理梅毒相关查询方面的比较分析。
Med Oral Patol Oral Cir Bucal. 2025 Jul 1;30(4):e551-e560. doi: 10.4317/medoral.27092.
3
A comprehensive strategy for the development of a multi-epitope vaccine targeting , utilizing heat shock proteins, encompassing the entire process from vaccine design to evaluation of immunogenicity.

本文引用的文献

1
A peculiar case of syphilis infection: The great imitator is on the rise.梅毒感染的一个特殊病例:“伟大模仿者”正在抬头。
IDCases. 2022 May 18;28:e01521. doi: 10.1016/j.idcr.2022.e01521. eCollection 2022.
2
Tertiary syphilis mimicking metastatic rectal cancer.模仿转移性直肠癌的三期梅毒。
J Surg Case Rep. 2022 Mar 26;2022(3):rjac093. doi: 10.1093/jscr/rjac093. eCollection 2022 Mar.
3
Neurosyphilis presenting with focal middle cerebral artery stenosis and acute ischemic stroke: A case report.以大脑中动脉局灶性狭窄和急性缺血性卒中为表现的神经梅毒:一例报告。
一种开发针对……的多表位疫苗的综合策略,利用热休克蛋白,涵盖从疫苗设计到免疫原性评估的整个过程。 (注:原文中“targeting”后缺少具体目标,翻译时保留原文状态)
Front Microbiol. 2025 Mar 19;16:1551437. doi: 10.3389/fmicb.2025.1551437. eCollection 2025.
4
Through the Eyes: A Case of Ocular Syphilis.透过眼睛:一例眼梅毒病例。
Cureus. 2023 Nov 3;15(11):e48236. doi: 10.7759/cureus.48236. eCollection 2023 Nov.
Radiol Case Rep. 2022 Mar 18;17(5):1620-1625. doi: 10.1016/j.radcr.2022.02.044. eCollection 2022 May.
4
Contained rupture of an aortic arch aneurysm in a patient with syphilitic aortitis. A case report.梅毒主动脉炎患者主动脉弓动脉瘤的局限性破裂。病例报告。
J Vasc Bras. 2022 Jan 7;20:e20210160. doi: 10.1590/1677-5449.210160. eCollection 2021.
5
Cutaneous tertiary syphilitic gumma on the scalp.头皮上的皮肤三期梅毒树胶肿。
J Eur Acad Dermatol Venereol. 2022 May;36(5):e350-e352. doi: 10.1111/jdv.17863. Epub 2021 Dec 21.
6
Syphilis: then and now.梅毒:过去与现在。
Postepy Dermatol Alergol. 2021 Aug;38(4):550-554. doi: 10.5114/ada.2021.108930. Epub 2021 Sep 17.
7
Sudden death due to rupture of an aortic syphilitic aneurysm.梅毒性主动脉瘤破裂导致的猝死。
Forensic Sci Med Pathol. 2022 Mar;18(1):106-109. doi: 10.1007/s12024-021-00419-4. Epub 2021 Oct 16.
8
The Great Impostor Did It Again: Syphilitic Arthritis.“大冒名顶替者”再次作案:梅毒性关节炎
Cureus. 2021 Aug 21;13(8):e17344. doi: 10.7759/cureus.17344. eCollection 2021 Aug.
9
Syphilitic Popliteal Pseudoaneurysm Complicated by Acute Lower-Limb Ischemia.梅毒性腘动脉假性动脉瘤合并急性下肢缺血
Vasc Endovascular Surg. 2022 Jan;56(1):95-97. doi: 10.1177/15385744211042492. Epub 2021 Sep 2.
10
Spinal Syphilitic Gumma: A Rare Presentation of an Old Disease.脊髓梅毒瘤:一种古老疾病的罕见表现。
Case Rep Infect Dis. 2021 Jun 2;2021:5533686. doi: 10.1155/2021/5533686. eCollection 2021.