• 文献检索
  • 文档翻译
  • 深度研究
  • 学术资讯
  • Suppr Zotero 插件Zotero 插件
  • 邀请有礼
  • 套餐&价格
  • 历史记录
应用&插件
Suppr Zotero 插件Zotero 插件浏览器插件Mac 客户端Windows 客户端微信小程序
定价
高级版会员购买积分包购买API积分包
服务
文献检索文档翻译深度研究API 文档MCP 服务
关于我们
关于 Suppr公司介绍联系我们用户协议隐私条款
关注我们

Suppr 超能文献

核心技术专利:CN118964589B侵权必究
粤ICP备2023148730 号-1Suppr @ 2026

文献检索

告别复杂PubMed语法,用中文像聊天一样搜索,搜遍4000万医学文献。AI智能推荐,让科研检索更轻松。

立即免费搜索

文件翻译

保留排版,准确专业,支持PDF/Word/PPT等文件格式,支持 12+语言互译。

免费翻译文档

深度研究

AI帮你快速写综述,25分钟生成高质量综述,智能提取关键信息,辅助科研写作。

立即免费体验

被忽视的症状?顶叶步态向侧方冲动作为急性缺血性脑卒中的主要表现。

A neglected symptom? Parietal gait lateropulsion as primary manifestation of acute is-chemic stroke.

机构信息

Hospital Universitario "Dr. José E. González", Universidad Autónoma de Nuevo León, Monterrey, Nuevo León, México.

出版信息

Rev Neurol. 2023 Jan 16;76(2):69-73. doi: 10.33588/rn.7602.2021349.

DOI:10.33588/rn.7602.2021349
PMID:36631966
原文链接:https://pmc.ncbi.nlm.nih.gov/articles/PMC10364035/
Abstract

INTRODUCTION

Gait disorders are commonly overlooked as a presenting manifestation of stroke and underrepresented in case series. We describe four cases of sudden-onset gait lateropulsion as primary manifestation of parietal lobe stroke.

CASE REPORT

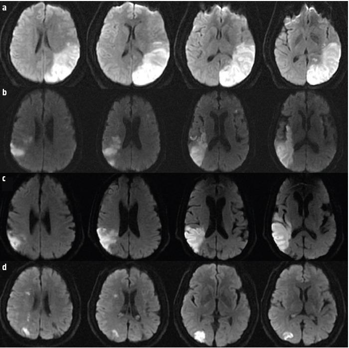
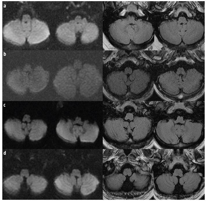
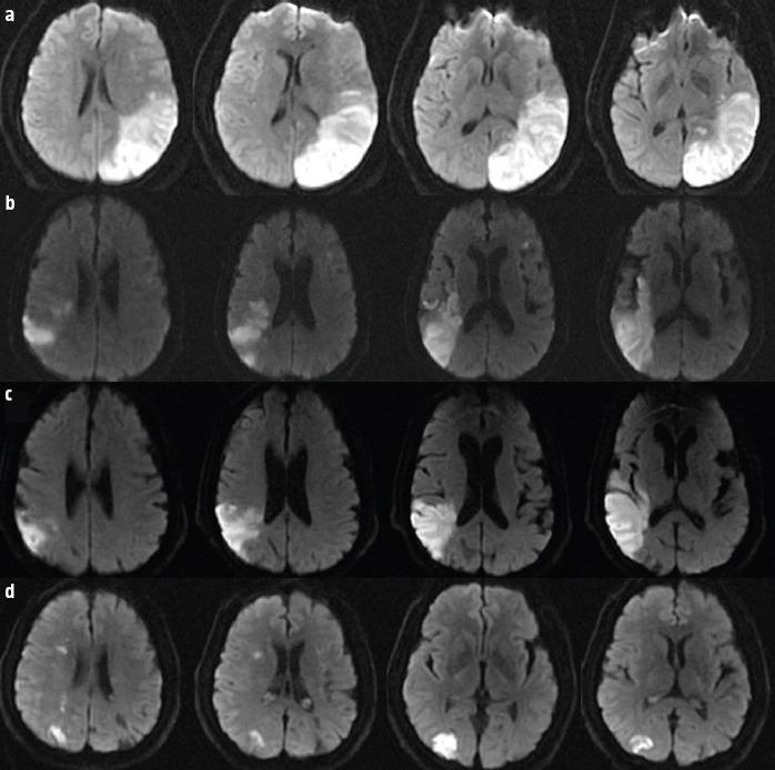
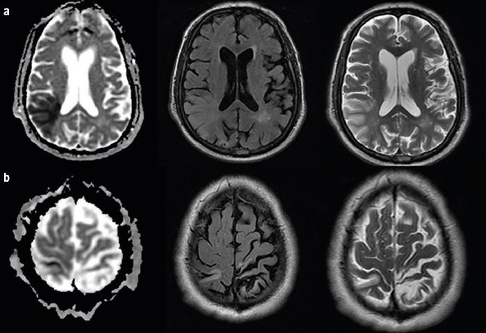
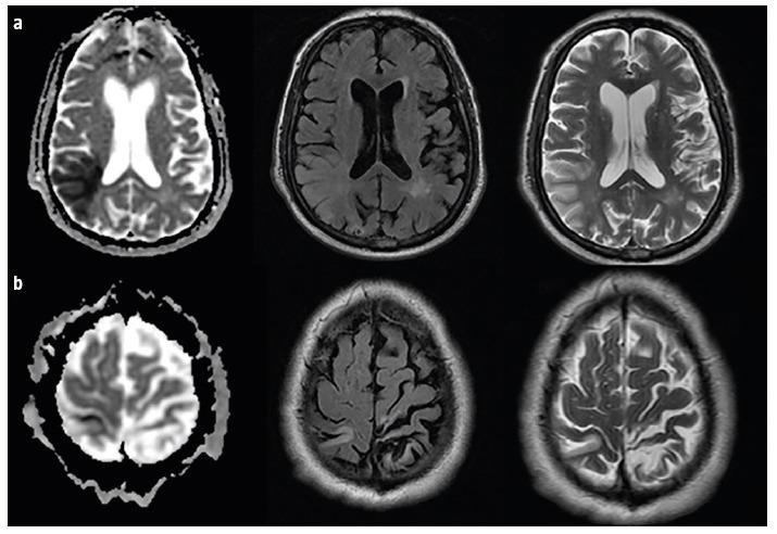
Four patients presented after sudden-onset gait lateropulsion. On neurological examination, all patients had at least one cortical sensory deficit and wide-based gait with lateropulsion towards the side of the cortical deficit. Neuroimaging revealed a subacute parietal lobe stroke contralateral to the side of gait lateropulsion. In two patients we found bilateral lateropulsion with predominance towards the side of cortical deficit and increase of unsteadiness with eye closure (an apparent Romberg sign), with neuroimaging revealing bilateral parietal strokes (subacute contralateral and chronic ipsilateral to gait lateropulsion).

CONCLUSION

We report gait lateropulsion as a novel primary manifestation of acute stroke of the parietal lobe (parietal gait lateropulsion). Given its role as the destination of proprioceptive pathways, parietal strokes can result in gait lateropulsion, with bilateral lesions even mimicking sensory ataxia with bilateral lateropulsion and unsteadiness upon eye closure.

摘要

介绍

步态障碍通常被忽视为中风的表现形式,在病例系列中代表性不足。我们描述了 4 例以突发性侧方步态偏倚为顶叶中风主要表现的病例。

病例报告

4 例患者出现突发性步态侧方偏倚。在神经学检查中,所有患者均至少存在一处皮质感觉缺失和宽基底步态,并伴有向皮质缺失侧的侧方偏倚。神经影像学显示与步态侧方偏倚侧相对应的亚急性顶叶中风。在 2 例患者中,我们发现双侧侧方偏倚,以皮质缺失侧为主,并伴有闭眼时不稳定性增加(明显的 Romberg 征),神经影像学显示双侧顶叶中风(亚急性对侧和慢性同侧与步态侧方偏倚)。

结论

我们报告了一种新的急性顶叶中风(顶叶步态侧方偏倚)的主要表现形式,即步态侧方偏倚。鉴于其作为本体感觉通路的目的地,顶叶中风可导致步态侧方偏倚,双侧病变甚至可模拟双侧侧方偏倚和闭眼时不稳定性的感觉性共济失调。

https://cdn.ncbi.nlm.nih.gov/pmc/blobs/d7b6/10364035/e002a96b628e/RN-76-69en-g003.jpg
https://cdn.ncbi.nlm.nih.gov/pmc/blobs/d7b6/10364035/2d5d1d92eb59/RN-76-69-g001.jpg
https://cdn.ncbi.nlm.nih.gov/pmc/blobs/d7b6/10364035/56c71f581ffe/RN-76-69-g002.jpg
https://cdn.ncbi.nlm.nih.gov/pmc/blobs/d7b6/10364035/e5227ebc72f8/RN-76-69-g003.jpg
https://cdn.ncbi.nlm.nih.gov/pmc/blobs/d7b6/10364035/086030a7ca62/RN-76-69en-g001.jpg
https://cdn.ncbi.nlm.nih.gov/pmc/blobs/d7b6/10364035/b1114664be95/RN-76-69en-g002.jpg
https://cdn.ncbi.nlm.nih.gov/pmc/blobs/d7b6/10364035/e002a96b628e/RN-76-69en-g003.jpg
https://cdn.ncbi.nlm.nih.gov/pmc/blobs/d7b6/10364035/2d5d1d92eb59/RN-76-69-g001.jpg
https://cdn.ncbi.nlm.nih.gov/pmc/blobs/d7b6/10364035/56c71f581ffe/RN-76-69-g002.jpg
https://cdn.ncbi.nlm.nih.gov/pmc/blobs/d7b6/10364035/e5227ebc72f8/RN-76-69-g003.jpg
https://cdn.ncbi.nlm.nih.gov/pmc/blobs/d7b6/10364035/086030a7ca62/RN-76-69en-g001.jpg
https://cdn.ncbi.nlm.nih.gov/pmc/blobs/d7b6/10364035/b1114664be95/RN-76-69en-g002.jpg
https://cdn.ncbi.nlm.nih.gov/pmc/blobs/d7b6/10364035/e002a96b628e/RN-76-69en-g003.jpg

相似文献

1
A neglected symptom? Parietal gait lateropulsion as primary manifestation of acute is-chemic stroke.被忽视的症状?顶叶步态向侧方冲动作为急性缺血性脑卒中的主要表现。
Rev Neurol. 2023 Jan 16;76(2):69-73. doi: 10.33588/rn.7602.2021349.
2
Robot-assisted gait training effectively improved lateropulsion in subacute stroke patients: a single-blinded randomized controlled trial.机器人辅助步态训练有效改善亚急性期脑卒中患者的侧方推动问题:一项单盲随机对照试验。
Eur J Phys Rehabil Med. 2018 Dec;54(6):827-836. doi: 10.23736/S1973-9087.18.05077-3. Epub 2018 Dec 3.
3
Improving orientation with respect to gravity enhances balance and gait recovery after stroke: DOBRAS cohort.改善重力定向有助于提高脑卒中后平衡和步态的恢复:DOBRAS 队列研究。
Ann Phys Rehabil Med. 2024 Feb;67(1):101767. doi: 10.1016/j.rehab.2023.101767. Epub 2024 Jan 23.
4
Balance, Lateropulsion, and Gait Disorders in Subacute Stroke.亚急性期脑卒中的平衡、侧方偏移和步态障碍。
Neurology. 2021 Apr 27;96(17):e2147-e2159. doi: 10.1212/WNL.0000000000011152. Epub 2020 Nov 11.
5
Lesion Localization of Poststroke Lateropulsion.脑卒中后 lateral push 定位损伤
Stroke. 2019 May;50(5):1067-1073. doi: 10.1161/STROKEAHA.118.023445.
6
Effect of postural training using a whole-body tilt apparatus in subacute stroke patients with lateropulsion: A single-blinded randomized controlled trial.使用全身倾斜装置对亚急性脑卒中伴侧方偏移患者进行姿势训练的效果:一项单盲随机对照试验。
Ann Phys Rehabil Med. 2021 Mar;64(2):101393. doi: 10.1016/j.rehab.2020.05.001. Epub 2020 Oct 14.
7
Outcomes with stroke and lateropulsion: a case-matched controlled study.中风与偏侧推挤的结局:一项病例匹配对照研究。
Neurorehabil Neural Repair. 2008 Jul-Aug;22(4):415-23. doi: 10.1177/1545968307313511. Epub 2008 Mar 11.
8
Time to recovery from lateropulsion dependent on key stroke deficits: a retrospective analysis.依赖关键卒中缺损的偏侧推挤恢复时间:一项回顾性分析
Neurorehabil Neural Repair. 2015 Mar-Apr;29(3):207-13. doi: 10.1177/1545968314541330. Epub 2014 Jul 8.
9
The association between neuroimaging data and presence of lateropulsion after stroke.卒中后出现侧冲与神经影像学数据之间的关联。
Top Stroke Rehabil. 2024 Dec;31(8):807-816. doi: 10.1080/10749357.2024.2340339. Epub 2024 Apr 10.
10
Is Lateropulsion Really Related with a Specific Lesion of the Brain?偏侧推挤真的与特定脑区病变有关吗?
Brain Sci. 2021 Mar 10;11(3):354. doi: 10.3390/brainsci11030354.

本文引用的文献

1
Lateropulsion After Hemispheric Stroke: A Form of Spatial Neglect Involving Graviception.半球卒中后的侧向推动:一种涉及重觉的空间忽视形式。
Neurology. 2021 Apr 27;96(17):e2160-e2171. doi: 10.1212/WNL.0000000000011826. Epub 2021 Mar 15.
2
Balance, Lateropulsion, and Gait Disorders in Subacute Stroke.亚急性期脑卒中的平衡、侧方偏移和步态障碍。
Neurology. 2021 Apr 27;96(17):e2147-e2159. doi: 10.1212/WNL.0000000000011152. Epub 2020 Nov 11.
3
Brain Structural Networks Associated with Intelligence and Visuomotor Ability.与智力和视动能力相关的大脑结构网络。
Sci Rep. 2017 May 19;7(1):2177. doi: 10.1038/s41598-017-02304-z.
4
Embolic Stroke of Undetermined Source: A Systematic Review and Clinical Update.不明来源栓塞性卒中:系统评价与临床进展
Stroke. 2017 Apr;48(4):867-872. doi: 10.1161/STROKEAHA.116.016414. Epub 2017 Mar 6.
5
Clinical investigation of disease of the parietal lobes of the brain.大脑顶叶疾病的临床研究
Med Clin North Am. 1962 May;46:837-57. doi: 10.1016/s0025-7125(16)33714-2.
6
Parietal motor syndrome: a clinical description in 32 patients in the acute phase of pure parietal strokes studied prospectively.顶叶运动综合征:对32例纯顶叶卒中急性期患者的前瞻性临床描述。
Clin Neurol Neurosurg. 1998 Dec;100(4):271-82. doi: 10.1016/s0303-8467(98)00054-7.
7
Parietal kinetic ataxia without proprioceptive deficit.顶叶运动性共济失调,无本体感觉缺陷。
J Neurol Neurosurg Psychiatry. 1995 Nov;59(5):531-3. doi: 10.1136/jnnp.59.5.531.