• 文献检索
  • 文档翻译
  • 深度研究
  • 学术资讯
  • Suppr Zotero 插件Zotero 插件
  • 邀请有礼
  • 套餐&价格
  • 历史记录
应用&插件
Suppr Zotero 插件Zotero 插件浏览器插件Mac 客户端Windows 客户端微信小程序
定价
高级版会员购买积分包购买API积分包
服务
文献检索文档翻译深度研究API 文档MCP 服务
关于我们
关于 Suppr公司介绍联系我们用户协议隐私条款
关注我们

Suppr 超能文献

核心技术专利:CN118964589B侵权必究
粤ICP备2023148730 号-1Suppr @ 2026

文献检索

告别复杂PubMed语法,用中文像聊天一样搜索,搜遍4000万医学文献。AI智能推荐,让科研检索更轻松。

立即免费搜索

文件翻译

保留排版,准确专业,支持PDF/Word/PPT等文件格式,支持 12+语言互译。

免费翻译文档

深度研究

AI帮你快速写综述,25分钟生成高质量综述,智能提取关键信息,辅助科研写作。

立即免费体验

病例报告:具有绒毛膜癌特征的转移性化生性乳腺癌:针对绒毛膜癌成分进行治愈性治疗。

Case report: Metastatic metaplastic breast cancer with choriocarinomatous features: Targeting the choriocarcinoma component for cure.

作者信息

Mehta Krisha K, Nouvini Rosa, Liu Jingxuan, Wang Yi, Stopeck Alison

机构信息

Department of Medicine, Stony Brook University, Stony Brook, NY, United States.

Department of Medicine, Memorial Sloan Kettering Cancer Center, New York, NY, United States.

出版信息

Front Oncol. 2023 Jan 5;12:1061679. doi: 10.3389/fonc.2022.1061679. eCollection 2022.

DOI:10.3389/fonc.2022.1061679
PMID:36686740
原文链接:https://pmc.ncbi.nlm.nih.gov/articles/PMC9850144/
Abstract

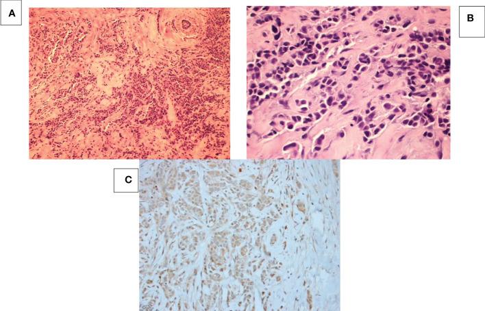
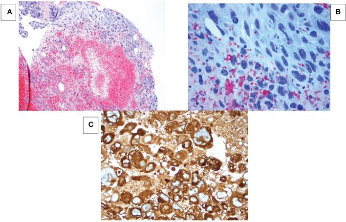
Breast cancer with choriocarcinomatous features (BCCF) is a rare and aggressive breast cancer. BCCF carries a poor prognosis and there is unfortunately scant literature to guide treatment beyond surgical resection with most patients receiving standard regimens for breast cancer. In our case, we present a 42-year-old female with an initial hCG of 2,324 and two suspicious lesions of the right breast. On biopsy, each lesion had distinct histopathology with the larger lesion diagnosed as BCCF and the smaller lesion being an invasive ER/PR positive ductal carcinoma. The diagnosis of BCCF rather than metastatic choriocarcinoma was confirmed using DNA typing. Salvage chemotherapy targeting choriocarcinoma resulted in marked clinical and biomarker success including normalization of the hCG. After recurrent brain metastases were diagnosed, high dose chemotherapy with methotrexate was administered resulting in long term remission.

摘要

具有绒毛膜癌特征的乳腺癌(BCCF)是一种罕见且侵袭性强的乳腺癌。BCCF预后较差,遗憾的是,除手术切除外,几乎没有文献可指导治疗,大多数患者接受乳腺癌的标准治疗方案。在我们的病例中,我们报告了一名42岁女性,初始人绒毛膜促性腺激素(hCG)为2324,右乳有两个可疑病灶。活检时,每个病灶具有不同的组织病理学特征,较大的病灶诊断为BCCF,较小的病灶为浸润性雌激素受体/孕激素受体(ER/PR)阳性导管癌。通过DNA分型确诊为BCCF而非转移性绒毛膜癌。针对绒毛膜癌的挽救性化疗取得了显著的临床和生物标志物疗效,包括hCG恢复正常。在诊断出复发性脑转移后,给予大剂量甲氨蝶呤化疗,实现了长期缓解。

https://cdn.ncbi.nlm.nih.gov/pmc/blobs/0f5b/9850144/03563191c790/fonc-12-1061679-g002.jpg
https://cdn.ncbi.nlm.nih.gov/pmc/blobs/0f5b/9850144/fdf4e29d7ddf/fonc-12-1061679-g001.jpg
https://cdn.ncbi.nlm.nih.gov/pmc/blobs/0f5b/9850144/03563191c790/fonc-12-1061679-g002.jpg
https://cdn.ncbi.nlm.nih.gov/pmc/blobs/0f5b/9850144/fdf4e29d7ddf/fonc-12-1061679-g001.jpg
https://cdn.ncbi.nlm.nih.gov/pmc/blobs/0f5b/9850144/03563191c790/fonc-12-1061679-g002.jpg

相似文献

1
Case report: Metastatic metaplastic breast cancer with choriocarinomatous features: Targeting the choriocarcinoma component for cure.病例报告:具有绒毛膜癌特征的转移性化生性乳腺癌:针对绒毛膜癌成分进行治愈性治疗。
Front Oncol. 2023 Jan 5;12:1061679. doi: 10.3389/fonc.2022.1061679. eCollection 2022.
2
Breast carcinoma with choriocarcinomatous features: a case report and review of the literature.具有绒毛膜癌特征的乳腺癌:一例病例报告及文献复习
World J Surg Oncol. 2014 Jul 30;12:239. doi: 10.1186/1477-7819-12-239.
3
Breast cancer with choriocarcinomatous features: A case report with cytopathologic details.具有绒毛膜癌特征的乳腺癌:一例伴有细胞病理学细节的病例报告。
Pathol Int. 1999 Sep;49(9):816-9. doi: 10.1046/j.1440-1827.1999.00940.x.
4
Fine needle aspiration cytology of mammary carcinoma with choriocarcinomatous features: a report of 2 cases.具有绒毛膜癌特征的乳腺癌细针穿刺细胞学检查:2例报告
Acta Cytol. 2008 Jan-Feb;52(1):99-104. doi: 10.1159/000325443.
5
Clinicopathologic and Molecular Characteristics of and Diagnostic Dilemmas in Invasive Breast Carcinoma with Choriocarcinomatous Pattern apropos a New Case: A Literature Review with New Findings.伴有绒毛膜癌样形态的浸润性乳腺癌的临床病理和分子特征及诊断困境:一个新病例报道及文献复习附新发现。
Pathobiology. 2022;89(6):359-369. doi: 10.1159/000522621. Epub 2022 Mar 30.
6
Breast carcinoma with choriocarcinomatous features: a case report.伴绒癌特征的乳腺癌:病例报告。
J Breast Cancer. 2013 Sep;16(3):349-53. doi: 10.4048/jbc.2013.16.3.349. Epub 2013 Sep 30.
7
Carcinoma of the breast with choriocarcinomatous features.具有绒毛膜癌特征的乳腺癌。
Arch Pathol Lab Med. 2011 Sep;135(9):1097-100. doi: 10.5858/2010-0334-RSR1.1.
8
A poor prognostic metastatic nongestational choriocarcinoma of the ovary: a case report and the literature review.卵巢转移性非妊娠绒毛膜癌预后不良 1 例报告并文献复习
J Ovarian Res. 2021 Apr 22;14(1):56. doi: 10.1186/s13048-021-00810-3.
9
Breast carcinomas with choriocarcinomatous features: case reports and review of the literature.具有绒毛膜癌特征的乳腺癌:病例报告及文献复习
Breast J. 2002 Jul-Aug;8(4):244-8. doi: 10.1046/j.1524-4741.2002.08411.x.
10
Intracerebral hemorrhage as initial presentation of gestational choriocarcinoma: a case report and literature review.以脑出血为首发表现的妊娠性绒毛膜癌:一例报告及文献复习
Int J Gynecol Cancer. 2007 Sep-Oct;17(5):1166-71. doi: 10.1111/j.1525-1438.2007.00934.x. Epub 2007 Apr 9.

本文引用的文献

1
Genotyping diagnosis of gestational trophoblastic disease: frontiers in precision medicine.妊娠滋养细胞疾病的基因分型诊断:精准医学的前沿。
Mod Pathol. 2021 Sep;34(9):1658-1672. doi: 10.1038/s41379-021-00831-9. Epub 2021 Jun 4.
2
Breast carcinoma with choriocarcinomatous features: a case report and review of the literature.具有绒毛膜癌特征的乳腺癌:一例病例报告及文献复习
World J Surg Oncol. 2014 Jul 30;12:239. doi: 10.1186/1477-7819-12-239.
3
Breast carcinoma with choriocarcinomatous features: a case report.伴绒癌特征的乳腺癌:病例报告。
J Breast Cancer. 2013 Sep;16(3):349-53. doi: 10.4048/jbc.2013.16.3.349. Epub 2013 Sep 30.
4
Carcinoma of the breast with choriocarcinomatous features.具有绒毛膜癌特征的乳腺癌。
Arch Pathol Lab Med. 2011 Sep;135(9):1097-100. doi: 10.5858/2010-0334-RSR1.1.
5
Fine needle aspiration cytology of mammary carcinoma with choriocarcinomatous features: a report of 2 cases.具有绒毛膜癌特征的乳腺癌细针穿刺细胞学检查:2例报告
Acta Cytol. 2008 Jan-Feb;52(1):99-104. doi: 10.1159/000325443.
6
Fine-needle aspiration biopsy of a case of breast carcinoma with choriocarcinomatous features.一例具有绒毛膜癌特征的乳腺癌的细针穿刺活检。
Diagn Cytopathol. 2006 Oct;34(10):694-7. doi: 10.1002/dc.20485.
7
Breast carcinoma with choriocarcinomatous features.具有绒毛膜癌特征的乳腺癌。
Ann Diagn Pathol. 2004 Apr;8(2):74-9. doi: 10.1053/j.anndiagpath.2004.01.003.
8
Breast carcinomas with choriocarcinomatous features: case reports and review of the literature.具有绒毛膜癌特征的乳腺癌:病例报告及文献复习
Breast J. 2002 Jul-Aug;8(4):244-8. doi: 10.1046/j.1524-4741.2002.08411.x.
9
Breast cancer with choriocarcinomatous features: A case report with cytopathologic details.具有绒毛膜癌特征的乳腺癌:一例伴有细胞病理学细节的病例报告。
Pathol Int. 1999 Sep;49(9):816-9. doi: 10.1046/j.1440-1827.1999.00940.x.
10
Choriocarcinoma presenting as a breast lump.以乳腺肿块为表现的绒毛膜癌。
Eur J Surg Oncol. 1995 Oct;21(5):576-8. doi: 10.1016/s0748-7983(95)97675-2.