Department of Anatomy and Neuroscience, Faculty of Medicine, Nara Medical University, Kashihara, Japan.
Department of Functional Anatomy, Graduate School of Medical Science, Kanazawa University, Kanazawa, Japan.
Nat Immunol. 2023 Mar;24(3):439-451. doi: 10.1038/s41590-022-01418-5. Epub 2023 Jan 26.
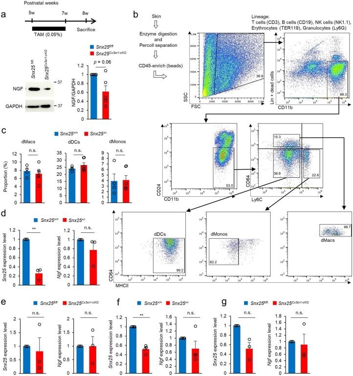
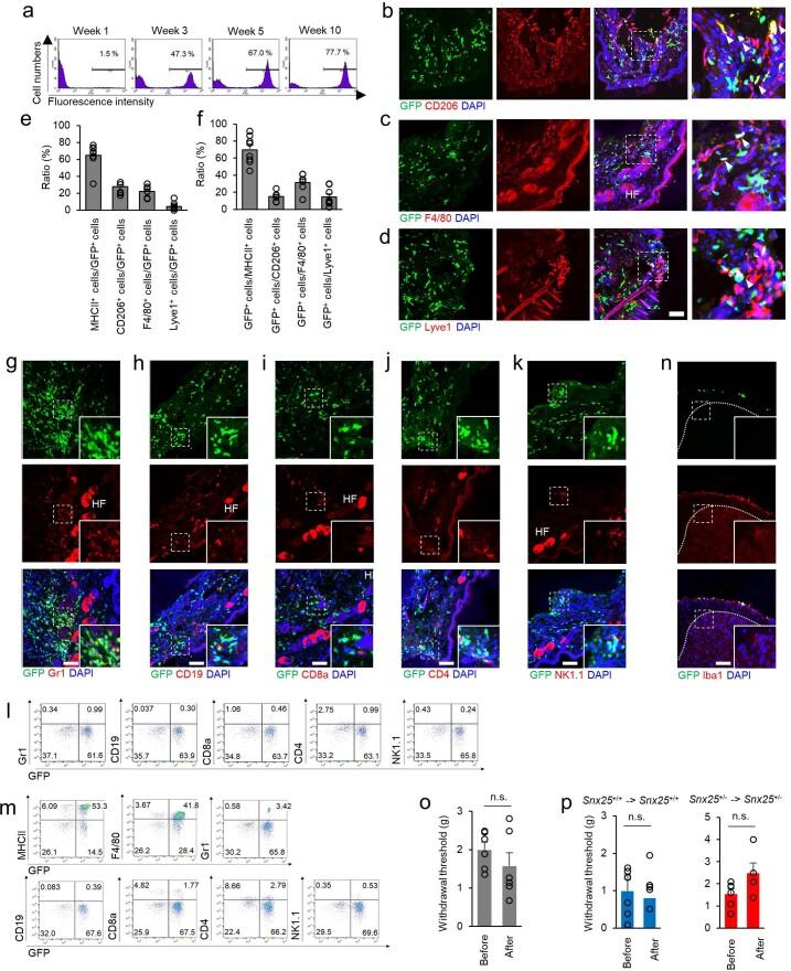
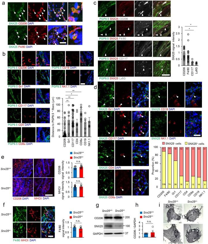
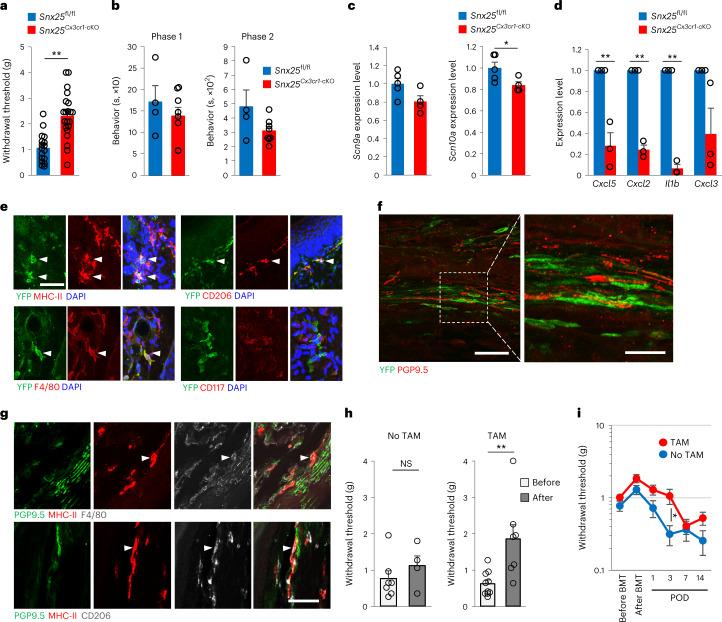
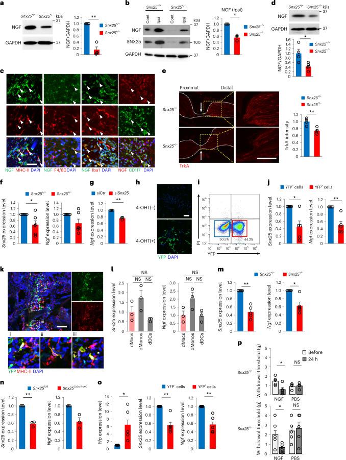
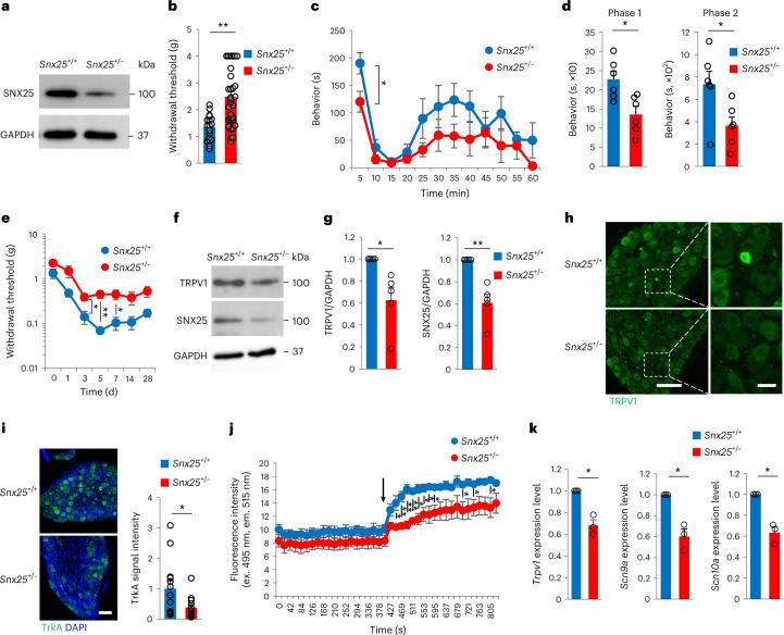
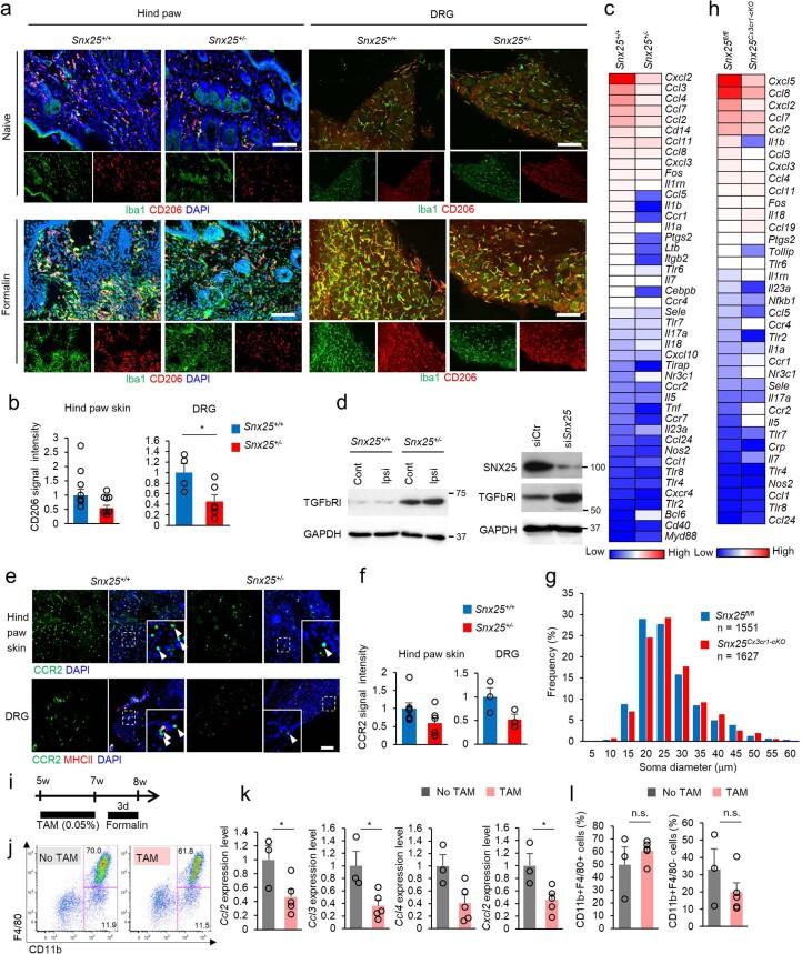
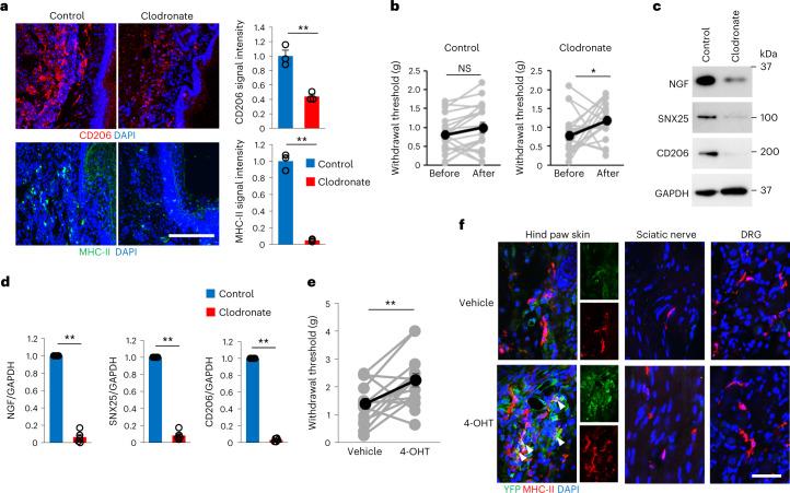
Cross-talk between peripheral neurons and immune cells is important in pain sensation. We identified Snx25 as a pain-modulating gene in a transgenic mouse line with reduced pain sensitivity. Conditional deletion of Snx25 in monocytes and macrophages, but not in peripheral sensory neurons, in mice (Snx25 mice) reduced pain responses in both normal and neuropathic conditions. Bone marrow transplantation using Snx25 and wild-type mice indicated that macrophages modulated pain sensitivity. Expression of sorting nexin (SNX)25 in dermal macrophages enhanced expression of the neurotrophic factor NGF through the inhibition of ubiquitin-mediated degradation of Nrf2, a transcription factor that activates transcription of Ngf. As such, dermal macrophages set the threshold for pain sensitivity through the production and secretion of NGF into the dermis, and they may cooperate with dorsal root ganglion macrophages in pain perception.
外周神经元和免疫细胞之间的串扰在疼痛感知中很重要。我们在一种转基因小鼠品系中发现 Snx25 是一种疼痛调节基因,该小鼠品系的疼痛敏感性降低。在小鼠中,单核细胞和巨噬细胞中条件性删除 Snx25(Snx25 小鼠),而在外周感觉神经元中没有删除,这两种情况下的疼痛反应都降低了。使用 Snx25 和野生型小鼠进行骨髓移植表明,巨噬细胞调节了疼痛敏感性。表皮巨噬细胞中分选连接蛋白(SNX)25 的表达通过抑制泛素介导的转录因子 Nrf2 的降解,增强了神经营养因子 NGF 的表达,Nrf2 是一种激活 Ngf 转录的转录因子。因此,表皮巨噬细胞通过将 NGF 产生和分泌到真皮中来设定疼痛敏感性的阈值,并且它们可能与背根神经节巨噬细胞在疼痛感知中合作。