Suppr超能文献

苏莱曼尼亚市牙科学院学生口腔颊黏膜的细胞形态计量分析

Cytomorphometric Analysis of Oral Buccal Mucosa of Dental Colleges' Students in Sulaimani City.

作者信息

Mahmood Darya Khalid, Ibraheem Ban Falih, Mohammad Dena Nadhim, Garib Balkees Taha, Hamied Marwa Abdul-Salam

机构信息

Oral Pathology, Oral Diagnosis Department, College of Dentistry, University of Sulaimani, Sulaimani 46001, Iraq.

出版信息

Diagnostics (Basel). 2023 Jan 8;13(2):234. doi: 10.3390/diagnostics13020234.

Abstract

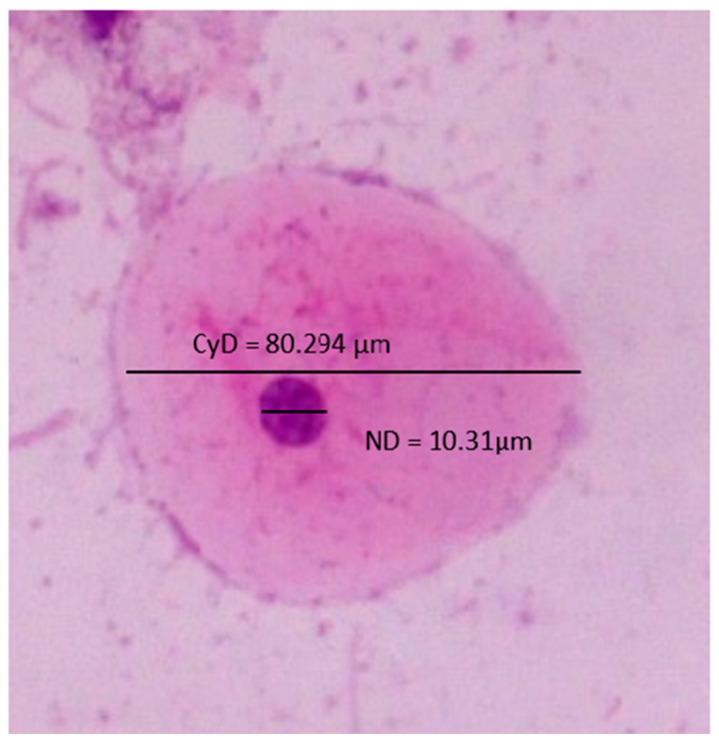
This study evaluates the cytomorphometric measures of cells obtained from the buccal mucosa of dental students to assess the fluctuation of the cellular characteristics among relatively normal subjects, with any potential correlations with demographic information, different habits, and hormonal disturbance. This prospective study included 100 dental students with no detectable oral alterations submitted to brush cytology. The smears were fixed with 95% ethyl alcohol and stained with hematoxylin and eosin stain. The stained section was observed under an image analyzer for cytomorphometric analysis. Cytopathological observations were recorded, including inflammation, microbial colonies, micronuclei, keratinization, overlapping, and hemorrhage. Chi-square tests were applied for non-parametric variables. One-way analysis of variance (ANOVA) was used to compare the cytometric parameters to habits and hormonal disturbances. A p-value < 0.05 was considered statistically significant. The results showed close proximity among subjects in the matter of cytomorphometric measures; no significant influence of sex, smoking, alcohol drinking habits, and menstruation was found on cytomorphometric diameters or cytopathological observation, and vice versa, while polycystic ovary syndrome impacted nuclear and nuclear-cytoplasmic ratio (p = 0.003, p = 0.02), respectively. Oral exfoliative cytology combined with cytomorphometric analysis for the studied normal individuals can be helpful in various investigations of oral and systemic diseases.

摘要

本研究评估从牙科学生颊黏膜获取的细胞的细胞形态计量学指标,以评估相对正常受试者之间细胞特征的波动情况,以及与人口统计学信息、不同习惯和激素紊乱之间的潜在相关性。这项前瞻性研究纳入了100名无明显口腔病变的牙科学生,对其进行刷片细胞学检查。涂片用95%乙醇固定,并用苏木精和伊红染色。染色切片在图像分析仪下观察以进行细胞形态计量学分析。记录细胞病理学观察结果,包括炎症、微生物菌落、微核、角化、重叠和出血。对非参数变量应用卡方检验。单向方差分析(ANOVA)用于比较细胞计量学参数与习惯和激素紊乱之间的关系。p值<0.05被认为具有统计学意义。结果显示,在细胞形态计量学指标方面,受试者之间差异不大;未发现性别、吸烟、饮酒习惯和月经对细胞形态计量学直径或细胞病理学观察有显著影响,反之亦然,而多囊卵巢综合征分别影响细胞核和核质比(p = 0.003,p = 0.02)。对于所研究的正常个体,口腔脱落细胞学检查结合细胞形态计量学分析有助于口腔和全身疾病的各种研究。

https://cdn.ncbi.nlm.nih.gov/pmc/blobs/7260/9857724/506f4c0e5174/diagnostics-13-00234-g001.jpg

文献检索

告别复杂PubMed语法,用中文像聊天一样搜索,搜遍4000万医学文献。AI智能推荐,让科研检索更轻松。

立即免费搜索

文件翻译

保留排版,准确专业,支持PDF/Word/PPT等文件格式,支持 12+语言互译。

免费翻译文档

深度研究

AI帮你快速写综述,25分钟生成高质量综述,智能提取关键信息,辅助科研写作。

立即免费体验