Suppr超能文献

双孔道内镜减压、清创及椎间融合术联合经皮螺钉固定治疗腰椎布鲁氏菌性脊柱炎

Biportal endoscopic decompression, debridement, and interbody fusion, combined with percutaneous screw fixation for lumbar brucellosis spondylitis.

作者信息

Wang Xiangbin, Long Yubin, Li Yong, Guo Yun, Mansuerjiang Maiwulan, Tian Zheng, Younusi Aikebaier, Cao Li, Wang Chong

机构信息

Department of Orthopaedics, The First Affiliated Hospital of Xinjiang Medical University, Urumqi, China.

Department of Spinal Surgery, Hunan Shaoyang Central Hospital, Shaoyang, China.

出版信息

Front Surg. 2023 Jan 6;9:1024510. doi: 10.3389/fsurg.2022.1024510. eCollection 2022.

Abstract

OBJECTIVE

This study aims to investigate the effectiveness and feasibility of biportal endoscopic decompression, debridement, and interbody fusion, combined with percutaneous screw fixation for lumbar brucellosis spondylitis (LBS).

METHODS

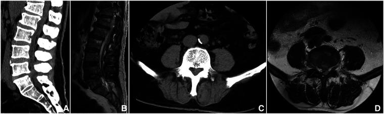
The data of 13 patients with LBS were retrospectively analyzed, who underwent biportal endoscopic decompression, debridement, and interbody fusion, combined with percutaneous screw fixation from May 2020 to June 2022. The patients' clinical data, the duration of operation, the estimated blood loss (including postoperative drainage), and complications were recorded. Clinical outcomes include serum agglutination test (SAT) measures Brucella antibody titer, erythrocyte sedimentation rate (ESR), C-reactive protein (CRP), the visual analog scale (VAS) scores of low back and leg, Japanese Orthopaedic Association (JOA) score, Oswestry Disability Index (ODI), American Spinal Injury Association neurological classification, and lordotic angle were analyzed. All patients were assessed using the modified Macnab criteria at the final follow-up. The intervertebral bone graft fusion was assessed using the Bridwell grading criteria.

RESULTS

The mean operation duration was 177.31 ± 19.54 min, and the estimated blood loss was 176.15 ± 43.79 ml (including postoperative drainage was 41.15 ± 10.44 ml). The mean follow-up period was 13.92 ± 1.5 months. SAT showed that the antibody titers of 13 patients were normal 3 months after the operation and at the final follow-up. ESR and CRP levels returned to normal by the end of the 3-month follow-up. VAS scores of low back and leg, JOA score, and ODI significantly improved after the operation throughout the follow-up period ( < 0.05). Based on the modified Macnab criteria, 92.3% showed excellent to good outcomes. One patient had only a percutaneous screw internal fixation on the decompression side due to severe osteoporosis. One case suffered a superficial incision infection postoperatively that healed with dressing change and effective antibiotic treatment. Bony fusion was obtained in all patients at the last follow-up, including 12 cases with grade I and 1 case with grade II, with a fusion rate of 92.31%.

CONCLUSION

Biportal endoscopic decompression, debridement, and interbody fusion, combined with percutaneous screw fixation is an effective, safe, and viable surgical procedure for the treatment of LBS.

摘要

目的

本研究旨在探讨双门内镜减压、清创、椎间融合联合经皮螺钉固定治疗腰椎布鲁氏菌性脊柱炎(LBS)的有效性和可行性。

方法

回顾性分析2020年5月至2022年6月期间接受双门内镜减压、清创、椎间融合联合经皮螺钉固定的13例LBS患者的数据。记录患者的临床资料、手术时间、估计失血量(包括术后引流量)及并发症。临床结果包括血清凝集试验(SAT)检测布鲁氏菌抗体滴度、红细胞沉降率(ESR)、C反应蛋白(CRP)、腰腿痛视觉模拟评分(VAS)、日本骨科学会(JOA)评分、Oswestry功能障碍指数(ODI)、美国脊髓损伤协会神经功能分类及腰椎前凸角,并进行分析。所有患者在末次随访时采用改良Macnab标准进行评估。采用Bridwell分级标准评估椎间植骨融合情况。

结果

平均手术时间为177.31±19.54分钟,估计失血量为176.15±43.79毫升(包括术后引流量为41.15±10.44毫升)。平均随访时间为13.92±1.5个月。SAT显示,13例患者术后3个月及末次随访时抗体滴度均正常。ESR和CRP水平在随访3个月时恢复正常。整个随访期间,术后腰腿痛VAS评分、JOA评分及ODI均显著改善(P<0.05)。根据改良Macnab标准,92.3%的患者疗效为优或良。1例患者因严重骨质疏松仅在减压侧行单枚经皮螺钉内固定。1例患者术后发生浅表切口感染,经换药及有效抗生素治疗后愈合。末次随访时所有患者均获得骨性融合,其中I级12例,II级1例,融合率为92.31%。

结论

双门内镜减压、清创、椎间融合联合经皮螺钉固定是治疗LBS安全、有效且可行的手术方法。

https://cdn.ncbi.nlm.nih.gov/pmc/blobs/652c/9852336/43727dbe4290/fsurg-09-1024510-g001.jpg

文献AI研究员

20分钟写一篇综述,助力文献阅读效率提升50倍。

立即体验

用中文搜PubMed

大模型驱动的PubMed中文搜索引擎

马上搜索

文档翻译

学术文献翻译模型,支持多种主流文档格式。

立即体验