• 文献检索
  • 文档翻译
  • 深度研究
  • 学术资讯
  • Suppr Zotero 插件Zotero 插件
  • 邀请有礼
  • 套餐&价格
  • 历史记录
应用&插件
Suppr Zotero 插件Zotero 插件浏览器插件Mac 客户端Windows 客户端微信小程序
定价
高级版会员购买积分包购买API积分包
服务
文献检索文档翻译深度研究API 文档MCP 服务
关于我们
关于 Suppr公司介绍联系我们用户协议隐私条款
关注我们

Suppr 超能文献

核心技术专利:CN118964589B侵权必究
粤ICP备2023148730 号-1Suppr @ 2026

文献检索

告别复杂PubMed语法,用中文像聊天一样搜索,搜遍4000万医学文献。AI智能推荐,让科研检索更轻松。

立即免费搜索

文件翻译

保留排版,准确专业,支持PDF/Word/PPT等文件格式,支持 12+语言互译。

免费翻译文档

深度研究

AI帮你快速写综述,25分钟生成高质量综述,智能提取关键信息,辅助科研写作。

立即免费体验

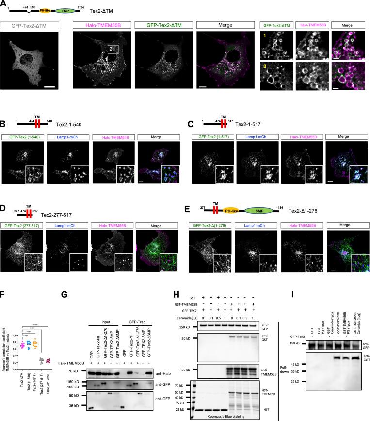
Tex2 是 TMEM55 依赖性内质网膜接触位点溶酶体功能所必需的。

Tex2 is required for lysosomal functions at TMEM55-dependent ER membrane contact sites.

机构信息

Department of Biochemistry and Molecular Biology, School of Basic Medicine, Tongji Medical College , Wuhan, China.

Cell Architecture Research Center, Huazhong University of Science and Technology , Wuhan, Hubei, China.

出版信息

J Cell Biol. 2023 Apr 3;222(4). doi: 10.1083/jcb.202205133. Epub 2023 Jan 27.

DOI:10.1083/jcb.202205133
PMID:36705603
原文链接:https://pmc.ncbi.nlm.nih.gov/articles/PMC9930140/
Abstract

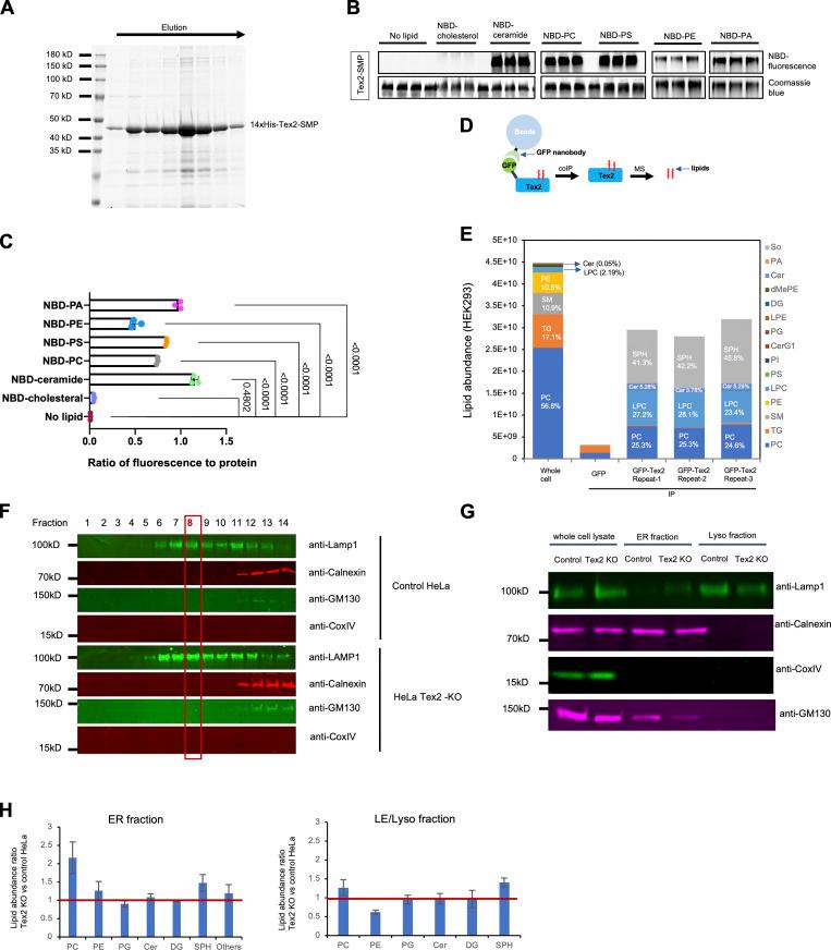
ER tubules form and maintain membrane contact sites (MCSs) with late endosomes/lysosomes (LE/lys). The molecular composition and cellular functions of these MCSs are poorly understood. Here, we find that Tex2, an SMP domain-containing lipid transfer protein conserved in metazoan and yeast, is a tubular ER protein and is recruited to ER-LE/lys MCSs by TMEM55, phosphatases that convert PI(4,5)P2 to PI5P on LE/lys. We show that the Tex2-TMEM55 interaction occurs between an N-terminal region of Tex2 and a catalytic motif in the PTase domain of TMEM55. The Tex2-TMEM55 interaction can be regulated by endosome-resident type 2 PI4K activities. Functionally, Tex2 knockout results in defects in lysosomal trafficking, digestive capacity, and lipid composition of LE/lys membranes. Together, our data identify Tex2 as a tubular ER protein that resides at TMEM55-dependent ER-LE/lys MCSs required for lysosomal functions.

摘要

内质网小管与晚期内体/溶酶体 (LE/lys) 形成并维持膜接触位点 (MCSs)。这些 MCSs 的分子组成和细胞功能还知之甚少。在这里,我们发现 Tex2 是一种 SMP 结构域包含的脂质转移蛋白,在后生动物和酵母中保守,是一种管状内质网蛋白,通过 TMEM55 招募到内质网-LE/lys MCSs,TMEM55 是一种将 PI(4,5)P2 转化为 LE/lys 上的 PI5P 的磷酸酶。我们表明,Tex2-TMEM55 相互作用发生在 Tex2 的 N 端区域和 TMEM55 的 PTase 结构域中的催化基序之间。Tex2-TMEM55 相互作用可以被驻留在内体中的 2 型 PI4K 活性调节。功能上,Tex2 敲除导致溶酶体运输、消化能力和 LE/lys 膜的脂质组成缺陷。总之,我们的数据将 Tex2 鉴定为一种管状内质网蛋白,它位于 TMEM55 依赖性内质网-LE/lys MCSs 中,该 MCSs 是溶酶体功能所必需的。

https://cdn.ncbi.nlm.nih.gov/pmc/blobs/4336/9930140/48ef3790be84/JCB_202205133_Fig10.jpg
https://cdn.ncbi.nlm.nih.gov/pmc/blobs/4336/9930140/488d51ec6183/JCB_202205133_FigS1.jpg
https://cdn.ncbi.nlm.nih.gov/pmc/blobs/4336/9930140/0e5c5f2132a1/JCB_202205133_Fig1.jpg
https://cdn.ncbi.nlm.nih.gov/pmc/blobs/4336/9930140/670074c42836/JCB_202205133_FigS2.jpg
https://cdn.ncbi.nlm.nih.gov/pmc/blobs/4336/9930140/4f5c42b6e304/JCB_202205133_FigS3.jpg
https://cdn.ncbi.nlm.nih.gov/pmc/blobs/4336/9930140/70c325183add/JCB_202205133_Fig2.jpg
https://cdn.ncbi.nlm.nih.gov/pmc/blobs/4336/9930140/4d6a6c58d7e3/JCB_202205133_Fig3.jpg
https://cdn.ncbi.nlm.nih.gov/pmc/blobs/4336/9930140/61b5a49240d3/JCB_202205133_FigS4.jpg
https://cdn.ncbi.nlm.nih.gov/pmc/blobs/4336/9930140/68fdbcfc95c4/JCB_202205133_Fig4.jpg
https://cdn.ncbi.nlm.nih.gov/pmc/blobs/4336/9930140/190c48447873/JCB_202205133_Fig5.jpg
https://cdn.ncbi.nlm.nih.gov/pmc/blobs/4336/9930140/77dbab2502d5/JCB_202205133_Fig6.jpg
https://cdn.ncbi.nlm.nih.gov/pmc/blobs/4336/9930140/72416486a11b/JCB_202205133_FigS5.jpg
https://cdn.ncbi.nlm.nih.gov/pmc/blobs/4336/9930140/3f505e72d4cb/JCB_202205133_Fig7.jpg
https://cdn.ncbi.nlm.nih.gov/pmc/blobs/4336/9930140/ddb1b8ad460e/JCB_202205133_Fig8.jpg
https://cdn.ncbi.nlm.nih.gov/pmc/blobs/4336/9930140/5086a8849c56/JCB_202205133_Fig9.jpg
https://cdn.ncbi.nlm.nih.gov/pmc/blobs/4336/9930140/48ef3790be84/JCB_202205133_Fig10.jpg
https://cdn.ncbi.nlm.nih.gov/pmc/blobs/4336/9930140/488d51ec6183/JCB_202205133_FigS1.jpg
https://cdn.ncbi.nlm.nih.gov/pmc/blobs/4336/9930140/0e5c5f2132a1/JCB_202205133_Fig1.jpg
https://cdn.ncbi.nlm.nih.gov/pmc/blobs/4336/9930140/670074c42836/JCB_202205133_FigS2.jpg
https://cdn.ncbi.nlm.nih.gov/pmc/blobs/4336/9930140/4f5c42b6e304/JCB_202205133_FigS3.jpg
https://cdn.ncbi.nlm.nih.gov/pmc/blobs/4336/9930140/70c325183add/JCB_202205133_Fig2.jpg
https://cdn.ncbi.nlm.nih.gov/pmc/blobs/4336/9930140/4d6a6c58d7e3/JCB_202205133_Fig3.jpg
https://cdn.ncbi.nlm.nih.gov/pmc/blobs/4336/9930140/61b5a49240d3/JCB_202205133_FigS4.jpg
https://cdn.ncbi.nlm.nih.gov/pmc/blobs/4336/9930140/68fdbcfc95c4/JCB_202205133_Fig4.jpg
https://cdn.ncbi.nlm.nih.gov/pmc/blobs/4336/9930140/190c48447873/JCB_202205133_Fig5.jpg
https://cdn.ncbi.nlm.nih.gov/pmc/blobs/4336/9930140/77dbab2502d5/JCB_202205133_Fig6.jpg
https://cdn.ncbi.nlm.nih.gov/pmc/blobs/4336/9930140/72416486a11b/JCB_202205133_FigS5.jpg
https://cdn.ncbi.nlm.nih.gov/pmc/blobs/4336/9930140/3f505e72d4cb/JCB_202205133_Fig7.jpg
https://cdn.ncbi.nlm.nih.gov/pmc/blobs/4336/9930140/ddb1b8ad460e/JCB_202205133_Fig8.jpg
https://cdn.ncbi.nlm.nih.gov/pmc/blobs/4336/9930140/5086a8849c56/JCB_202205133_Fig9.jpg
https://cdn.ncbi.nlm.nih.gov/pmc/blobs/4336/9930140/48ef3790be84/JCB_202205133_Fig10.jpg

相似文献

1
Tex2 is required for lysosomal functions at TMEM55-dependent ER membrane contact sites.Tex2 是 TMEM55 依赖性内质网膜接触位点溶酶体功能所必需的。
J Cell Biol. 2023 Apr 3;222(4). doi: 10.1083/jcb.202205133. Epub 2023 Jan 27.
2
Recent Advances on Synaptotagmin-Like Mitochondrial-Lipid Binding Protein Domain Containing Lipid Transfer Proteins.含突触结合蛋白样线粒体-脂质结合蛋白结构域的脂质转移蛋白的最新进展
Contact (Thousand Oaks). 2024 Aug 13;7:25152564241273646. doi: 10.1177/25152564241273646. eCollection 2024 Jan-Dec.
3
PDZD8-mediated lipid transfer at contacts between the ER and late endosomes/lysosomes is required for neurite outgrowth.PDZD8 介导的内质网和晚期内体/溶酶体之间接触处的脂质转移对于神经突生长是必需的。
J Cell Sci. 2022 Mar 1;135(5). doi: 10.1242/jcs.255026. Epub 2021 Apr 20.
4
Reticulon-3 Promotes Endosome Maturation at ER Membrane Contact Sites.Reticulon-3 促进内质网膜接触位点处的内体成熟。
Dev Cell. 2021 Jan 11;56(1):52-66.e7. doi: 10.1016/j.devcel.2020.12.014.
5
STARD3 or STARD3NL and VAP form a novel molecular tether between late endosomes and the ER.STARD3 或 STARD3NL 与 VAP 形成晚期内体和内质网之间的新型分子连接。
J Cell Sci. 2013 Dec 1;126(Pt 23):5500-12. doi: 10.1242/jcs.139295. Epub 2013 Oct 8.
6
Touché! STARD3 and STARD3NL tether the ER to endosomes.说得对!STARD3和STARD3NL将内质网与内体相连。
Biochem Soc Trans. 2016 Apr 15;44(2):493-8. doi: 10.1042/BST20150269.
7
Structural basis of human PDZD8-Rab7 interaction for the ER-late endosome tethering.人类 PDZD8-Rab7 相互作用的结构基础,用于 ER-晚期内体的锚定。
Sci Rep. 2021 Sep 22;11(1):18859. doi: 10.1038/s41598-021-98419-5.
8
PDZD8 mediates a Rab7-dependent interaction of the ER with late endosomes and lysosomes.PDZD8 介导了 ER 与晚期内体和溶酶体之间 Rab7 依赖性的相互作用。
Proc Natl Acad Sci U S A. 2019 Nov 5;116(45):22619-22623. doi: 10.1073/pnas.1913509116. Epub 2019 Oct 21.
9
PDZD8 interacts with Protrudin and Rab7 at ER-late endosome membrane contact sites associated with mitochondria.PDZD8 在与内质网晚期内体膜接触位点处与 Protrudin 和 Rab7 相互作用,这些接触位点与线粒体相关。
Nat Commun. 2020 Jul 20;11(1):3645. doi: 10.1038/s41467-020-17451-7.
10
PI4P/PS countertransport by ORP10 at ER-endosome membrane contact sites regulates endosome fission.内质网-内体膜接触位点上的 ORP10 介导的 PI4P/PS 反向转运调节内体裂变。
J Cell Biol. 2022 Jan 3;221(1). doi: 10.1083/jcb.202103141. Epub 2021 Nov 24.

引用本文的文献

1
Metabolomic profiling reveals amino acid dysregulation in congenital heart disease: Arginine-induced embryonic malformations and pathogenic insights.代谢组学分析揭示先天性心脏病中的氨基酸失调:精氨酸诱导的胚胎畸形及致病机制洞察
Biomed Rep. 2025 Jul 25;23(4):159. doi: 10.3892/br.2025.2037. eCollection 2025 Oct.
2
PDZD8 promotes autophagy at ER-lysosome membrane contact sites to regulate activity-dependent synaptic growth.PDZD8在内质网-溶酶体膜接触位点促进自噬,以调节活性依赖的突触生长。
Cell Rep. 2025 Apr 22;44(4):115483. doi: 10.1016/j.celrep.2025.115483. Epub 2025 Mar 28.
3
CYP51A1 drives resistance to pH-dependent cell death in pancreatic cancer.

本文引用的文献

1
PDZD-8 and TEX-2 regulate endosomal PI(4,5)P homeostasis via lipid transport to promote embryogenesis in C. elegans.PDZD-8 和 TEX-2 通过脂质转运调节内体 PI(4,5)P 稳态,从而促进线虫胚胎发生。
Nat Commun. 2021 Oct 18;12(1):6065. doi: 10.1038/s41467-021-26177-z.
2
PDZD8-mediated lipid transfer at contacts between the ER and late endosomes/lysosomes is required for neurite outgrowth.PDZD8 介导的内质网和晚期内体/溶酶体之间接触处的脂质转移对于神经突生长是必需的。
J Cell Sci. 2022 Mar 1;135(5). doi: 10.1242/jcs.255026. Epub 2021 Apr 20.
3
FIT2 organizes lipid droplet biogenesis with ER tubule-forming proteins and septins.
CYP51A1驱动胰腺癌对pH依赖性细胞死亡的抗性。
Nat Commun. 2025 Mar 7;16(1):2278. doi: 10.1038/s41467-025-57583-2.
4
Sec23IP recruits VPS13B/COH1 to ER exit site-Golgi interface for tubular ERGIC formation.Sec23IP 将 VPS13B/COH1 募集到内质网出芽位点-高尔基体界面,用于管状内质网高尔基复合体的形成。
J Cell Biol. 2024 Dec 2;223(12). doi: 10.1083/jcb.202402083. Epub 2024 Oct 1.
5
The p53 target DRAM1 modulates calcium homeostasis and ER stress by promoting contact between lysosomes and the ER through STIM1.p53 靶基因 DRAM1 通过促进 STIM1 介导的溶酶体与内质网之间的接触来调节钙稳态和内质网应激。
Proc Natl Acad Sci U S A. 2024 Sep 24;121(39):e2400531121. doi: 10.1073/pnas.2400531121. Epub 2024 Sep 18.
6
Recent Advances on Synaptotagmin-Like Mitochondrial-Lipid Binding Protein Domain Containing Lipid Transfer Proteins.含突触结合蛋白样线粒体-脂质结合蛋白结构域的脂质转移蛋白的最新进展
Contact (Thousand Oaks). 2024 Aug 13;7:25152564241273646. doi: 10.1177/25152564241273646. eCollection 2024 Jan-Dec.
7
Dietary Supplementation of Crossbred Pigs with Glycerol, Vitamin C, and Niacinamide Alters the Composition of Gut Flora and Gut Flora-Derived Metabolites.用甘油、维生素C和烟酰胺对杂交猪进行膳食补充会改变肠道菌群及其衍生代谢产物的组成。
Animals (Basel). 2024 Jul 28;14(15):2198. doi: 10.3390/ani14152198.
8
Role of lipids in interorganelle communication.脂质在细胞器间通讯中的作用。
Trends Cell Biol. 2025 Jan;35(1):46-58. doi: 10.1016/j.tcb.2024.04.008. Epub 2024 Jun 11.
9
Biogenesis of Rab14-positive endosome buds at Golgi-endosome contacts by the RhoBTB3-SHIP164-Vps26B complex.Rab14 阳性内体在高尔基体 - 内体接触位点通过 RhoBTB3 - SHIP164 - Vps26B 复合物发生生物发生。
Cell Discov. 2024 Apr 2;10(1):38. doi: 10.1038/s41421-024-00651-6.
FIT2与内质网小管形成蛋白和septins共同组织脂滴生物合成。
J Cell Biol. 2021 May 3;220(5). doi: 10.1083/jcb.201907183.
4
Reticulon-3 Promotes Endosome Maturation at ER Membrane Contact Sites.Reticulon-3 促进内质网膜接触位点处的内体成熟。
Dev Cell. 2021 Jan 11;56(1):52-66.e7. doi: 10.1016/j.devcel.2020.12.014.
5
Role of VPS13, a protein with similarity to ATG2, in physiology and disease.VPS13(一种与ATG2相似的蛋白质)在生理和疾病中的作用。
Curr Opin Genet Dev. 2020 Dec;65:61-68. doi: 10.1016/j.gde.2020.05.027. Epub 2020 Jun 18.
6
Cryo-EM reconstruction of a VPS13 fragment reveals a long groove to channel lipids between membranes.冷冻电镜重构 VPS13 片段揭示了在膜之间输送脂质的长槽。
J Cell Biol. 2020 May 4;219(5). doi: 10.1083/jcb.202001161.
7
The functional universe of membrane contact sites.膜接触位点的功能宇宙。
Nat Rev Mol Cell Biol. 2020 Jan;21(1):7-24. doi: 10.1038/s41580-019-0180-9. Epub 2019 Nov 15.
8
Calcium Dyshomeostasis and Lysosomal Ca Dysfunction in Amyotrophic Lateral Sclerosis.钙动态平衡紊乱和溶酶体钙功能障碍在肌萎缩侧索硬化症中的作用。
Cells. 2019 Oct 8;8(10):1216. doi: 10.3390/cells8101216.
9
REEP3 and REEP4 determine the tubular morphology of the endoplasmic reticulum during mitosis.REEP3 和 REEP4 在有丝分裂过程中决定内质网的管状形态。
Mol Biol Cell. 2019 Jun 1;30(12):1377-1389. doi: 10.1091/mbc.E18-11-0698. Epub 2019 Apr 17.
10
Lipid transfer proteins: the lipid commute via shuttles, bridges and tubes.脂质转运蛋白:脂质通过穿梭、桥梁和管道进行转运。
Nat Rev Mol Cell Biol. 2019 Feb;20(2):85-101. doi: 10.1038/s41580-018-0071-5.