National Institute of Oceanography and Fisheries (NIOF), Cairo 11516, Egypt.
Department of Biomedical Dental Sciences, College of Dentistry, Imam Abdulrahman Bin Faisal University, P.O. Box 1982, Dammam 31441, Saudi Arabia.
Mar Drugs. 2023 Jan 7;21(1):45. doi: 10.3390/md21010045.
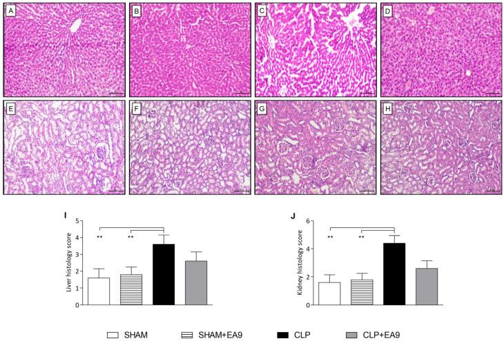
This study aims to obtain a novel probiotic strain adapted to marine habitats and to assess its antisepsis properties using a cecal ligation and puncture (CLP) model in rodents. The marine EA9 was isolated from marine shrimp samples and evaluated for probiotic potential after phenotypical and molecular identification. In septic animals, hepatic and renal tissues were histologically and biochemically evaluated for inflammation and oxidative stress following the probiotic treatment. Moreover, gene expressions of multiple signaling cascades were determined using RT-PCR. EA9 was identified and genotyped as with a 99.88% identity. EA9 did not exhibit any signs of hemolysis and survived at low pH and elevated concentrations of bile salts. Moreover, EA9 isolate had antibacterial activity against different pathogenic bacteria and could thrive in 6.5% NaCl. Septic animals treated with EA9 had improved liver and kidney functions, lower inflammatory and lipid peroxidation biomarkers, and enhanced antioxidant enzymes. The CLP-induced necrotic histological changes and altered gene expressions of IL-10, IL-1β, INF-γ, COX-2, SOD-1, SOD-2, HO-1, AKT, mTOR, iNOS, and STAT-3 were abolished by the EA9 probiotic in septic animals. The isolate EA9 represents a promising marine probiotic. The in vivo antisepsis testing of EA9 highlighted its potential and effective therapeutic approach.
本研究旨在获得一种适应海洋生境的新型益生菌菌株,并通过对啮齿动物的盲肠结扎和穿刺 (CLP) 模型评估其抗菌性能。海洋 EA9 是从海洋虾样本中分离出来的,并在表型和分子鉴定后评估其益生菌潜力。在感染动物中,在益生菌治疗后,通过组织学和生化方法评估肝和肾组织的炎症和氧化应激。此外,还使用 RT-PCR 测定了多个信号级联的基因表达。EA9 被鉴定为 ,与 99.88%的相似度。EA9 没有表现出任何溶血迹象,并能在低 pH 和高浓度胆汁盐下存活。此外,EA9 分离株对不同的致病菌具有抗菌活性,能在 6.5%的 NaCl 中生长。用 EA9 处理的感染动物的肝功能和肾功能得到改善,炎症和脂质过氧化生物标志物降低,抗氧化酶增强。CLP 诱导的坏死组织学变化和 IL-10、IL-1β、INF-γ、COX-2、SOD-1、SOD-2、HO-1、AKT、mTOR、iNOS 和 STAT-3 的基因表达改变,被 EA9 益生菌在感染动物中消除。分离株 EA9 代表了一种有前途的海洋益生菌。EA9 的体内抗菌测试突出了其潜力和有效的治疗方法。