From the Department of Cardiothoracic Imaging and Intervention, Massachusetts General Hospital, 55 Fruit St, Boston, MA 02114 (M.C.M.); Department of Radiology, Mater Misericordiae University Hospital, Dublin, Ireland (M.C.M.); and Department of Cardiothoracic Radiology, Mayo Clinic, Jacksonville, Fla (B.P.L.).
Radiology. 2023 Apr;307(2):e222379. doi: 10.1148/radiol.222379. Epub 2023 Jan 24.
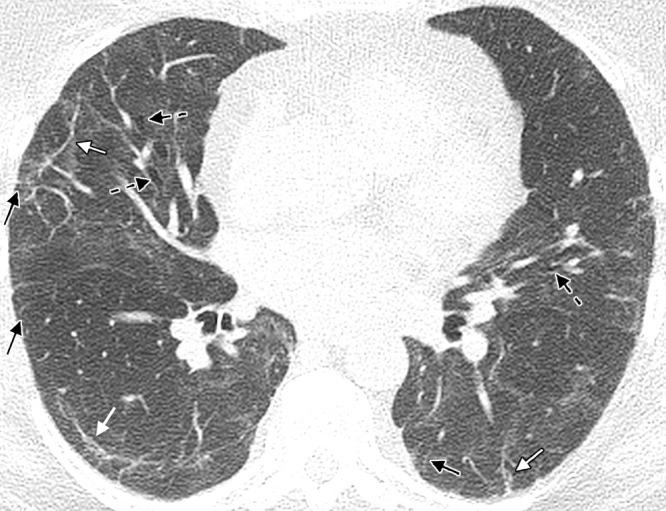
This case presents a patient with severe COVID-19 pneumonia requiring intensive care unit admission and a prolonged hospital stay. The infection resulted in long-term morbidity, functional decline, and abnormal chest CT findings. The mechanisms for long-term lung injury after COVID-19 infection, imaging appearances, and the role of imaging in follow-up are discussed.
本病例报告了一位患有严重 COVID-19 肺炎的患者,需要入住重症监护病房和长时间住院治疗。该感染导致长期发病、功能下降和异常的胸部 CT 发现。讨论了 COVID-19 感染后长期肺损伤的机制、影像学表现以及影像学在随访中的作用。