Suppr超能文献

下颌C形前磨牙的根管治疗:病例报告及文献综述

Endodontic Treatment of C-shaped Mandibular Premolars: A Case Report and Review of Literature.

作者信息

Khorasani Monire, Nabavi Saideh, Hamedi Ali, Jafarzadeh Hamid

机构信息

Dental Research Center, Mashhad University of Medical Sciences, Mashhad, Iran.

出版信息

Iran Endod J. 2021 Fall;16(4):244-253. doi: 10.22037/iej.v16i4.34187.

Abstract

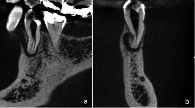
Our article aimed to present a curious case of a mandibular premolar with a C-shaped root canal and to review the available literature on this anatomical variation. Mandibular premolar teeth account for the greatest endodontic challenges in the course of treatment on account of the morphological variations in their root canal systems, including extra root(s)/canal(s) or a C-shaped configuration. A 20-year-old female patient was referred to the Department of Endodontics of Mashhad Faculty of Dentistry, suffering from abscess, and pain while chewing. On examination the culprit was found to be the left mandibular first premolar. Following special tests and periapical radiography, we found an amalgam restoration proximate to the non-vital pulp chamber, as well as an unusually complex root canal anatomy with periapical radiolucency. A non-surgical root canal treatment with the aid of a dental operating microscope was considered as the treatment plan. Clinicians should always anticipate the presence of a C-shaped configuration in mandibular premolars, and make use of all the available tools to locate and treat such cases. A substantial knowledge of root canal anatomy would be prudent to ensure a successful outcome ensuing surgical and non-surgical root canal treatments.

摘要

我们的文章旨在呈现一例具有C形根管的下颌前磨牙的罕见病例,并回顾有关这种解剖变异的现有文献。由于下颌前磨牙根管系统存在形态变异,包括额外的根/根管或C形结构,因此在治疗过程中,它们是牙髓治疗面临的最大挑战。一名20岁女性患者因脓肿和咀嚼时疼痛被转诊至马什哈德牙科学院牙髓病科。检查发现罪魁祸首是左下颌第一前磨牙。经过特殊检查和根尖周X线片检查,我们发现靠近无活力牙髓腔处有银汞合金修复体,以及异常复杂的根管解剖结构和根尖周透射区。治疗方案考虑在牙科手术显微镜辅助下进行非手术根管治疗。临床医生应始终预期下颌前磨牙存在C形结构,并利用所有可用工具来定位和治疗此类病例。为确保手术和非手术根管治疗取得成功结果,对根管解剖有充分了解是明智的。

https://cdn.ncbi.nlm.nih.gov/pmc/blobs/04d4/9735311/f2046dd9f32b/IEJ-16-244-g001.jpg

文献检索

告别复杂PubMed语法,用中文像聊天一样搜索,搜遍4000万医学文献。AI智能推荐,让科研检索更轻松。

立即免费搜索

文件翻译

保留排版,准确专业,支持PDF/Word/PPT等文件格式,支持 12+语言互译。

免费翻译文档

深度研究

AI帮你快速写综述,25分钟生成高质量综述,智能提取关键信息,辅助科研写作。

立即免费体验