• 文献检索
  • 文档翻译
  • 深度研究
  • 学术资讯
  • Suppr Zotero 插件Zotero 插件
  • 邀请有礼
  • 套餐&价格
  • 历史记录
应用&插件
Suppr Zotero 插件Zotero 插件浏览器插件Mac 客户端Windows 客户端微信小程序
定价
高级版会员购买积分包购买API积分包
服务
文献检索文档翻译深度研究API 文档MCP 服务
关于我们
关于 Suppr公司介绍联系我们用户协议隐私条款
关注我们

Suppr 超能文献

核心技术专利:CN118964589B侵权必究
粤ICP备2023148730 号-1Suppr @ 2026

文献检索

告别复杂PubMed语法,用中文像聊天一样搜索,搜遍4000万医学文献。AI智能推荐,让科研检索更轻松。

立即免费搜索

文件翻译

保留排版,准确专业,支持PDF/Word/PPT等文件格式,支持 12+语言互译。

免费翻译文档

深度研究

AI帮你快速写综述,25分钟生成高质量综述,智能提取关键信息,辅助科研写作。

立即免费体验

巨大血栓形成的海绵窦段颈内动脉瘤血流导向装置置入术后双侧失明:病例说明

Bilateral blindness following flow diverter placement in a giant thrombosed cavernous carotid aneurysm: illustrative case.

作者信息

Misra Basant K, Khandhar Alay V, Pradhan Reema

出版信息

J Neurosurg Case Lessons. 2022 Dec 12;4(24). doi: 10.3171/CASE22352.

DOI:10.3171/CASE22352
PMID:36681971
原文链接:https://pmc.ncbi.nlm.nih.gov/articles/PMC9745586/
Abstract

BACKGROUND

The best treatment option for giant intracranial aneurysms (GIAs) is still debated. The authors report a case of a giant thrombosed cavernous carotid artery (CCA) aneurysm for which two sessions of flow diverter (FD) placement failed, leading to bilateral blindness.

OBSERVATIONS

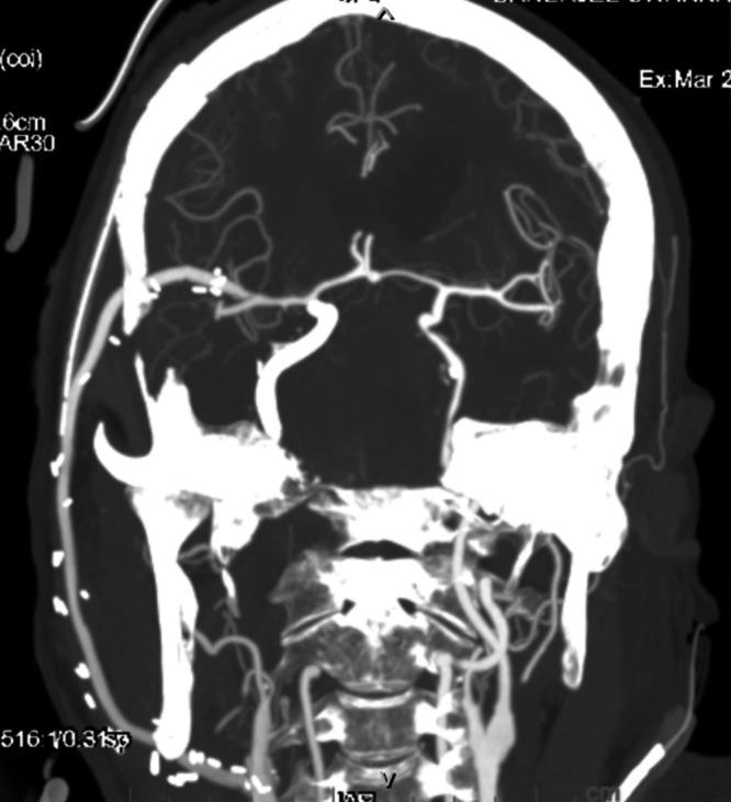
A 66-year-old man presented to an outside center with a history of rapid-onset right-sided retro-orbital pain, visual deterioration, and restricted eye movements associated with headache, vomiting, and diminished sensations on the right side of the face. He was diagnosed with an unruptured thrombosed giant CCA aneurysm and was treated twice with unsuccessful FDs. At follow-up, he developed blindness in both eyes. After 1.5 years, he presented to the authors' institution with headache, vomiting, and epistaxis, for which he underwent high-flow external carotid artery-M2 segment of the middle cerebral artery bypass grafting using the radial artery as a conduit and ligation of the internal carotid artery in the neck without any added neurological deficits.

LESSONS

This dreadful complication of bilateral blindness after being treated with repeated unsuccessful FDs has not been reported in the literature. It could have been avoided if microsurgery had been the primary modality of treatment.

摘要

背景

巨大颅内动脉瘤(GIA)的最佳治疗方案仍存在争议。作者报告了一例巨大血栓形成的海绵窦段颈内动脉(CCA)动脉瘤病例,该病例进行了两次血流导向装置(FD)置入均失败,导致双侧失明。

观察结果

一名66岁男性因快速发作的右侧眶后疼痛、视力恶化、眼球运动受限伴头痛、呕吐及右侧面部感觉减退的病史就诊于外院。他被诊断为未破裂的血栓形成的巨大CCA动脉瘤,并接受了两次FD治疗,但均未成功。随访时,他出现了双眼失明。1.5年后,他因头痛、呕吐和鼻出血就诊于作者所在机构,为此他接受了以桡动脉为血管桥的高流量颈外动脉-大脑中动脉M2段搭桥术,并结扎了颈部的颈内动脉,术后未出现任何新增神经功能缺损。

经验教训

文献中尚未报道重复FD治疗失败后出现双侧失明这种可怕并发症的情况。如果将显微手术作为主要治疗方式,本可避免这种情况发生。

https://cdn.ncbi.nlm.nih.gov/pmc/blobs/c36a/9745586/95f506bd028b/CASE22352f5.jpg
https://cdn.ncbi.nlm.nih.gov/pmc/blobs/c36a/9745586/a60a8a3bd163/CASE22352f1.jpg
https://cdn.ncbi.nlm.nih.gov/pmc/blobs/c36a/9745586/653140a2e70d/CASE22352f2.jpg
https://cdn.ncbi.nlm.nih.gov/pmc/blobs/c36a/9745586/8c27ca478561/CASE22352f3.jpg
https://cdn.ncbi.nlm.nih.gov/pmc/blobs/c36a/9745586/483d9c0bcbee/CASE22352f4.jpg
https://cdn.ncbi.nlm.nih.gov/pmc/blobs/c36a/9745586/95f506bd028b/CASE22352f5.jpg
https://cdn.ncbi.nlm.nih.gov/pmc/blobs/c36a/9745586/a60a8a3bd163/CASE22352f1.jpg
https://cdn.ncbi.nlm.nih.gov/pmc/blobs/c36a/9745586/653140a2e70d/CASE22352f2.jpg
https://cdn.ncbi.nlm.nih.gov/pmc/blobs/c36a/9745586/8c27ca478561/CASE22352f3.jpg
https://cdn.ncbi.nlm.nih.gov/pmc/blobs/c36a/9745586/483d9c0bcbee/CASE22352f4.jpg
https://cdn.ncbi.nlm.nih.gov/pmc/blobs/c36a/9745586/95f506bd028b/CASE22352f5.jpg

相似文献

1
Bilateral blindness following flow diverter placement in a giant thrombosed cavernous carotid aneurysm: illustrative case.巨大血栓形成的海绵窦段颈内动脉瘤血流导向装置置入术后双侧失明:病例说明
J Neurosurg Case Lessons. 2022 Dec 12;4(24). doi: 10.3171/CASE22352.
2
High flow bypass for right giant cavernous internal carotid artery aneurysm with fibromuscular dysplasia of cervical internal carotid artery: microsurgical 2-D video.用于治疗伴有颈内动脉纤维肌发育异常的右侧巨大海绵窦段颈内动脉瘤的高流量搭桥术:显微外科二维视频
Surg Neurol Int. 2020 Jul 4;11:177. doi: 10.25259/SNI_141_2020. eCollection 2020.
3
Surgical Trapping of a Cavernous Carotid Aneurysm Causing Carotid Cavernous Fistula After Flow Diverter Placement: Technical Note and Literature Review.血流导向装置置入后导致颈内动脉海绵窦瘘的海绵窦段颈内动脉瘤的手术夹闭:技术要点及文献综述
World Neurosurg. 2023 Sep;177:31-38. doi: 10.1016/j.wneu.2023.05.095. Epub 2023 Jun 1.
4
Spontaneous Thrombosis of a Giant Cavernous Internal Carotid Artery Aneurysm and Parent Vessel Occlusion in a Patient With Bilateral Cavernous Internal Carotid Artery Aneurysms.双侧海绵窦段颈内动脉动脉瘤患者巨大海绵窦段颈内动脉动脉瘤自发性血栓形成及供血血管闭塞
Cureus. 2023 Feb 20;15(2):e35231. doi: 10.7759/cureus.35231. eCollection 2023 Feb.
5
Tailored flow sequestration treatment using high-flow and low-flow bypass for partially thrombosed giant internal carotid artery aneurysm-a technical case report.采用高流量和低流量旁路的定制血流隔离治疗部分血栓形成的巨大颈内动脉瘤——技术病例报告
Neurosurg Rev. 2016 Oct;39(4):699-705. doi: 10.1007/s10143-016-0724-9. Epub 2016 Jun 4.
6
Completely Thrombosed Giant Intracranial Aneurysm with Spontaneous Thrombosis of the Parent Artery: Is It Nature's Divine Intervention and a Self-Cure?完全血栓形成的巨大颅内动脉瘤伴载瘤动脉自发性血栓形成:这是自然的神奇干预和自愈吗?
World Neurosurg. 2018 Oct;118:132-138. doi: 10.1016/j.wneu.2018.07.072. Epub 2018 Jul 17.
7
Bilateral cavernous carotid aneurysms treated by two-stage extracranial-intracranial bypass followed by parent artery occlusion: case report and literature review.两阶段颅外-颅内搭桥术继以载瘤动脉闭塞治疗双侧海绵窦段颈内动脉瘤:病例报告及文献综述
Acta Neurochir (Wien). 2017 Sep;159(9):1693-1698. doi: 10.1007/s00701-017-3101-8. Epub 2017 Feb 8.
8
A case of bilateral giant internal carotid artery aneurysms at the cavernous portion managed by 2-stage extracranial-intracranial bypass with parent artery occlusion: consideration for bypass selection and timing of surgeries.1例海绵窦段双侧颈内动脉巨大动脉瘤采用两阶段颅外-颅内旁路联合载瘤动脉闭塞术治疗:旁路选择及手术时机的考量
J Stroke Cerebrovasc Dis. 2014 Sep;23(8):e393-e398. doi: 10.1016/j.jstrokecerebrovasdis.2014.02.020. Epub 2014 Aug 1.
9
Combining Internal Carotid Ligation with Low-Flow Bypass for Treating Large-Giant Cavernous Sinus Segment Aneurysms: A Report of Four Cases.颈内动脉结扎联合低流量旁路术治疗大型-巨大型海绵窦段动脉瘤:4例报告
World Neurosurg. 2017 Apr;100:280-287. doi: 10.1016/j.wneu.2017.01.011. Epub 2017 Jan 16.
10
High-Flow Extracranial-Intracranial Bypass for Giant Cavernous Carotid Aneurysm.高流量颅外-颅内血管搭桥术治疗巨大海绵窦段颈内动脉瘤
J Craniofac Surg. 2018 Jun;29(4):1042-1046. doi: 10.1097/SCS.0000000000004422.

引用本文的文献

1
Extracranial-Intracranial Bypass with Reconstruction Clip Surgery Following Failed Flow Diverter Therapy for a Giant Internal Carotid Aneurysm: A Case Report.大型颈内动脉瘤血流导向治疗失败后行颅外-颅内搭桥联合重建夹闭手术:一例报告
Asian J Neurosurg. 2025 Mar 20;20(2):391-396. doi: 10.1055/s-0045-1805019. eCollection 2025 Jun.

本文引用的文献

1
Flow diversion for internal carotid artery aneurysms: Impact of complex aneurysm features and overview of outcome.血流导向装置治疗颈内动脉动脉瘤:复杂动脉瘤特征的影响及结果概述。
Clin Neurol Neurosurg. 2020 Jun;193:105782. doi: 10.1016/j.clineuro.2020.105782. Epub 2020 Mar 19.
2
Microsurgery of giant intracranial aneurysms: Current status.巨大颅内动脉瘤的显微外科手术:现状
Neurol India. 2018 Nov-Dec;66(6):1614-1616. doi: 10.4103/0028-3886.246223.
3
Aneurysms with persistent filling after failed treatment with the Pipeline embolization device.
使用Pipeline栓塞装置治疗失败后仍持续充盈的动脉瘤。
J Neurosurg. 2018 May 4;130(4):1376-1382. doi: 10.3171/2017.12.JNS163090. Print 2019 Apr 1.
4
Endovascular Treatment of Large and Giant Carotid Aneurysms with Flow-Diverter Stents Alone or in Combination with Coils: A Multicenter Experience and Long-Term Follow-up.单纯血流导向装置支架置入与联合弹簧圈栓塞治疗大型及巨大型颈动脉动脉瘤:多中心经验与长期随访
Oper Neurosurg (Hagerstown). 2017 Aug 1;13(4):492-502. doi: 10.1093/ons/opx032.
5
Surgical treatment of large and giant cavernous carotid aneurysms.大型和巨大型海绵窦段颈动脉瘤的外科治疗
Asian J Neurosurg. 2017 Jul-Sep;12(3):382-388. doi: 10.4103/1793-5482.180930.
6
Resolution of cranial neuropathies following treatment of intracranial aneurysms with the Pipeline Embolization Device.使用Pipeline栓塞装置治疗颅内动脉瘤后颅神经病变的缓解情况。
J Neurosurg. 2014 Nov;121(5):1085-92. doi: 10.3171/2014.7.JNS132677. Epub 2014 Sep 5.
7
Return of visual function after bilateral visual loss following flow diversion embolization of a giant ophthalmic aneurysm due to both reduction in mass effect and reduction in aneurysm pulsation.
J Neurointerv Surg. 2015 Jan;7(1):e1. doi: 10.1136/neurintsurg-2013-010960.rep. Epub 2014 Jan 22.
8
Treatment of cavernous sinus aneurysms with flow diversion: results in 44 patients.血流导向治疗海绵窦动脉瘤:44例患者的治疗结果
AJNR Am J Neuroradiol. 2014 May;35(5):948-51. doi: 10.3174/ajnr.A3826. Epub 2013 Dec 19.
9
Flow-diverter devices for intracranial aneurysms: systematic review and meta-analysis.颅内动脉瘤血流导向装置:系统评价和荟萃分析。
Neurosurgery. 2013 Aug;73(2):193-9; discussion 199-200. doi: 10.1227/01.neu.0000430297.17961.f1.
10
Giant intracranial aneurysms: evolution of management in a contemporary surgical series.巨大颅内动脉瘤:当代手术系列中治疗方法的演变。
Neurosurgery. 2011 Dec;69(6):1261-70; discussion 1270-1. doi: 10.1227/NEU.0b013e31822bb8a6.