Suppr超能文献

阴囊穿刺伤导致升结肠穿孔和腹膜后瘘。

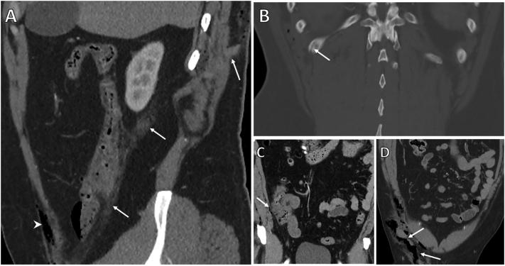
Scrotal impaling injury causing ascending colon perforation and retroperitoneal fistula.

作者信息

McKitterick T, Ipsen J, Cover J

机构信息

General Surgery Department, Bunbury Hospital, South West Health Campus, Bunbury, WA 6230, Australia.

出版信息

Trauma Case Rep. 2023 Jan 9;43:100770. doi: 10.1016/j.tcr.2023.100770. eCollection 2023 Feb.

Abstract

Impalement injuries though relatively uncommon are some of the most dramatic and are known to cause significant damage due to the forces involved, the combination of blunt and penetrating mechanisms, and wound contamination. They generally occur following falls from a height, motor vehicle accidents or other high velocity mechanisms. Their management requires specific consideration to the prehospital management of the impaling object, management of any organs injured and appropriate debridement and washout of the tract. We report a case of a scrotal impalement traversing the abdominal cavity and causing a colonic injury and a rib fracture which resulted in a chronic discharging sinus from the patient's retroperitoneum.

摘要

穿刺伤虽然相对少见,但却是最严重的损伤之一,因其涉及的力量、钝性和穿透性机制的结合以及伤口污染,已知会造成严重损害。它们通常发生在高处坠落、机动车事故或其他高速机制之后。对其处理需要特别考虑院前对刺入物体的处理、对任何受伤器官的处理以及对伤道进行适当的清创和冲洗。我们报告一例阴囊穿刺伤病例,伤口穿过腹腔,导致结肠损伤和肋骨骨折,结果患者腹膜后出现慢性引流窦道。

https://cdn.ncbi.nlm.nih.gov/pmc/blobs/fec5/9852777/8c2adb43501c/gr1.jpg

文献AI研究员

20分钟写一篇综述,助力文献阅读效率提升50倍。

立即体验

用中文搜PubMed

大模型驱动的PubMed中文搜索引擎

马上搜索

文档翻译

学术文献翻译模型,支持多种主流文档格式。

立即体验