Suppr超能文献

锌指蛋白 521 通过核内组蛋白去乙酰化酶 4 减轻骨关节炎。

Zinc finger protein 521 attenuates osteoarthritis via the histone deacetylases 4 in the nucleus.

机构信息

Department of Orthopedics, Second Hospital of Shanxi Medical University, Shanxi Key Laboratory of Bone and Soft Tissue Injury Repair, Taiyuan, Shanxi Province, China.

出版信息

Bioengineered. 2022 Jun;13(6):14489-14502. doi: 10.1080/21655979.2022.2090203.

Abstract

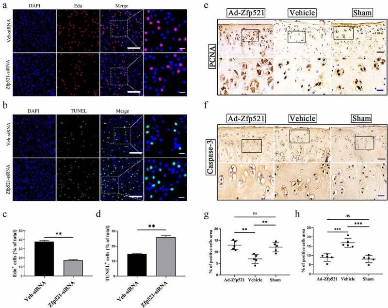
To determine whether zinc finger protein 521 (Zfp521) has a chondroprotective effect by maintaining extracellular matrix (ECM) homeostasis to attenuate osteoarthritis (OA). In chondrocytes, Zfp521 was overexpressed or silenced to detect its effects on proliferation, apoptosis, and ECM homeostasis. Adenovirus encoding Zfp521 was injected into the knee joints of anterior cruciate ligament transection rats to test its efficacy against OA. Combined with proteomic analysis, the molecular mechanism of Zfp521 in cartilage degeneration was further explored. An intra-articular injection of adenovirus carrying a Zfp521 sequence showed a chondroprotective effect against OA. The molecular mechanism around Zfp521 was classified at the molecular, cellular, histological, and functional levels. It was reported that Zfp521 could effectively promote cartilage proliferation, inhibit apoptosis, and maintain the balance of anabolism and catabolism of ECM. Moreover, it was confirmed that Zfp521 exerted its effect better by upregulating histone deacetylases 4 (HDAC4) in the nucleus and was significantly weakened in the absence of HDAC4 in the nucleus. Overall, Zfp521 better exerts its efficacy against OA by increasing the HDAC4 content in the nucleus, making it a promising strategy for OA treatment.

摘要

目的

研究锌指蛋白 521(Zfp521)是否通过维持细胞外基质(ECM)稳态来发挥软骨保护作用,从而减轻骨关节炎(OA)。在软骨细胞中过表达或沉默 Zfp521,以检测其对增殖、凋亡和 ECM 稳态的影响。将编码 Zfp521 的腺病毒注射到前交叉韧带切断大鼠的膝关节中,以测试其对 OA 的疗效。结合蛋白质组学分析,进一步探讨 Zfp521 在软骨退变中的分子机制。

腺病毒携带 Zfp521 序列的关节内注射显示出对 OA 的软骨保护作用。Zfp521 的分子机制在分子、细胞、组织学和功能水平上进行了分类。研究表明,Zfp521 可有效促进软骨增殖,抑制凋亡,并维持 ECM 合成代谢和分解代谢的平衡。此外,还证实 Zfp521 通过上调核内组蛋白去乙酰化酶 4(HDAC4)来更好地发挥作用,而核内缺乏 HDAC4 则明显减弱其作用。总之,Zfp521 通过增加核内的 HDAC4 含量更好地发挥对 OA 的疗效,使其成为治疗 OA 的一种有前途的策略。

https://cdn.ncbi.nlm.nih.gov/pmc/blobs/4ada/9995124/863fe553b430/KBIE_A_2090203_UF0001_OC.jpg

文献检索

告别复杂PubMed语法,用中文像聊天一样搜索,搜遍4000万医学文献。AI智能推荐,让科研检索更轻松。

立即免费搜索

文件翻译

保留排版,准确专业,支持PDF/Word/PPT等文件格式,支持 12+语言互译。

免费翻译文档

深度研究

AI帮你快速写综述,25分钟生成高质量综述,智能提取关键信息,辅助科研写作。

立即免费体验