Suppr超能文献

用苯达莫司汀部分替代环磷酰胺联合环孢素 A 可提高存活率并减少异种移植物抗宿主病。

Partially replacing cyclophosphamide with bendamustine in combination with cyclosporine A improves survival and reduces xenogeneic graft-versus-host-disease.

机构信息

Department of Pediatrics, University of Arizona, Tucson, AZ, United States.

Department of Immunobiology, University of Arizona, Tucson, AZ, United States.

出版信息

Front Immunol. 2023 Jan 9;13:1045710. doi: 10.3389/fimmu.2022.1045710. eCollection 2022.

Abstract

INTRODUCTION

The use of allogeneic hematopoietic cell transplantation (allo-HCT) for treating hematological disorders is increasing, but the development of graft-versus-host disease (GvHD) remains a major cause of morbidity and mortality. The use of post-transplant cyclophosphamide (CY) has significantly improved outcomes following allo-HCT, but complications of viral reactivation due to delayed immune reconstitution or relapse remain. Other laboratories are evaluating the potential benefit of lowering the dose of CY given post-transplant, whereas our laboratory has been focusing on whether partially replacing CY with another DNA alkylating agent, bendamustine (BEN) may be advantageous in improving outcomes with allo-HCT.

METHODS

Here, we utilized a xenogeneic GvHD (xGvHD) model in which immunodeficient NSG mice are infused with human peripheral blood mononuclear cells (PBMCs).

RESULTS

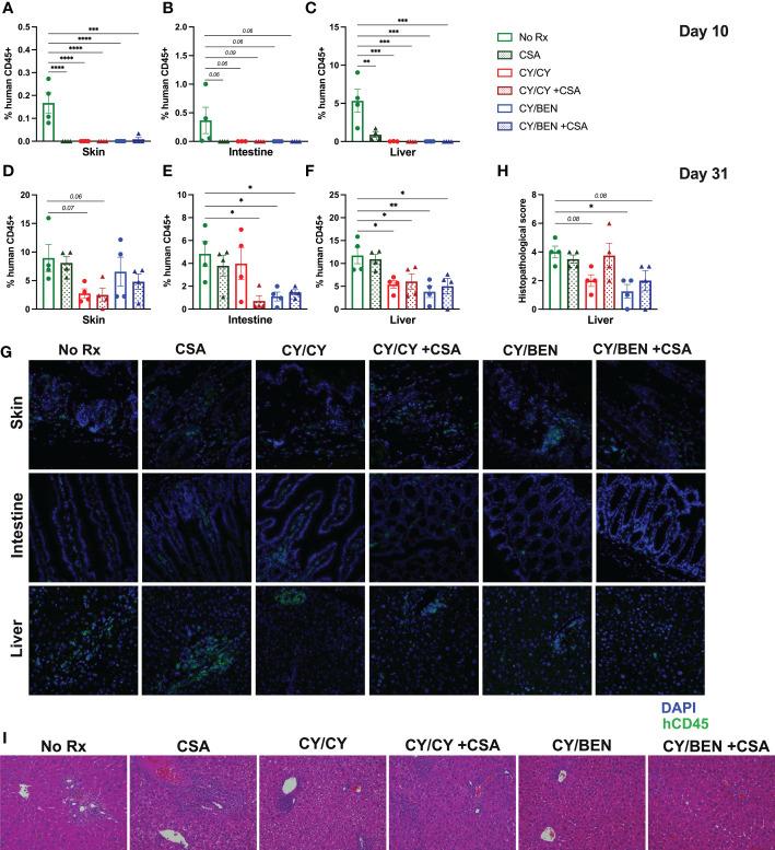
We show that a lower dose of CY (25 mg/kg) given on days +3 and +4 or CY (75 mg/kg) given on only day +3 post-PBMC infusion is not sufficient for improving survival from xGvHD, but can be improved with the addition of BEN (15 mg/kg) on day +4 to day +3 CY (75 mg/kg). CY/BEN treated mice when combined with cyclosporine A (CSA) (10mg/kg daily from days +5 to +18 and thrice weekly thereafter), had improved outcomes over CY/CY +CSA treated mice. Infiltration of GvHD target organs was reduced in both CY/CY and CY/BEN treatment groups versus those receiving no treatment. CY/CY +CSA mice exhibited more severe xGvHD at day 10, marked by decreased serum albumin and increased intestinal permeability. CY/BEN treated mice had reductions in naïve, effector memory and Th17 polarized T cells. RNAseq analysis of splenocytes isolated from CY/CY and CY/BEN treated animals revealed increased gene set enrichment in multiple KEGG pathways related to cell migration, proliferation/differentiation, and inflammatory pathways, among others with CY/BEN treatment.

CONCLUSION

Together, we illustrate that the use of CY/BEN is safe and shows similar control of xGvHD to CY/CY, but when combined with CSA, survival with CY/BEN is significantly prolonged compared to CY/CY.

摘要

简介

异体造血细胞移植(allo-HCT)用于治疗血液系统疾病的应用正在增加,但移植物抗宿主病(GvHD)的发展仍然是发病率和死亡率的主要原因。环磷酰胺(CY)在 allo-HCT 后显著改善了结果,但由于免疫重建延迟或复发导致的病毒再激活的并发症仍然存在。其他实验室正在评估减少移植后给予 CY 的剂量的潜在益处,而我们的实验室一直在关注用另一种 DNA 烷化剂苯达莫司汀(BEN)部分替代 CY 是否有利于改善 allo-HCT 的结果。

方法

在这里,我们利用异种移植物抗宿主病(xGvHD)模型,其中免疫缺陷性 NSG 小鼠输注人外周血单核细胞(PBMCs)。

结果

我们表明,在 PBMC 输注后第 +3 天和第 +4 天给予低剂量 CY(25mg/kg)或仅在第 +3 天给予 CY(75mg/kg)不足以改善 xGvHD 的存活率,但可以通过在第 +4 天至第 +3 天给予 CY(75mg/kg)的同时添加 BEN(15mg/kg)来改善。当与环孢素 A(CSA)(从第 +5 天至第 +18 天每天 10mg/kg,此后每周三次)联合使用时,CY/BEN 治疗的小鼠的结果优于仅接受 CY/CY+CSA 治疗的小鼠。在 CY/CY 和 CY/BEN 治疗组中,GVHD 靶器官的浸润减少,而未接受治疗的小鼠则没有。CY/CY+CSA 小鼠在第 10 天出现更严重的 xGvHD,表现为血清白蛋白减少和肠道通透性增加。CY/BEN 治疗的小鼠中,幼稚、效应记忆和 Th17 极化 T 细胞减少。从 CY/CY 和 CY/BEN 治疗的动物分离的脾细胞的 RNAseq 分析显示,多个与细胞迁移、增殖/分化和炎症途径相关的 KEGG 途径中的基因集丰度增加,而 CY/BEN 治疗则更多。

结论

综上所述,我们表明 CY/BEN 的使用是安全的,并且与 CY/CY 相比,对 xGvHD 的控制效果相似,但与 CY/CY 相比,与 CSA 联合使用时,CY/BEN 的存活率显著延长。

https://cdn.ncbi.nlm.nih.gov/pmc/blobs/a535/9868157/eec0c6fede51/fimmu-13-1045710-g001.jpg

文献AI研究员

20分钟写一篇综述,助力文献阅读效率提升50倍。

立即体验

用中文搜PubMed

大模型驱动的PubMed中文搜索引擎

马上搜索

文档翻译

学术文献翻译模型,支持多种主流文档格式。

立即体验