• 文献检索
  • 文档翻译
  • 深度研究
  • 学术资讯
  • Suppr Zotero 插件Zotero 插件
  • 邀请有礼
  • 套餐&价格
  • 历史记录
应用&插件
Suppr Zotero 插件Zotero 插件浏览器插件Mac 客户端Windows 客户端微信小程序
定价
高级版会员购买积分包购买API积分包
服务
文献检索文档翻译深度研究API 文档MCP 服务
关于我们
关于 Suppr公司介绍联系我们用户协议隐私条款
关注我们

Suppr 超能文献

核心技术专利:CN118964589B侵权必究
粤ICP备2023148730 号-1Suppr @ 2026

文献检索

告别复杂PubMed语法,用中文像聊天一样搜索,搜遍4000万医学文献。AI智能推荐,让科研检索更轻松。

立即免费搜索

文件翻译

保留排版,准确专业,支持PDF/Word/PPT等文件格式,支持 12+语言互译。

免费翻译文档

深度研究

AI帮你快速写综述,25分钟生成高质量综述,智能提取关键信息,辅助科研写作。

立即免费体验

以黑便为表现的转移性空肠肾细胞癌肠套叠

Metastatic Jejunal Renal Cell Carcinoma Intussusception Presenting as Melena.

作者信息

Elmusa Emad, Raza Muhammad Waleed, Hamza Ameer, Khokhar Hassan Tahir, Butt Mujtaba

机构信息

Internal Medicine, HCA Florida Orange Park Hospital, Orange Park, USA.

Gastroenterology, Borland Groover Clinic, Jacksonville, USA.

出版信息

Cureus. 2022 Dec 15;14(12):e32554. doi: 10.7759/cureus.32554. eCollection 2022 Dec.

DOI:10.7759/cureus.32554
PMID:36654622
原文链接:https://pmc.ncbi.nlm.nih.gov/articles/PMC9840379/
Abstract

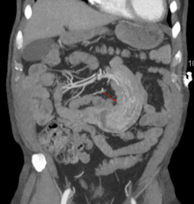
Renal cell carcinoma (RCC) most commonly metastasizes to the lungs, and it is uncommon for RCC to metastasize to the small bowel. Small bowel metastasis commonly presents with gastrointestinal (GI) bleeding. In rare cases, a metastatic small bowel mass can serve as a lead point for intussusception. In this report, we present the case of a male patient whose chief complaint was melena. The patient denied any abdominal pain or nausea. Investigation with push enteroscopy revealed a jejunal mass, and further evaluation with CT showed small bowel intussusception. The patient subsequently underwent small bowel resection and anastomosis. Histopathology confirmed that the jejunal mass was metastatic RCC. We present this case in order to showcase the utility of push enteroscopy in the diagnosis of small bowel metastasis in RCC.

摘要

肾细胞癌(RCC)最常转移至肺部,而RCC转移至小肠并不常见。小肠转移通常表现为胃肠道(GI)出血。在罕见情况下,转移性小肠肿块可作为肠套叠的起始点。在本报告中,我们介绍了一名以黑便为主诉的男性患者。患者否认有任何腹痛或恶心症状。推进式小肠镜检查发现空肠有肿块,CT进一步评估显示小肠套叠。该患者随后接受了小肠切除和吻合术。组织病理学证实空肠肿块为转移性RCC。我们展示此病例是为了说明推进式小肠镜在诊断RCC小肠转移中的作用。

https://cdn.ncbi.nlm.nih.gov/pmc/blobs/1f2a/9840379/b489b7a08fca/cureus-0014-00000032554-i07.jpg
https://cdn.ncbi.nlm.nih.gov/pmc/blobs/1f2a/9840379/5508aeeb587a/cureus-0014-00000032554-i01.jpg
https://cdn.ncbi.nlm.nih.gov/pmc/blobs/1f2a/9840379/1ccc61646a26/cureus-0014-00000032554-i02.jpg
https://cdn.ncbi.nlm.nih.gov/pmc/blobs/1f2a/9840379/b703b650cae5/cureus-0014-00000032554-i03.jpg
https://cdn.ncbi.nlm.nih.gov/pmc/blobs/1f2a/9840379/3e9518f6703b/cureus-0014-00000032554-i04.jpg
https://cdn.ncbi.nlm.nih.gov/pmc/blobs/1f2a/9840379/bcb34418f744/cureus-0014-00000032554-i05.jpg
https://cdn.ncbi.nlm.nih.gov/pmc/blobs/1f2a/9840379/5e3852e99bdd/cureus-0014-00000032554-i06.jpg
https://cdn.ncbi.nlm.nih.gov/pmc/blobs/1f2a/9840379/b489b7a08fca/cureus-0014-00000032554-i07.jpg
https://cdn.ncbi.nlm.nih.gov/pmc/blobs/1f2a/9840379/5508aeeb587a/cureus-0014-00000032554-i01.jpg
https://cdn.ncbi.nlm.nih.gov/pmc/blobs/1f2a/9840379/1ccc61646a26/cureus-0014-00000032554-i02.jpg
https://cdn.ncbi.nlm.nih.gov/pmc/blobs/1f2a/9840379/b703b650cae5/cureus-0014-00000032554-i03.jpg
https://cdn.ncbi.nlm.nih.gov/pmc/blobs/1f2a/9840379/3e9518f6703b/cureus-0014-00000032554-i04.jpg
https://cdn.ncbi.nlm.nih.gov/pmc/blobs/1f2a/9840379/bcb34418f744/cureus-0014-00000032554-i05.jpg
https://cdn.ncbi.nlm.nih.gov/pmc/blobs/1f2a/9840379/5e3852e99bdd/cureus-0014-00000032554-i06.jpg
https://cdn.ncbi.nlm.nih.gov/pmc/blobs/1f2a/9840379/b489b7a08fca/cureus-0014-00000032554-i07.jpg

相似文献

1
Metastatic Jejunal Renal Cell Carcinoma Intussusception Presenting as Melena.以黑便为表现的转移性空肠肾细胞癌肠套叠
Cureus. 2022 Dec 15;14(12):e32554. doi: 10.7759/cureus.32554. eCollection 2022 Dec.
2
Synchronous Jejunal Metastasis Presenting as Intussusception in a Case of Advanced RCC: a Rare Presentation.晚期肾细胞癌病例中以肠套叠形式出现的同步空肠转移:一种罕见表现
Indian J Surg. 2015 Feb;77(1):59-61. doi: 10.1007/s12262-013-1009-y. Epub 2013 Dec 4.
3
[Jejunal intussusception with gastrointestinal bleeding caused by metastatic lung cancer].[转移性肺癌导致的空肠套叠伴胃肠道出血]
Korean J Gastroenterol. 2008 Jun;51(6):377-80.
4
Renal Cell Carcinoma Metastasis to the Small Bowel: A Rare Finding 10 Years After Nephrectomy.肾细胞癌转移至小肠:肾切除术后10年的罕见发现
Cureus. 2024 Jan 29;16(1):e53141. doi: 10.7759/cureus.53141. eCollection 2024 Jan.
5
Case report and literature review: Small bowel intussusception due to solitary metachronous metastasis from renal cell carcinoma.病例报告及文献综述:肾细胞癌异时性孤立转移导致的小肠套叠
Front Oncol. 2022 Dec 19;12:1072485. doi: 10.3389/fonc.2022.1072485. eCollection 2022.
6
Small bowel metastases from renal cell carcinoma: a rare cause of intestinal intussusception.肾细胞癌的小肠转移:肠套叠的罕见病因。
J Nephrol. 2006 Mar-Apr;19(2):234-8.
7
Renal cell carcinoma with unusual metastasis to the small intestine manifesting as extensive polyposis: successful management with intraoperative therapeutic endoscopy.肾细胞癌罕见转移至小肠并表现为广泛息肉病:术中治疗性内镜检查成功治疗
Case Rep Gastroenterol. 2011 May;5(2):471-8. doi: 10.1159/000331136. Epub 2011 Aug 22.
8
Small bowel intussusception due to metastatic renal cell carcinoma.转移性肾细胞癌导致的小肠套叠
J Surg Case Rep. 2022 Aug 11;2022(8):rjac156. doi: 10.1093/jscr/rjac156. eCollection 2022 Aug.
9
A case of multiple intussusceptions in the small intestine caused by metastatic renal cell carcinoma.由转移性肾细胞癌引起的小肠多发性肠套叠病例。
Cancer Res Treat. 2008 Jun;40(2):97-9. doi: 10.4143/crt.2008.40.2.97. Epub 2008 Jun 30.
10
An unusual presentation of metastatic malignant melanoma causing jejuno-jejunal intussusception: a case report.转移性恶性黑色素瘤导致空肠-空肠套叠的罕见表现:一例报告
J Med Case Rep. 2018 Nov 13;12(1):337. doi: 10.1186/s13256-018-1887-5.

引用本文的文献

1
Molecular mechanisms of renal cell carcinoma metastasis and potential targets for therapy.肾细胞癌转移的分子机制及潜在治疗靶点
Front Cell Dev Biol. 2025 Jan 20;13:1521151. doi: 10.3389/fcell.2025.1521151. eCollection 2025.

本文引用的文献

1
Small bowel intussusception due to metastatic renal cell carcinoma.转移性肾细胞癌导致的小肠套叠
J Surg Case Rep. 2022 Aug 11;2022(8):rjac156. doi: 10.1093/jscr/rjac156. eCollection 2022 Aug.
2
Shear wave elastography evaluation in predicting the success of ultrasound-guided saline enema hydrostatic reduction technique in ileocolic intussusception.剪切波弹性成像评估在预测超声引导下生理盐水灌肠水压复位技术治疗回肠-结肠型肠套叠中的成功率。
Acta Radiol. 2022 Jul;63(7):862-866. doi: 10.1177/02841851211018799. Epub 2021 May 21.
3
Metastatic renal cell carcinoma presenting with melena.
以黑便为表现的转移性肾细胞癌。
Clin Case Rep. 2018 Mar 24;6(5):961-962. doi: 10.1002/ccr3.1492. eCollection 2018 May.
4
Small bowel intussusception from renal cell carcinoma metastasis: a case report and review of the literature.肾细胞癌转移导致小肠套叠:一例报告并文献复习
J Med Case Rep. 2016 Aug 11;10(1):222. doi: 10.1186/s13256-016-0998-0.
5
Seven-year survival after pancreaticoduodenectomy for early recurrent renal cell carcinoma involving the duodenum A case report.
Ann Ital Chir. 2015 Dec 29;86(ePub):S2239253X1502424X.
6
Triple jejuno-jejunal intussusception due to metastatic renal cell carcinoma.转移性肾细胞癌导致的三重重叠空肠套叠
J Surg Case Rep. 2015 Apr 17;2015(4):rjv047. doi: 10.1093/jscr/rjv047.
7
Small bowel metastases from renal cell carcinoma: a rare cause of intestinal intussusception.肾细胞癌的小肠转移:肠套叠的罕见病因。
J Nephrol. 2006 Mar-Apr;19(2):234-8.
8
The metastatic spread of kidney and prostate cancers in man.人类肾癌和前列腺癌的转移扩散
Neoplasma. 1976;23(3):323-32.