Suppr超能文献

一名儿科患者的癫痫诱发咯血

Seizure-Induced Hemoptysis in a Pediatric Patient.

作者信息

Nangia Ritika, Kahwaty Margaret, Sachdeva Ashutosh, Kotwal Nidhi

机构信息

Section of Interventional Pulmonology, Division of Pulmonary and Critical Care, University of Maryland School of Medicine, Baltimore, MD 21201, USA.

Department of Pediatrics, University of Maryland, Baltimore 22S Greene Street, Baltimore, MD 21201, USA.

出版信息

Case Rep Pediatr. 2022 Dec 23;2022:6059007. doi: 10.1155/2022/6059007. eCollection 2022.

Abstract

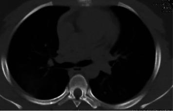
Hemoptysis can complicate seizures, albeit rarely. This unfamiliar presentation, reported infrequently in adults, can also affect children. This remains a rare clinical entity in pediatrics and we report one such case and its association with sterol carrier protein (SCP) gene mutation. We present a case of a 16-year-old male with recurrent episodes of hemoptysis following seizures. The diagnostic workup for etiology of the hemoptysis was unrevealing and he was ultimately treated for neurogenic pulmonary edema as a diagnosis of exclusion. He achieved complete resolution with supportive care and diuretics. Our case report describes the clinical and radiological presentation and overall management of post-ictal pulmonary hemorrhage and edema in a pediatric patient. In addition, it reports a new finding of possible association with sterol carrier protein (SCP2) carrier status. It also highlights a rare but potentially life-threatening consequence of inadequate seizure control in pediatric patients.

摘要

咯血可能使癫痫发作复杂化,尽管这种情况很少见。这种不常见的表现,在成人中报道较少,也可能影响儿童。这在儿科仍然是一种罕见的临床病症,我们报告了这样一例病例及其与固醇载体蛋白(SCP)基因突变的关联。我们介绍了一名16岁男性患者,在癫痫发作后反复出现咯血。对咯血病因的诊断性检查未发现异常,最终他被作为排除性诊断接受神经源性肺水肿的治疗。通过支持治疗和利尿剂,他完全康复。我们的病例报告描述了一名儿科患者发作后肺出血和水肿的临床及影像学表现以及整体治疗情况。此外,报告了一项与固醇载体蛋白(SCP2)携带者状态可能存在关联的新发现。它还强调了儿科患者癫痫控制不佳的一种罕见但可能危及生命的后果。

https://cdn.ncbi.nlm.nih.gov/pmc/blobs/bb22/9803558/494af4bf4deb/CRIPE2022-6059007.001.jpg

文献AI研究员

20分钟写一篇综述,助力文献阅读效率提升50倍。

立即体验

用中文搜PubMed

大模型驱动的PubMed中文搜索引擎

马上搜索

文档翻译

学术文献翻译模型,支持多种主流文档格式。

立即体验